Remote cerebellar hemorrhage following lumbar drain placement

Samyukta Varma MD, Deb Kumar Mojumder MD, PhD

Corresponding author: Samyukta Varma
Contact Information: Varma.Samyukta@marshfieldclinic.org
DOI: 10.12746/swjm.v13i55.1453

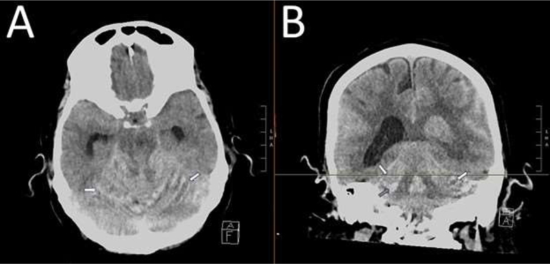
A 75-year-old woman was admitted for thoracoabdominal aneurysm repair and underwent lumbar drain placement to reduce the risk of spinal cord ischemia, initially at a rate of 10–12 cubic centimeters per hour (cc/hour). On postoperative day 1, the patient developed mild weakness of left knee flexion, presumed to be due to spinal cord ischemia. Medications were administered to raise blood pressure, and cerebrospinal fluid (CSF) drainage was increased to 15 cc/hour. The following morning, the patient experienced a severe headache, prompting a reduction in CSF drainage back to 10 cc/hour. A computed tomography (CT) scan of the head at that time did not reveal any hemorrhage, although a small pneumocephalus was present. Later that day, the patient’s headache severity increased, and she developed altered mental status, upward gaze deviation, slurred speech, and concerns for airway protection. Blood was noted in the lumbar drain. A repeat CT head scan showed interval development of an acute hemorrhage layering along the superior and lateral sides of the cerebellar folia bilaterally, localized parenchymal hemorrhage within the right inferior cerebellum, left-sided intraventricular hemorrhage, diffuse cerebral edema, and mild hydrocephalus (Figure 1).

Figure 1

Figure 1. A: Axial section of non-contrast CT head. The white arrow indicates the layering of blood in the folia of the superior cerebellum, creating a streaky pattern (Zebra sign) due to blood spreading in the cerebellar sulci. B: Coronal section of non-contrast CT head. The white reference line indicates the region of the axial section. White arrows show the layering of blood in the folia of the superior cerebellum. The grey arrow indicates a small area of cerebellar hemorrhage. Also visible are diffuse subarachnoid hemorrhage (left greater than right) and left-sided and fourth ventricle intraventricular hemorrhage.

The patient was subsequently intubated, hypertonic saline was initiated, and an external ventricular drain (EVD) was placed. A CT angiogram was negative for any obvious aneurysm or arteriovenous (AV) malformation. Following the placement of the EVD, during a sedation vacation, the patient remained in a coma with no eye opening or spontaneous or purposeful activity. Neurological examination showed withdrawal to pain of bilateral lower extremities, 2.5 mm reactive pupils, dysconjugate gaze, breathing over the ventilator, and a weak cough. Subsequent CT head scans showed decompressed ventricles. The patient was found to have low fibrinogen and platelet levels. Hematology was consulted, and she was diagnosed with T-cell prolymphocytic leukemia, which significantly increased her risk of hemorrhage. On day 7 of hospitalization, due to no significant improvement in the patient’s neurological condition, the family decided on compassionate extubation and comfort measures. The patient passed away peacefully.

DISCUSSION

Remote cerebellar hemorrhage (RCH) is a rare complication (0.08–0.6%) following spinal procedures.1 It is termed “remote” because the hemorrhage occurs far from the surgical site. The “zebra sign” describes the CT brain finding of blood layering among the cerebellar folia. Remote cerebellar hemorrhage can also occur rarely after supratentorial craniectomies, typically performed for tumor resection, lobectomy, and aneurysmal clipping.2 The proposed etiology involves cerebrospinal fluid (CSF) leakage causing cerebellar shift, resulting in the rupture of bridging veins in the cerebellar folia.3 Treatment depends on the neurologic status and the extent of bleeding.


REFERENCES

  1. Cevik B, Kirbas I, Cakir B, Akin K, Teksam M. Remote cerebellar hemorrhage after lumbar spinal surgery. Eur J Radiol 2009;70(1):7–9. doi:10.1016/j.ejrad.2008.01.004
  2. Wang S, Liu X, Wang F, et al. Bilateral remote cerebellar hemorrhage following surgical clipping a ruptured supratentorial aneurysm Br J Neurosurg 2020;34:200–1
  3. Sturiale CL, Rossetto M, Ermani M, et al. Remote cerebellar hemorrhage after spinal procedures (part 2): a systematic review. Neurosurg Rev 2016;39(3):369–76. doi:10.1007/s10143-015-0673-8


Article citation: Varma S, Mojumder DK. Remote cerebellar hemorrhage following lumbar drain placement. The Southwest Journal of Medicine 2025;13(55):42–43
From: Department of Internal Medicine, Marshfield Medical Center, Marshfield, WI, USA (SV) Department of Neurology, Marshfield Medical Center, Marshfield, WI, USA (DKM)
Submitted: 2/1/2025
Accepted: 4/7/2025
Conflicts of interest: none
This work is licensed under a Creative Commons Attribution-ShareAlike 4.0 International License.