Hantavirus cardiopulmonary syndrome

Donna Kizziar ACNPC-AG, FNP-C, Javier Dieguez MD

Corresponding author: Donna Kizziar
Contact Information: Donna.Kizziar@gmail.com
DOI: 10.12746/swjm.v13i55.1457

ABSTRACT

Hantavirus infections are a rare group of zoonotic infections with a global distribution. In the United States the most common presentation is Hantavirus cardiopulmonary syndrome, characterized by an acute febrile illness with bilateral interstitial pulmonary infiltrates and cardio-respiratory compromise. Fatality nears 40% in United states cases due to rapid onset of pulmonary edema and shock. Identification of Hantavirus infections is challenging as symptoms can initially be non-specific and may resemble other viral infections.

We present a case of Hantavirus cardiopulmonary syndrome in an 83-year-old woman with rapidly progressive non-cardiogenic pulmonary edema and hypotension.

Keywords: Hantavirus, Sin Nombre Virus, non-cardiogenic pulmonary edema.

INTRODUCTION

Among the nearly forty known species of Hantavirus, approximately half are considered pathogenic in humans, while Hantavirus infection in animals is typically asymptomatic.1 The primary host of Hantaviruses are rodents and insects. In the United States, the virus is typically transmitted to humans through exposure to deer mice (Peromyscus maniculatus) or marsh rice rats (Oryzomis palustris).2 Transmission of the virus to humans may occur through inhalation of aerosolized particles of infected rodent droppings or through direct contact with urine or saliva of infected rodents.2 The clinical features, course and outcome of Hantavirus infection in humans is highly variable, depending on the strain of the virus. Infection can cause a range of cardiovascular, renal and pulmonary derangements from mild illnesses to fulminant respiratory, renal or cardiovascular collapse. In the United States, few cases of Hantavirus infections are reported annually, making it a rare and challenging diagnosis. Social history taking is imperative given the nature of transmission and the geographic distribution of the virus’ hosts. This case report highlights the clinical presentation of Hantavirus cardiopulmonary syndrome, challenges in diagnosis and the importance of social history taking.

CASE

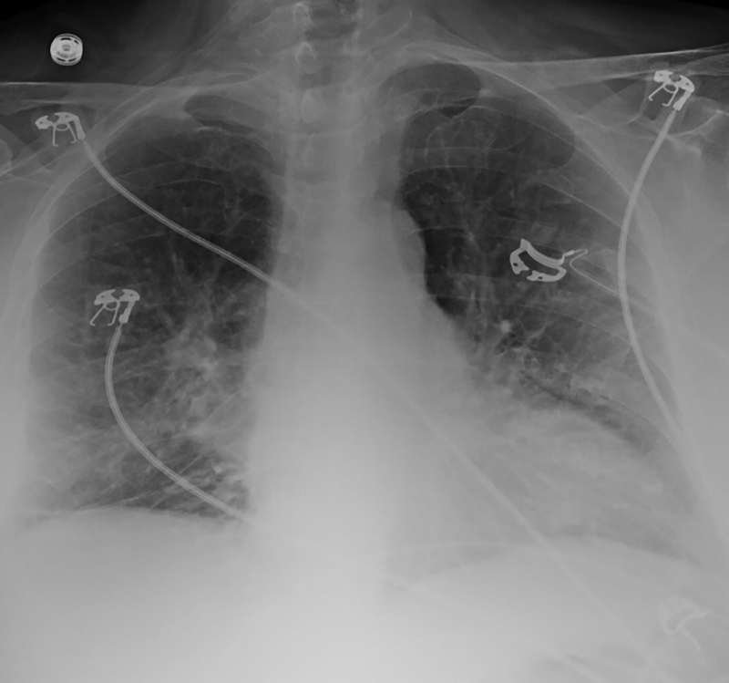
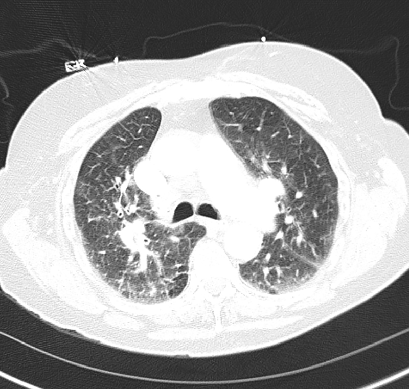
An 83-year-old woman living in rural New Mexico with past medical history significant for Alzheimer’s dementia and Type II diabetes mellitus was hospitalized for four-day history of malaise, anorexia, fever and dyspnea. On initial presentation, the patient was hypoxic on room air with a heart rate of 101 bpm, respirations of 33 bpm, blood pressure of 117/74 mmHg and temperature of 99°F. CXR on admission showed bilateral infiltrates (Figure 1). Computed tomography with angiography was performed and was negative for pulmonary embolism but showed diffuse bilateral ground glass opacities (Figure 2). Diagnostic workup revealed leukocytosis (12.1 K/mcL), platelet count of 115 (K/mcL), hemoglobin of 16.6 (g/dL), and hematocrit of 47.4%. The patient had normal renal function on admission. A transthoracic echocardiogram showed preserved ejection fracture and no acute valvular pathology. Testing was negative for influenza A/B PCR, COVID-19 PCR, viral PCR panel, ANA, Mycoplasma IgM and Streptococcus pneumoniae and Legionella urinary antigens. Due to the location of the patient’s home residence, as well as reports of exposure to mice, serology testing for Hantavirus was sent. The patient was placed on empiric antibiotics for presumed community-acquired pneumonia but deteriorated during her third hospital day, with worsening hypoxia ultimately requiring endotracheal intubation with mechanical ventilation. Initial PaO2/FiO2 ratio was 133 and later deteriorated to 87. A repeat chest X-ray showed worsening diffuse bilateral patchy opacities (Figure 3). Blood, urine and sputum cultures returned negative. The patient developed refractory hypotension despite fluid resuscitation and required increasing amounts of vasopressor support. Lab work reflected worsening hemoconcentration despite intravenous fluid administration. The family ultimately elected for conversion to palliative measures, and the patient passed away with comfort care. Serology testing for Hantavirus later returned positive for IgM and IgG.

Figure 1

Figure 1. Portable chest x-ray reveals bilateral infiltrates.

Figure 2

Figure 2. Computed tomography of the chest reveals patchy bilateral ground lass opacities.

Figure 3

Figure 3. Chest x-ray reveals increased bilateral opacities.

DISCUSSION

Hantavirus is a single stranded RNA virus within the Bunyaviridae family.3 Two clinical syndromes can develop when infection occurs in humans: hemorrhagic fever with renal syndrome (HFRS)—mostly seen in Europe and Asia—and Hantavirus cardiopulmonary syndrome (HCPS), which is the most common manifestation of Hantavirus seen in North America. Hantavirus was first noted in the United States in the early 1990s when the Indian Health Service in the southwestern United States identified clusters of cases of an acute respiratory illness with flu-like prodrome followed by rapid development of non-cardiogenic pulmonary edema and hemodynamic instability. Researchers identified a new member of the genus Hantavirus, termed Sin Nombre virus (SNV).4 Since 1993, there have been approximately 850 cases of Hantavirus documented in the United States, mainly concentrated along the Four Corners Region (the geographical junction of Utah, Arizona, New Mexico and Colorado).5

Infection is acquired through inhalation of aerosols or particles contaminated with virus-containing rodent excretion, particularly from deer mice (Peromyscus maniculatus).4 The incubation period is approximately seven to fourteen days. Initial presenting symptoms may be nonspecific including fever, myalgia, nausea and vomiting. A subset of patients progressing to the severe form of disease develop rapidly progressing respiratory distress and hypotension. Common laboratory findings include thrombocytopenia, leukocytosis, hemoconcentration and elevated lactate dehydrogenase.2,5 Radiographically, the hallmark findings include bilateral ground glass opacities and interstitial edema with rapid progression of airspace disease. Differential diagnosis of HCPS include influenza pneumonia, COVID-19 pneumonia, Legionnaires’ disease, histoplasmosis and Q fever. The definitive diagnosis of acute Hantavirus is made through clinical signs and symptoms with positive ELISA based serological studies including immunoglobulin IgM class IgG antibodies.5

Of note, the patient presented with elevated hematocrit, which initially resolved then worsened despite fluid resuscitation. Increase in hematocrit has been observed in several cases of HCPS, and in pediatric cases, hemoconcentration has been associated with increased mortality.6 The elevation in hematocrit is theorized to be a result of the extreme vascular permeability that is a hallmark of Hantavirus infection due to viral-induced disruption of endothelial cell integrity causing vascular leakage syndromes. Fulminant capillary leak syndrome can lead to rapidly progressive pulmonary edema and shock, which was also noted in this patient.

To date, there are no FDA-approved therapies for HCPS, and treatment remains supportive.7 Antivirals such as ribavirin are under investigation as treatment options. In severe cases, use of extracorporeal membrane oxygenation (ECMO) for support has been successful.8 Prevention remains key, including decreasing human-rodent contact and using precautionary measures when cleaning rodent droppings, as most cases are contracted by household or occupational exposures.

This case study contributes to the understanding and recognition of Hantavirus disease presentation in the Southwest United States. It also highlights the importance of social history taking. Effort should be made to consider HCPS as a causative agent of rapidly progressing non-cardiogenic pulmonary edema in the Southwest United States.


REFERENCES

  1. Hjelle B, Torres-Pérez F. Hantaviruses in the Americas and their role as emerging pathogens. Viruses. 2010 Dec;2(12):2559–86.
  2. Nugent K, Alexander J. Hantavirus pulmonary syndrome in Texas: An update covering years 1993 through 2016. Southwest Respiratory and Critical Care Chronicles 2018;6(22):16–20.
  3. Knust B, Rollin PE. Twenty-year summary of surveillance for human hantavirus infections, United States. Emerg Infect Dis. 2013 Dec;19(12):1934–7.
  4. Van Hook CJ. Hantavirus Pulmonary Syndrome—The 25th Anniversary of the Four Corners Outbreak. Emerg Infect Dis. 2018 Nov;24(11):2056–60.
  5. Centers for Disease Control and Prevention. Reported cases of hantavirus disease. Available at: https://www.cdc.gov/hantavirus/data-research/cases/index.html. Accessed September 2024.
  6. Thorp L, Fullerton L, Whitesell A. Hantavirus Pulmonary Syndrome: 1993–2018. Pediatrics 2023;151(4).
  7. Afzal S, Ali L, Batool A. Hantavirus: an overview and advancements in therapeutic approaches for infection. Front. Microbiol 2023;14.
  8. Vial PA, Ferrés M, Vial C, et al. Hantavirus in humans: a review of clinical aspects and management. Lancet Infect Dis. 2023 Sep;23(9):e371–e382.


Article citation: Kizziar D, Dieguez, J. Hantavirus cardiopulmonary syndrome. The Southwest Journal of Medicine 2025;13(55):12–14
From: Department of Pulmonary/Critical Care Medicine, BSA Health System, Amarillo, TX, USA (DK, JD)
Submitted: 2/1/2025
Accepted: 4/14/2025
Conflicts of interest: none
This work is licensed under a Creative Commons Attribution-ShareAlike 4.0 International License.