A rare case of laryngeal tuberculosis mimicking supraglottic carcinoma

Anil Sontakke MD, Riya Pati MBBS, Saood Ali MD, Nidhi Girdhar MD

Corresponding author: Ani Sontakke
Contact Information: Anilsontakke66@gmail.com
DOI: 10.12746/swjm.v13i55.1477

ABSTRACT

Tuberculosis of the larynx is a rare entity usually secondary to pulmonary TB, which develops due to direct spread of mycobacterium bacilli to the larynx from contaminated sputum or by hematogenous spread.2 The most common site for infection with Mycobacterium tuberculosis is the lung, but any site may be secondarily or even primarily involved. Tuberculosis in India is a disease of public health importance, although recent data have shown a decline in the prevalence of and mortality from tuberculosis in India. Primary laryngeal tuberculosis is a very rare entity and it results from inhaled tubercle bacilli settling directly on the larynx. The incidence of laryngeal tuberculosis is less than 1% of all cases of tuberculosis.5,6 The pathologic hallmark of tuberculosis is formation of caseating granulomas that can give rise to an infiltrative mass that may mimic malignancy.4

Keywords: Pulmonary tuberculosis, laryngeal tuberculosis, laryngeal carcinoma, supraglottis

INTRODUCTION

Laryngeal tuberculosis is a rare condition that requires a high degree of clinical suspicion for diagnosis. Laryngeal involvement develops most commonly secondary to bronchogenic, hematogenous, or lymphatic spread from advanced pulmonary disease.7 Primary laryngeal tuberculosis without pulmonary disease is much less common and is presumed to arise from direct invasion of the larynx via inhalation. The most common sites of laryngeal involvement are the epiglottis, true vocal cords, and false vocal cords, although the disease can be trans-spatial and affect any tissue.

To avoid a delay in diagnosis and management, the possibility of tuberculosis should always be considered in patients who have traveled to endemic areas and who present with chronic hoarseness, odynophagia, and/or weight loss.3 In nonendemic regions, laryngeal tuberculosis may be easily misdiagnosed as a primary malignancy given its mass-like and infiltration appearance and its relatively nonspecific presentation. However, laryngeal cancer is typically seen in older individuals and is notably an unusual diagnosis before age 40.

CASE

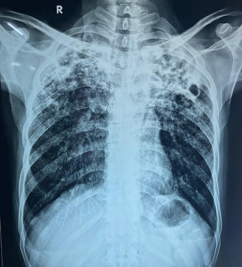
This patient came to the Respiratory Medicine outpatient department with complaints of cough with expectoration and throat pain over 15 days, a change in voice (hoarseness) with difficulty in swallowing (solids > liquids) for 1 month, weight loss of 9 kgs in 2 months, regurgitation (liquids > solids) for 15 days. A chest X-ray revealed bilateral heterogenous opacities (Figure 1) and sputum was sent for routine investigations. Sputum CBNAAT report detected M. tuberculosis without RiF resistance. Computed tomography of the neck revealed asymmetric heterogeneously thickening, involving both lateral glosso-epiglottic folds, the epiglottis, aryeepiglottic folds (R > L) with obliteration of pyriform fossa. Cervical nodes were mildly enlarged, which suggested a possible neoplasm. The patient underwent endoscopy that revealed ulceroproliferative growth on bilateral aryepiglottic folds, arytenoids, pyriform fossa, and vocal cords (Figure 2).

Figure 1

Figure 1. Chest x-ray reveals bilateral upper lobe infiltrates with cavities, especially in the left upper lobe.

Figure 2

Figure 2. Bronchoscopic image reveals inflammatory nodules on the aryepiglottic folds, arytenoids, pyriform fossa, and vocal cords.

Punch biopsy of the supraglottis was performed that suggested necrotizing granulomatous inflammation. The patient was started on a fixed dose combination of standard anti-tubercular medications. He returned after 1 month for follow up with his CT scan of the neck reports and showed considerable improvement in his symptoms. The CT findings included a thickening of the anterior wall of the hypo-pharynx and right false cord and left true cord; the etiology could be a granulomatous lesion or pseudo-tumor. Serial chest X-rays (Figure 3) showed considerable improvement. The patient improved symptomatically within 2 weeks of starting anti-tuberculosis treatment; further histopathology and immunohistochemistry did not reveal carcinoma of the larynx. The patient was recommended to continue anti-tuberculosis treatment, and steroids were added. Repeat endoscopy and bronchoscopy (Figure 4) after 6 months of treatment showed fibrosis, and no ulceroproliferative growth was seen, ruling out carcinoma.

Figure 3

Figure 3. Chest x-ray reveals partial resolution of upper lobe cavitary infiltrates.

Figure 4

Figure 4. Bronchoscopic image reveals near normal vocal cords without nodules.

DISCUSSION

Primary tuberculosis of the larynx is very rare, and usually it is secondary to pulmonary tuberculosis.6 Laryngeal tuberculosis may present in varying form, from an erythematous lesion to ulceration and growth resembling carcinoma.8 The diagnostic algorithm should start with a thorough history taking to identify signs and symptoms of the disease, risk factors, and eventual contact with a person who had similar complaints. The diagnostic approach should also include chest radiographs and examination of sputum for acid-fast bacilli (smears and cultures) to exclude or confirm concomitant pulmonary tuberculosis.1 If those additional exams do not indicate pulmonary tuberculosis, laryngoscopy should be performed and biopsies of the laryngeal lesions should be taken from all suspicious lesions and at multiple sites with Ziehl-Neelson staining of the obtained material.1

The most common cause of hoarseness in pulmonary tuberculosis is due to the associated laryngeal TB.3 The early distinction of these two diseases does not only affect the treatment but is also essential in disease transmission control and decreasing the risk of sequelae.

CONCLUSION

Laryngeal TB is uncommon, particularly in developed countries, but it still occurs. There are no pathognomonic features indicative of this disease and it can mimic many others.8 If misdiagnosed, laryngeal TB can have severe consequences for the patient and anyone s/he comes into contact with. Therefore, it is important for pulmonologists and otolaryngologists to recognize the altered pattern of laryngeal TB and to be familiar with its resemblance to malignancy.3 This is not only in view of clinical symptoms, but also from a radiological point of view. Laryngeal TB should be considered as a differential diagnosis in any laryngeal disease and in particular in the case of a laryngeal carcinoma.7


REFERENCES

  1. Javorac J, Zivanovic D, Lovrenski A, et al. Laryngeal tuberculosis – a neglected disease that can mimic laryngeal carcinoma. Int J Health Serv Res Policy 2021;6(1):144–50. https://doi.org/10.33457/ijhsrp.869470
  2. Juniad M, Qadeer S, Sobani Z, et al. Laryngeal tuberculosis presenting with primary symptoms of laryngeal carcinoma. SAARC J Tuberc Lung Dis HIV/AIDS 2013;10(1): doi:10.3126/saarctb.v10i1.8676
  3. Smulders YE, De Bondt BJ, Lacko M, et al. Laryngeal tuberculosis presenting as a supraglottic carcinoma: a case report and review of the literature. J Med Case Rep 2009;3:9288. https://doi.org/10.1186/1752-1947-3-9288
  4. Cengiz A, Goksel S, Basal Y, et al. Laryngeal tuberculosis mimicking laryngeal carcinoma on 18F-FDG PET/CT imaging. Mol Imaging Radionucl Ther 2018 Jun;27(2):81–3. doi:10.4274/mirt.44366.
  5. Rajendran T, Ambu VK, Alias A. Synchronous laryngeal tuberculosis and cancer, a first in literature. J Otolaryngol Rhinol 2017;3:030.
  6. Krishnatreya M, Das K, Sharma A, et al. Primary laryngeal tuberculosis mimicking supraglottic carcinoma. Int J Case Rep Images 2013;4(7):354–7.
  7. Mallouk S, Radi S, Baghdad M, et al. (2020) Laryngeal tuberculosis mimicking supraglottic carcinoma: a case report and review of literature. J Case Repo Imag 4:016.
  8. Baklacı D, Turhan AC, Harma M. A case of laryngeal tuberculosis mimicking supraglottic carcinoma in a pregnant patient and literature review. J Surg Med 2023;7(10):716–71.


Article citation: Sontakke A, Pati R, Ali S, Girdhar N. A rare case of laryngeal tuberculosis mimicking supraglottic carcinoma. The Southwest Journal of Medicine 2025; 13(55):31–34
From: Department of Respiratory Medicine, NKPSIMS & Lata Mangeshkar Hospital, Hingna, Nagpur, Maharashtra, India (AS < RP, SA, NG)
Submitted: 2/18/2025
Accepted: 4/7/2025
Conflicts of interest: none
This work is licensed under a Creative Commons Attribution-ShareAlike 4.0 International License.