Successful non-operative management of pneumatosis intestinalis in a patient with Crohn’s disease

Rohan Pendse BS, Seena Firouzbahkt BS, Drew W. Barron BS, Basem Soliman MD, Mohamed Elfedaly MD

Corresponding author: Rohan Pendse
Contact Information: Rohan.Pendse@ttuhsc.edu
DOI: 10.12746/swjm.v13i55.1479

ABSTRACT

Pneumatosis intestinalis (PI) is a rare but significant condition characterized by the presence of gas within the wall of the intestines. This case report describes a 44-year-old man with a history of Crohn’s disease and chronic steroid use who presented with abdominal pain and high ileostomy output, subsequently diagnosed with extensive small bowel pneumatosis. The patient was managed conservatively with bowel rest, antibiotics, and suspension of immunosuppressive therapy, resulting in full resolution of PI. This report also reviews the existing literature on PI in Crohn’s disease patients, highlighting risk factors, incidence, and management strategies.

Keywords: Pneumatosis Intestinalis, Crohn’s disease, steroids, antibiotics, immunosuppressive drugs

INTRODUCTION

Crohn’s disease is an inflammatory gastrointestinal (GI) condition with unclear etiology and multifactorial pathophysiology that can affect any part of the GI tract, most commonly affecting the terminal ileum.1 Approximately 50% of all Crohn’s disease patients will develop complications such as fistulas, phlegmons, strictures, and abscesses within 20 years of diagnosis.2 More common symptoms of Crohn’s disease includes diarrhea, abdominal pain, nausea, and vomiting.2 Treatment may include corticosteroids, immunomodulators, and biologics such as TNF-alpha inhibitors.2

Pneumatosis intestinalis (PI) is the presence of gas within the extraluminal space of the GI tract, which is an abnormal condition that can be a sign of an underlying bowel complication such as ischemia, perforation, or obstruction.3 Risk factors include but are not limited to abnormal mucosal integrity, increased intraluminal pressure, and abnormal bacterial flora.3 The severity and nature of the underlying pathology affects the impact of PI and can present a broad spectrum of benign to deadly patient presentations.3

Compromise of the GI tract’s mucosa and immune barrier may explain PI in cases of normal intraluminal pressure such as in immunodeficiency or immunosuppression.3 The general population has a PI incidence of 0.03% compared to 12% in patients with Crohn’s disease.1 Abnormal mucosal integrity may lead to increased GI permeability to gas and eventually PI as seen in the case of an inflammatory bowel disease patient with chronic steroid use.3

Treatment of PI is typically nonoperative, involving bowel rest, antibiotics, suspension of immunosuppressants, and monitoring. However, surgery is indicated when diagnostic tests such as radiography or computed tomography (CT) show perforation, peritonitis, or bowel ischemia.3 Computed tomography has been described as the best imaging modality for diagnosis of PI with greater sensitivity than radiography or ultrasonography.4,5

CASE

A 44-year-old man with a long-standing history of Crohn’s disease presented to the emergency department with increasing abdominal pain over one week and high output from his ileostomy (3–4 liters daily). His surgical history includes multiple bowel resections, stricture dilations, and drainage of abscesses. The patient’s Crohn’s disease affects both the large and small intestines, necessitating a subtotal colectomy with end ileostomy. Past medical history includes severe plaque psoriasis, anemia, deep vein thrombosis (DVT), history of narcotic dependence, patent foramen ovale (PFO), left femoral head avascular necrosis (AVN), and chronic pain. He was taking 20 mg of prednisone daily and mycophenolate for refractory psoriasis.

On admission, a CT scan (Figure 1) revealed extensive small bowel pneumatosis in the right upper quadrant without evidence of abscess, fistula, free air, free fluid, or portal venous gas. The patient was afebrile and slightly tachycardic, with a normal white blood cell count; additional laboratory results are shown in Table 1. Physical examination showed localized abdominal tenderness with positive rebound but no generalized peritonitis; the abdomen was soft, and the stoma was viable and productive.

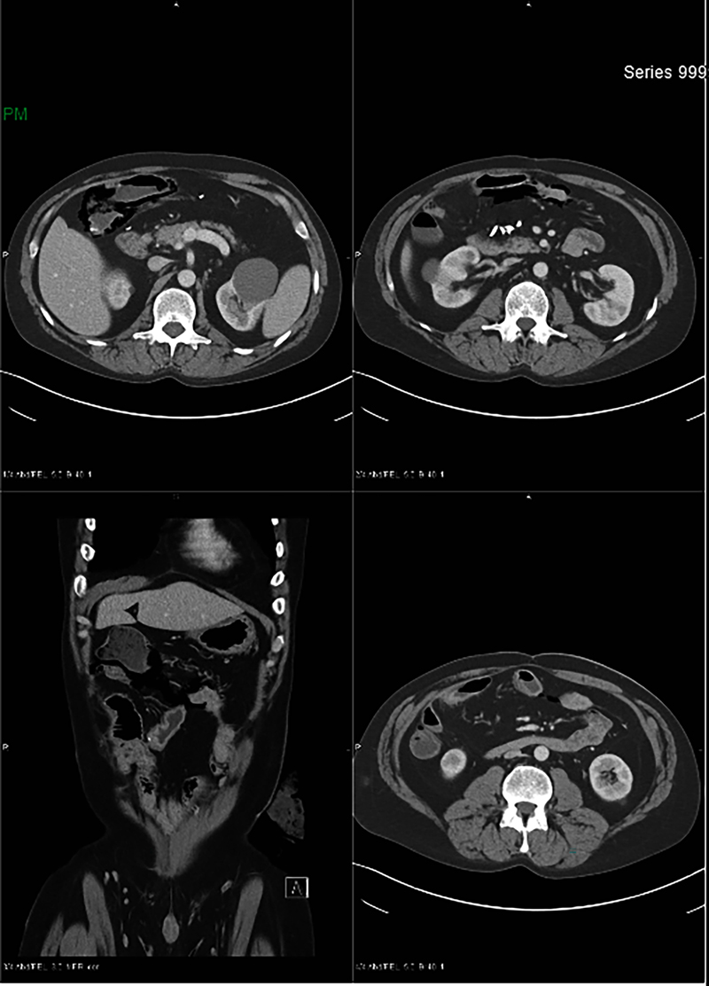
Figure 1

Figure 1. Computed tomography with contrast reveals extensive bowel pneumatosis, especially in the right upper quadrant.

Table 1. Laboratory Values and Reference Ranges

Laboratory Values Patient Values Reference Ranges
Hemoglobin (G/dL) 12.9 14.0–18.0
WBC (K/uL) 7.9 4.8–10.8
Platelets (K/uL) 337 130–400
ALT (U/L) 49 7.0–52.0
AST (U/L) 37 13.0–39.0
T. Bili (mg/dL) 0.4 0.3–1.0
Alk Phos (U/L) 89 34.0–100
Albumin (g/dL) 4.2 3.5–5.7
Creatinine (mg/dL) 1.37 0.6–1.3

The patient was admitted to the surgery floor for bowel rest, serial abdominal examinations, and antibiotic therapy. Immunosuppressants were withheld, and vitamin A was administered. A repeat CT scan the next morning, with oral contrast, showed no abscess or contrast extravasation, and the submucosal emphysema remained unchanged. Conservative management continued, and the patient was started on a clear liquid diet, gradually advancing to a full liquid diet. A GI panel revealed enterotoxigenic Escherichia coli infection, which was treated appropriately.

By hospital day seven, a repeat CT scan of the abdomen and pelvis showed complete resolution of the pneumatosis intestinalis. The patient’s clinical condition improved significantly, and he was started on a soft diet. Stoma output decreased, and his abdominal examination normalized.

DISCUSSION

Pneumatosis intestinalis (PI) is an uncommon condition characterized by gas within the intestinal wall, which can be asymptomatic or present with severe complications. Pneumatosis intestinalis has been associated with various risk factors, including chronic obstructive pulmonary disease (COPD), immunosuppressive therapy, organ transplantation, connective tissue disorders, and gastrointestinal conditions like Crohn’s disease. The incidence of PI in Crohn’s patients is not well-defined, but it is considered rare. Chronic steroid use is a significant risk factor, contributing to the development of PI due to its effects on the gastrointestinal mucosa and immune response. Pneumatosis intestinalis in Crohn’s disease patients, particularly those on chronic steroids, poses a unique clinical challenge.

A review of the literature reveals limited cases of PI in Crohn’s disease patients on chronic steroids. The exact number of reported cases varies, but PI remains a rare complication. A retrospective review by Gao et al., of 5,990 patients with CT-documented PI identified only 6 cases in patients with Crohn’s disease, with only 1 patient on chronic steroids (prednisone).6 This patient ultimately required a laparotomy for necrotic bowel but did not survive, demonstrating that mortality is strongly associated with small bowel PI and CT findings of portal or mesenteric venous gas.6

Several conservative management cases exist in PI beyond Crohn’s disease. Dhadlie et al., described two additional cases of PI with non-operative treatment. One patient was readmitted one month after surgery for a perforated viscous thought to be secondary to a perforated peptic ulcer, with histological evidence of PI present at initial admission on later review.7 After post-discharge development of locules of free air on CT but no evidence of peritonism, he was managed with oxygen therapy and antibiotics.7 The second case involved a patient with no significant medical history who was diagnosed with PI after a recent colonoscopy identifying tubular adenoma and hyperplastic polyps, ensuing diffuse gastritis with diverticular disease but negative Heliobacter pylori testing.7 After what was thought to be a complete resolution with only increased flatus, there was free air on imaging in the bowel wall on repeat CT; he remained clinically stable and was treated conservatively with oxygen therapy and antibiotics.7

A third case by Ling et al., illustrated an atypical presentation of PI in a patient with isolated bloody stool but no systemic symptoms.8 Colonoscopy and endoscopic ultrasound revealed submucosal cystic lesions, and CT confirmed intramural gas.8 The patient was treated with forceps used to break the sac wall and exhaust gas, a snare to resect the surface of the mucosa with high-frequency electroscission, intestinal flora therapy, and discontinuation of alpha-glucosidase inhibitors, leading to complete symptom resolution without recurrence over one year.8 The mechanical theory supports the association between PI and Crohn’s disease, as local tissue damage from Crohn’s disease causes disruptions in the integrity of the intestinal mucosa and increased intraluminal pressure, and allowing for air to move through the lumen and become trapped in the submucosal or subserosal layers of the intestinal wall.1,5

Another risk factor for our patient was the presence of enterotoxigenic E. Coli. The bacterial theory states growth and metabolism within the intestinal walls produces gas that form the air filled cysts seen in PI.5 Studies have shown that these air pockets contain a high concentration of hydrogen, which is a known byproduct of bacterial metabolism. This theory is also supported by PI’s positive response to antibiotic treatment.

Our patient presented with abdominal pain and about 3–4 L of daily output from his ileostomy in the context of Crohn’s disease, chronic steroids, extensive abdominal surgical history, and E. Coli infection. Lab work on admission indicated emergency surgery as lactic acid level was greater than 2 mmol/L.9 These findings give an explanation to the high ileostomy output and contribute to the mechanical and bacterial risk factors for PI.

Considering the lack of ischemia according to imaging, the patient was managed conservatively with bowel rest, antibiotics, and suspension of immunosuppressive therapy, including steroids and mycophenolate. Vitamin A was administered due to its potential benefits in enhancing mucosal healing. The patient’s condition improved without surgical intervention, highlighting the effectiveness of conservative management for PI in Crohn’s disease patients.

CONCLUSION

Pneumonitis intestinalis is a rare radiologic finding that can be asymptomatic or serve as an indicator of severe disease such as intestinal ischemia. This case report demonstrates that in immuno-suppressed patients with chronic GI conditions such as Crohn’s disease, consideration of non-operative management of PI can be a valid alternative to surgical treatment.


REFERENCES

  1. Vallejo C, Gheit Y, Nagi TK, et al. Pneumatosis intestinalis manifesting as an atypical presentation of Crohn’s disease. Cureus 2024;16(1):e53151. doi:10.7759/cureus.53151
  2. Ranasinghe IR, Tian C, Hsu R. Crohn Disease. In: StatPearls. StatPearls Publishing; 2024. Accessed October 3, 2024. Available at: http://www.ncbi.nlm.nih.gov/books/NBK436021/
  3. St. Peter SD, Abbas MA, Kelly KA. The spectrum of pneumatosis intestinalis. Arch Surg 2003;138(1):68–75. doi:10.1001/archsurg.138.1.68
  4. Knechtle SJ, Davidoff AM, Rice RP. Pneumatosis intestinalis: Surgical management and clinical outcome. Ann Surg 1990;212(2):160–5.
  5. Ho LM, Paulson EK, Thompson WM. Pneumatosis intestinalis in the adult: benign to life-threatening causes. AJR Am J Roentgenol 2007;188(6):1604–13. doi:10.2214/AJR.06.1309
  6. Gao Y, Uffenheimer M, Ashamallah M, et al. Presentation and outcomes among imflammatory bowel disease patients with concurrent pneumatosis intestinalis: a case series and systematic review. Intest Res 2020;18(3):289–96. doi:10.5217/ir.2019.00073
  7. Dhadlie S, Mehanna D, McCourtney J. Pneumatosis intestinalis a trap for the unwary: case series and literature review. Int J Surg Case Rep 2018;53:214–17. doi:10.1016/j.ijser.2018.10.079
  8. Ling F, Guo D, Zhu L. Pneumatosis cystoides intestinalis: a case report and literature review. BMC Gastroenterol 2019; 19(1):176. doi:10.1186/s12876-019-1087-9
  9. Boerner RM, Fried DB, Warshauer DM, et al. Pneumatosis intestinalis: Two case reports and a retrospective review of the literature from 1985 to 1995. Dig Dis Sci 1996;41(11):2272–85. doi:10.1007/BF02071412


Article citation: Pendse R, Firouzbahkt S, Barron DW, Soliman B, Elfedaly M. Successful non-operative management of pneumatosis intestinalis in a patient with Crohn’s disease. The Southwest Journal of Medicine 2025;13(55):15–18
From: Department of Surgery, Texas Tech University Health Sciences Center, Amarillo, TX, USA (RP, SF, BS, ME) Mayo Clinic Alix School of Medicine, Scottsdale AZ, USA (DWB)
Submitted: 1/27/2025
Accepted: 4/7/2025
Conflicts of interest: none
This work is licensed under a Creative Commons Attribution-ShareAlike 4.0 International License.