Ozempic induced pancreatitis leading to respiratory failure and severe ARDS

Harpreet Dosanjh MD, Stella Zaringhalam MD, Chelsea Simpson MD, Imran Sayeedi MD

Corresponding author: Harpreet Dosanjh
Contact Information: Harpreet.Dosanjh@hcahealthcare.com
DOI: 10.12746/swjm.v14i58.1513

INTRODUCTION

Acute pancreatitis is an inflammatory condition with a wide array of etiologies, including gallstones, alcohol, hypertriglyceridemia, and medications. While most cases are self-limited, a subset can progress to systemic inflammatory response syndrome (SIRS), multiorgan dysfunction, and acute respiratory distress syndrome (ARDS), often necessitating intensive care unit (ICU) admission. Drug-induced pancreatitis (DIP) accounts for approximately 0.1–2% of cases and can be challenging to identify. Glucagon-like peptide-1 receptor agonists (GLP-1 RAs), including semaglutide (Ozempic), have emerged as widely used agents for glycemic control and weight reduction. Although gastrointestinal side effects are common, there is growing concern over their potential to induce acute pancreatitis, especially in patients with predisposing comorbidities.1

We report the case of a 37-year-old woman with multiple chronic illnesses who developed semaglutide-associated acute pancreatitis, which was further complicated by viral pneumonia (parainfluenza 3 and coronavirus 229E) and subsequent progression to severe ARDS requiring mechanical ventilation, proning, and lung-protective ventilation strategies in the ICU. This case underscores the importance of a high index of suspicion for medication-induced pancreatitis, the synergistic impact of viral co-infection, and the critical care principles necessary to manage rapidly evolving respiratory failure.

CASE PRESENTATION

A 37-year-old woman with a past medical history of insulin-dependent type 2 diabetes, hypertension, hyperlipidemia, class 3 obesity, asthma, right foot osteomyelitis s/p amputation, chronic pain was brought into the emergency department due to epigastric abdominal pain, which had been worsening. Over the last few weeks, she had stated that her pain had been worsening and began to radiate towards the back and was now accompanied with nausea and vomiting. The patient denied any recent illnesses, sick contacts, changes to diet, or recent travel. She acknowledged that the only changes was the recent addition of Ozempic to her medication regimen. In the emergency department, she was found to be tachycardic 125 beat/min, tachypneic at 22, with blood pressure at 214/88. She was found to have Lipase of 3186 units/L.

On physical exam, the patient was noted to be tachycardic, with clear lungs, and was tender to palpation over the mid-epigastrium region. In the emergency department she received 4 mg of IV morphine, 4 mg of IV ondansetron, and 2 liters of fluids consisting of 1 liter of Normal Saline and 1 liter of Lactated Ringers, and IV 1g Ceftriaxone for empiric coverage. Blood cultures and urine cultures were collected; chest x-ray was normal. Ultrasound of the gallbladder indicated gallbladder resection and was negative for common bile duct dilatation.

Initial laboratory findings indicated normal white blood cell count and a normal serum chemistry panel, with elevated lipase and physical exam findings consistent with acute pancreatitis. The patient denied any alcohol, tobacco, recent illnesses, and trauma. Ultrasound of gallbladder was negative; triglyceride level was noted to be 340 mg/dL which was an improvement from outpatient labs. The only change in medications recently was the introduction of Ozempic; the patient noted abdominal pain since then. Acute pancreatitis secondary to Ozempic was diagnosed. She was started on Lactated Ringer-D5W at 125 cc/hr, with antiemetics and pain control as needed. On the second day of admission, the patient was noted to have some dry cough with generalized fatigue and sore throat which she stated possibly began 1 day prior to arrival to the ED. Inflammatory ESR and CRP were also moderately elevated at 70 and 30.5 respectively, and viral respiratory panel was done which was positive for coronavirus 229E and parainfluenza 3.

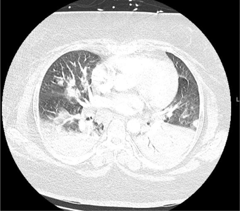
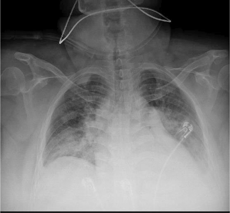
On day 3 of hospitalization, the patient’s fever was 102.3F, and she was started on azithromycin 500 mg IV daily. A repeat chest x-ray revealed retrocardiac opacity, suggesting infectious process (Figure 1). The patient now required 3L by nasal cannula (NC) from room air. Overnight, the patient was found to be tachycardic once again at 118 beats/min, febrile with temperature recorded at 102.9F, and worsening oxygenation increasing from 3L of NC to 15L on a non-rebreather mask saturating 88%. A commuted tomography (CT) of the chest was done to rule out PE; a physical exam noted crackles in bilateral lung fields, and the patient was administered IV Lasix 20 mg. She was also up titrated to high flow nasal cannula at 40L O2 and 60% of FiO2. A chest CT was negative for pulmonary embolism but did reveal bilateral extensive pulmonary consolidations affecting all lobes but most severely involving bilateral lower lobes, consistent with multifocal pneumonia as well as trace bilateral pleural effusions (Figure 2).

Figure 1

Figure 1. Chest X-ray, indicating retro-cardiac opacity and infectious etiology.

Figure 2

Figure 2. CTA Chest (PE Protocol), indicating extensive bilateral pulmonary consolidations affecting all bilateral lobes consistent with multifocal pneumonia.

On day 4 of admission, the patient had worsening oxygen requirements throughout the evening and was switched from high-flow nasal cannula to BiPAP (bilevel positive airway pressure). She was saturating 80% with BiPAP settings of FiO2 of 100%, respiratory rate in the 30s, and heart rate sustaining 120s. An arterial blood gas showed a pH of 7.38, PCO2 of 42.1, PO2 of 44 and had a P/F ratio of 49 on BiPAP of FiO2 of 100%. A chest x-ray indicated diffuse bilateral pulmonary opacities (Figure 3). Due to the patient’s being in respiratory distress and refractory hypoxia, she was emergently intubated and brought to the intensive care unit. She was in respiratory distress syndrome (ARDS) secondary to pancreatitis and viral pneumonias. She was started on decadron 10mg IV q12h, IV Zosyn 3.375 gm q8H, and lung protective ventilation strategies. Inflammatory ESR and CRP were also moderately elevated at 47 and 189 respectively, and ferritin was 176.1. Beta-D-Glucan test and sputum culture were negative.

Figure 3

Figure 3. Chest X-ray prior to intubation, indicating bilateral pulmonary opacities.

In the intensive care unit, the patient was treated for severe ARDS, intubated and sedated on propofol drip, fentanyl drip. She also underwent temporary paralysis with a Nimbex drip to facilitate proning for 16 hours and the supine position for 8 hours. In addition to the decadron and Zosyn, she was on azithromycin 500 mg daily. Daily ABGs while supine indicated improvements of P/F ratio and oxygenation prior to extubating of pH 7.38, PCO2 of 41.5, PO2 of 101, P/F ratio of 337. After 1 week, the patient was extubated directly to BiPAP due to body habitus and remained extubated. At extubation, the patient had finished courses of antibiotics and was on only a reduced dose of IV decadron 5mg q12h.

The patient was successfully weaned off of steroids and downgraded from the intensive care unit to the step down unit. She worked with physical therapy and occupational therapy and was successfully discharged from the hospital to a rehab facility.

DISCUSSION

This case highlights the rare and life-threatening complications of semaglutide-associated acute pancreatitis progressive to severe ARDS in the setting of concomitant viral pneumonia (coronavirus 229E and parainfluenza 3). The relationship of medication-induced pancreatitis and viral co-infection underscores the importance of early recognition and aggressive management in high-risk patients.

Semaglutide, a glucagon-like peptide-1 receptor agonist (GLP-1 RA), is increasingly used for type 2 diabetes and obesity management due to its favorable effects on glycemic control and weight loss. However, the association between GLP-1 RA and acute pancreatitis remains debated in most recent literature; recent analyses does indicate risk with patients with particular risk factors such as obesity and pre-existing pancreatic stressors. This is thought to occur via mechanisms involving increased pancreatic enzyme secretion and inflammatory cytokine release, with sustained GLP-1 receptor activation this leads to increased susceptibility to pancreatic inflammation.3 Our patient’s correlation between Ozempic initiation and symptom onset, along with exclusion of other common causes such as gallstones, alcohol, and hypertriglyceridemia (which was improving), further strengthens the likelihood of a drug-induced etiology. Although elevated triglycerides can precipitate pancreatitis, this was unlikely in our case given decreasing lipid levels prior to admission.4

Pancreatitis-induced ARDS has been attributed to early and sustained systemic inflammation. Inflammatory mediators derived from pancreatic injury can cause a widespread alveolar-capillary damage, predisposing the patient to ARDS.5 Our patient’s hospital course was also further complicated by positive PCR findings for coronavirus 229E and parainfluenza 3. Parainfluenza viruses have been recognized pathogens leading to viral pneumonia and ARDS, particularly in patients with comorbidities6 as well as coronavirus 229E, which have caused severe respiratory failure in vulnerable patients.7 The combination of systemic inflammation from pancreatitis and viral pneumonia likely synergistically led to diffuse alveolar damage leading to respiratory failure. The development of progressive hypoxic respiratory failure with diffuse bilateral infiltrates, low PaO2/FiO2 ratio, and need for mechanical ventilation fulfilled the Berlin criteria for severe ARDS.8

The management of our patient was centered around ARDS management, including lung-protective ventilation strategies, prone positioning, and corticosteroids.9,10 Our patient was treated with dexamethasone and underwent proning cycles, which have been shown to improve oxygenation and mortality in moderate-to-severe ARDS.11 Our patient’s recovery and successful extubation despite multiple comorbidities, including obesity and diabetes, was achieved in a multidisciplinary approach.

Few reports have been documented for semaglutide-induced pancreatitis complicated by ARDS, making this case notable. This case underscores the importance of vigilance for respiratory failure in patients’ drug-induced pancreatitis, especially with a patient with multiple co-morbidities as in the setting of a viral respiratory infection. Furthermore, it highlights the need for patient education regarding early symptoms of pancreatitis especially when starting GLP-1 RA therapy.

CONCLUSION

Our case illustrates a rare but severe complication of semaglutide-associated acute pancreatitis progressing to ARDS in the setting of viral co-infection with parainfluenza 3 and coronavirus 229E. The patient had a rapid clinical deterioration despite initial supportive care, highlighting the importance of early recognition of drug-induced pancreatitis and the potential for synergistic inflammatory responses from concurrent infections. Prompt ICU-level care and ARDS management contributed to a favorable outcome. Clinicians should maintain a high index of suspicion for pancreatitis and its complications in patients starting GLP-1 receptor agonists, particularly those with significant comorbidities.


REFERENCES

  1. Singh S, Chang HY, Richards TM, et al. Glucagonlike peptide 1–based therapies and risk of hospitalization for acute pancreatitis in type 2 diabetes mellitus. JAMA Internal Medicine. 2013 Apr 8;173(7):534.
  2. Lomeli LD, Kodali AM, Tsushima Y, et al. The incidence of acute pancreatitis with GLP-1 receptor agonist therapy in individuals with a known history of pancreatitis. Diabetes Research and Clinical Practice 215:111806–6.
  3. Koehler JA, Baggio LL, Lamont BJ, et al. Glucagon-like peptide-1 receptor activation modulates pancreatitis-associated gene expression but does not modify the susceptibility to experimental pancreatitis in mice. Diabetes. 2009 Jun 9;58(9):2148–61.
  4. Streja D. Hypertriglyceridemic Pancreatitis (HTGP) [Internet]. Feingold KR, Anawalt B, Boyce A, Chrousos G, de Herder WW, Dhatariya K, et al., editors. PubMed. South Dartmouth (MA): MDText.com, Inc.; 2022. Available from: https://www.ncbi.nlm.nih.gov/books/NBK279082/
  5. Zhou MT. Acute lung injury and ARDS in acute pancreatitis: Mechanisms and potential intervention. World Journal of Gastroenterology. 2010;16(17):2094.
  6. Shah RD, Wunderink RG. Viral pneumonia and acute respiratory distress syndrome. Clinics in Chest Medicine [Internet]. 2017 Mar 1;38(1):113–25. Available from: https://www.ncbi.nlm.nih.gov/pmc/articles/PMC7131505/
  7. Su S, Wong G, Shi W, et al. Epidemiology, genetic recombination, and pathogenesis of coronaviruses. Trends in Microbiology. 2016 Jun;24(6):490–502.
  8. The ARDS Definition Task Force. Acute Respiratory Distress Syndrome: The Berlin Definition. JAMA [Internet]. 2012 Jun 20;307(23). Available from: https://jamanetwork.com/journals/jama/article-abstract/1160659
  9. Qadir N, Sahetya SK, Munshi L, et al. An update on management of adult patients with acute respiratory distress syndrome: An official American thoracic society clinical practice guideline. American Journal of Respiratory and Critical Care Medicine. 2024 Jan 1;209(1):24–36.
  10. Fan E, Brodie D, Slutsky AS. Acute respiratory distress syndrome. JAMA. 2018 Feb 20;319(7):698.
  11. Guérin C, Reignier J, Richard JC, et al. Prone positioning in severe acute respiratory distress syndrome. New England Journal of Medicine [Internet]. 2013 Jun 6;368(23):2159–68. Available from: https://www.nejm.org/doi/full/10.1056/nejmoa1214103


Article citation: Dosanjh H, Zaringhalam S, Simpson C, Saveedi I. Ozempic induced pancreatitis leading to respiratory failure and severe ARDS. The Southwest Journal of Medicine. 2026;14(58):48–51
From: HCA Los Robles Regional Medical Center, Thousand Oaks, CA (HD, SZ, CS, IS)
Conflicts of interest: none
This work is licensed under a Creative Commons Attribution-ShareAlike 4.0 International License.