Primary malignant melanoma of lung: A clinical, radiological and cytological correlation

Saikat Bhowmik MBBS, Thaodem Collin Singh MD, Sunanada Haorongbam MD, Vishnu Madhu MBBS

Corresponding author: Saikat Bhowmik
Contact Information: Dr.Saikatbhowmick@gmail.com
DOI: 10.12746/swjm.v14i58.1547

ABSTRACT

Background: Primary malignant melanoma of the lung (PMML) is an extremely rare neoplasm, accounting for only 0.001% of all pulmonary tumors. While malignant melanoma commonly presents as skin lesions, primary lung involvement is exceptionally uncommon, with only 45 cases reported globally by 2018. This case report presents a rare instance of PMML in a 70-year-old Indian man.

Case Presentation: A 70-year-old gentleman presented with progressive dyspnea, chest pain, and unintentional weight loss. High-resolution computed tomography (CT) of the chest thorax revealed a large 76 × 96 × 75 mm mass in the left upper lobe with rib erosion and pathological fracture. Ultrasound-guided transthoracic fine-needle aspiration cytology (FNAC) demonstrated dyscohesive tumor cells with intracytoplasmic brownish pigments and pleomorphic nuclei consistent with malignant melanoma. Comprehensive evaluation excluded extrapulmonary primary sites, meeting Jensen and Egedorf diagnostic criteria for PMML. Immunohistochemical confirmation was not performed due to financial constraints.

Outcome: The patient declined surgical and chemotherapeutic interventions and expired four months post-diagnosis, consistent with the poor prognosis associated with PMML.

Conclusion: This case highlights the diagnostic challenges and aggressive nature of PMML in resource-limited settings. Early recognition and aggressive multimodal treatment may improve outcomes, though prognosis remains poor with median survival of 18 months.

Keywords: Thoracic cancer, melanoma

INTRODUCTION

Malignant melanoma, earlier termed as melanocarcinoma, is a rare cancer in India. Age-adjusted rates of this malignancy in India ranges from 0 to 1.21 per 1,00,000 population for females and 0 to 1.62 per 1,00,000 population for males, which is much lower compared to the western world.1 Melanomas are commonly found over skin, and sometimes they involve other organs like the uvea, mucosal surfaces of the head and neck region, and the anorectal, genital and urinary tracts.2 Primary malignant melanoma of the lung (PMML) is even more rare with only 45 cases reported till 2018.2

CASE

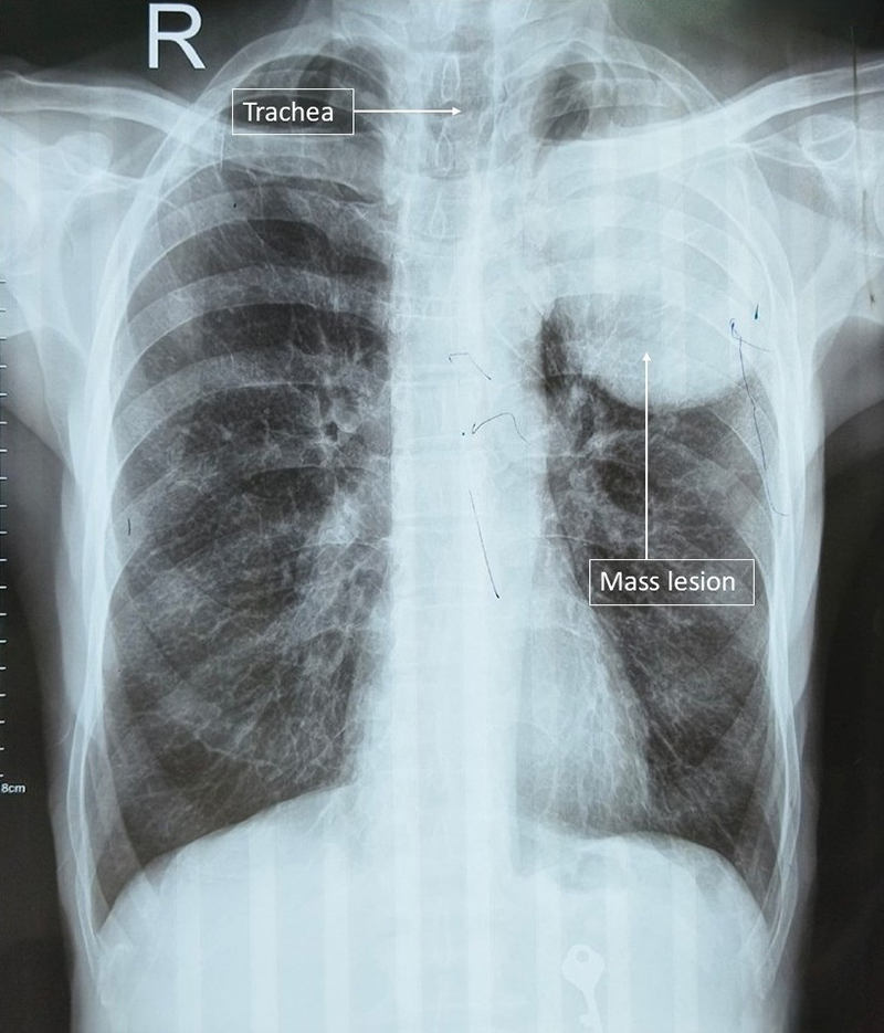
A 70-year-old man was referred to the Respiratory Medicine outpatient department of our institute by a private practitioner. On presentation, the patient complained of shortness of breath for 3 months and chest pain for last 1 month. The patient’s relatives reported his unintentional weight loss during the last year. His vitals were stable; on examination a dull percussion note was noted in left infra-scapular, axillary and infraclavicular area, breath sounds were absent, and no palpable cervical, axillary or inguinal lymph nodes were noted. A previous high resolution computed tomography (HRCT) thorax scan showed the presence of a large well circumscribed soft tissue mass lesion measuring 76 × 96 × 75 mm in the left upper lobe. Erosion of the 3rd and 4th rib with pathological fracture of the 3rd rib was also noted. Thin-walled emphysematous bullas were noted in the bilateral upper lobe. There was no evidence of lymphadenopathies. A chest x-ray with a posterior to anterior orientation view was done showing a mass lesion in left upper zone with bilateral hyperinflation changes (Figure 1).

Figure 1

Figure 1. Chest X-ray PA view showing lobulated mass lesion in left upper zone.

The patient was admitted for further work up. His CBC showed moderate anemia with hemoglobin level of 8.9, other parameters were normal. Other routine blood investigations, LFT, KFT, RBS, PT/INR, were within normal limit. After obtaining written informed consent, ultrasound-guided transthoracic fine-needle aspiration cytology (FNAC) was performed, which yielded a dark grayish sample. Histopathological examination of FNAC slides obtained showed dyscohesive tumor cells in scattered singles with evidence of necrosis. Cells were large with central to peripherally placed pleomorphic vesicular nuclei and prominent nucleoli. Many cells showed intracytoplasmic brownish pigments. Binucleated, multinucleated and occasional giant tumor cells were also seen. Histopathological features were suggestive of malignant melanoma (Figure 2).

Figure 2

Figure 2. FNAC showing intracytoplasmic brownish pigment, suggestive of Malignant Melanoma.

Immunohistochemistry (IHC) testing was advised to confirm the diagnosis, but due to financial constraints, the patient was unable to have the test. A PET-CT scan was also advised to rule out primaries at distant sites, but patient could not afford that. Thorough examination of the skin did not reveal evidence of skin lesion. Ophthalmology ruled out ocular primaries. Ultrasound-guided scans of the whole abdomen and thyroid were done to rule out secondaries and no other lesions were noted. The patient was referred to cardiothoracic surgery and oncology for definitive treatment; however, the patient denied any surgical or chemotherapeutic intervention and died 4 months after the initial diagnosis.

DISCUSSION

Primary malignant melanoma of the lung (PMML) accounts for only 0.001% of all pulmonary tumors.2 The median age of onset of PMML is 59.1 years with no gender bias. Smoking history, even though known to cause squamous metaplasia, was not found to be a predisposing factor in the development of PMML. Symptoms of the disease include cough, hemoptysis, dyspnea, weight loss, and occasional mild chest pain. Our patient’s symptoms were consistent with previous findings.

Diagnostic criteria of PMML as suggested by Jensen and Egedorf et al. include six characteristics: no previously removed skin tumors, no previously removed ocular tumors, a solitary lung tumor, tumor morphology compatible with primary tumor; no other organ involvement; and autopsy without primary malignant melanoma demonstrated elsewhere. In our patient, all the criteria were met except autopsy confirmation.3 Pathological diagnosis of malignant melanoma is made by confirmation of the bronchial epithelium by melanoma cells and immunohistochemical staining of melanoma cells for S-100 and HMB-45. In our patient, however, IHC testing could not be performed due to financial constraint. However, ultrasound of the whole abdomen and thyroid was performed and histopathologically mimicking lesions like metastatic hepatocellular carcinoma, metastatic adrenocortical carcinoma, pigmented metastatic renal cell carcinoma, anaplastic thyroid carcinoma were ruled out.

The prognosis of PMML is poor; most patients survive up to 18 months post diagnosis, and only two cases of long-term survival (>10 years) have been noted. Surgical treatment of choice includes lobectomy or pneumonectomy with lymph node dissection. Chemotherapeutic agents (interlukin-2 and interferon) and radiotherapy have been tried in patients with malignant melanoma, but none of the postoperative adjuvant therapies have found to be effective in PMML. Our patient, however, refused any intervention.

CONCLUSION

Primary malignant melanoma of lung is a rare and aggressive malignancy with a grave prognosis, particularly in resource limited settings in which confirmatory immunohistochemistry and advanced imaging facilities are inaccessible. Exclusion of extrapulmonary primaries in accordance with established diagnostic criteria is essential to establish the diagnosis. Despite surgical excision being the treatment of choice, most patients die within 18 months of diagnosis. This case report stresses the importance of having a degree of clinical suspicion of PMML in patients presenting with a solitary pulmonary mass.

PATIENT CONSENT

Written informed consent was obtained from the patient’s son for the publication of this case report and any accompanying images. Ethical clearance is exempted for the publication of anonymized case reports as per existing Institutional Ethics Committee guidelines.


REFERENCES

  1. Labani S, Asthana S, Rathore K, Sardana K. Incidence of melanoma and nonmelanoma skin cancers in Indian and the global regions. J Cancer Res Ther. 2021;17(4):906–11.
  2. Chang AE, Karnell LH, Menck HR. The National Cancer Data Base report on cutaneous and noncutaneous melanoma: a summary of 84,836 cases from the past decade. Cancer. 1998;83(8):1664–78.
  3. Shi Y, Bing Z, Xu X, Cui Y. Primary pulmonary malignant melanoma: case report and literature review. Thorac Cancer. 2018;9(9):1185–89. doi:10.1111/1759-7714.12798.
  4. Jensen OA, Egedorf J. Primary malignant melanoma of the lung. Scand J Respir Dis. 1967;48(2):127–35.
  5. Deng S, Sun X, Zhu Z, Lu J, et al. Primary malignant melanoma of the lung: a case report and literature review. BMC Pulm Med. 2020;20:94. doi:10.1186/s12890-020-1140-z.


Article citation: Bhowmik S, Singh TC, Haorongbam S, et al. Primary malignant melanoma of lung: A clinical, radiological and cytological correlation. The Southwest Journal of Medicine. 2026;14(58):37–39
From: Department of Respiratory Medicine, RIMS, Imphal, India (SB, TCS, VM) Department of Pulmonary Medicine, AIIMS Patna, Patna, India (SH)
Conflicts of interest: none
This work is licensed under a Creative Commons Attribution-ShareAlike 4.0 International License.