Aspergilloma in a cavitary rheumatic pulmonary nodule

Anil Kumar Jain MD, Vikram Vohra MD, Devesh Chauhan DNB, Rashi Vohra MD

Corresponding author: Anil Kumar Jain
Contact Information: Akjain62@gmail.com
DOI: 10.12746/swjm.v14i58.1553

ABSTRACT

A 67-year-old ex-smoker hypertensive male, on antituberculous therapy for the last 9 months for clinically diagnosed pulmonary tuberculosis (PTB), was referred to our clinic as a suspected case of drug resistant tuberculosis (DR-TB) due to the increasing cavity size and his progressive breathlessness. He was never bacteriologically positive for PTB either by smear or culture. A review of his history, subsequent investigations, and serial chest x-rays and high resolution computed tomography (HRCT) led to a suspicion of rheumatoid arthritis (RA) with pulmonary involvement. Although earlier x-rays showed increasing size of the cavity and thickening of the wall, the latest x-ray showed a well-formed air crescent sign. Further investigations revealed positive rheumatoid factor (RF), anti-nuclear antibodies (ANA), serum precipitin for Aspergillus fumigatus along with raised specific IgE. Contrast-Enhanced Computed Tomography (CECT) of the chest showed an interstitial lung disease (ILD) pattern and a cavity with a soft tissue collection along its wall. A diagnosis of RA with ILD and cavitating rheumatoid nodule developing aspergilloma was made, which is uncommon and can be easily missed by clinicians.

Keywords: Aspergilloma, rheumatic nodules, tuberculosis, rheumatoid lung disease

INTRODUCTION

Rheumatoid arthritis (RA), primarily a joint disease, involves the lungs mainly in the form of fibrosis, nodules, and interstitial lung disease (ILD). Necrosis in the nodules is relatively uncommon but is known to occur,1 and aspergilloma in rheumatoid cavitary lesions is still rarer. Fungal colonization can be seen in 11% to 17% of post tubercular cavities2 and can occur in sarcoidosis, cavitary neoplasm, pulmonary fibrosis, lung abscess, bronchial cyst, asbestosis, histoplasmosis, blastomycosis, ankylosing spondylitis, bronchiectasis, pneumonia, cyanotic heart disease, pulmonary infarction, allergic bronchopulmonary aspergillosis, and invasive aspergillosis. We report a rare case of aspergilloma developing in a cavity initially thought to be tuberculosis but was instead a cavitary rheumatoid nodule with ILD in RA.

CASE

A 67-year-old man presented with complaints of low-grade fever and dry cough with occasional scanty mucoid expectoration for 18 months. He reported 4–5 episodes of hemoptysis and progressive breathlessness more so on exertion for 1 year. Formerly a 3 pack/day smoker, he stopped smoking 10 years ago. He denied alcohol or other substance use. He had controlled hypertension with enalapril 5 mg daily for 15 years.

Based on his presentation, radiology, and negative bacteriological acid-fast bacilli (AFB) status, he was diagnosed with clinical tuberculosis and started on anti-tubercular treatment with rifampicin (R), isoniazid (H), pyrazinamide (Z) and ethambutol (E). Since he showed no improvement after 4 months of treatment, bronchoalveolar lavage was collected which was culture negative for AFB. No malignant cells were found. Injected Streptomycin (S) was added to the ongoing regimen of RHZE and after another 3 months of treatment, he was referred to us (after 10 months of ATT completion) as a case of suspected drug resistant tuberculosis (DR-TB) considering the increasing cavity size and progressive breathlessness.

Detailed history revealed that he had symptoms of rheumatoid arthritis for about 18 months, specifically symmetrical joints pain, intermittent swelling of bilateral wrists and fingers and ankle joint without any joint deformities, which were relieved by NSAIDS.

On examination the patient was afebrile with RR – 20/min, SpO2 95%, BP 110/70 mm Hg. Chest examination revealed bilateral vesicular breath sounds in all areas with bilateral fine basal crackles. The remainder of the examination was normal. Hemograms, liver and kidney function tests, blood glucose, and serum electrolytes were also normal.

Ziel Nelson stain, a nucleic acid amplification test, and liquid culture were negative for AFB. Review of the serial x-rays over the previous 9 months (Figure 1) showed a cavity in the left mid zone in which the wall progressively increased in size and thickness (Figure 2). Contrast-enhanced computed tomography (CECT) of the chest during the eighth month of treatment revealed a nonspecific interstitial pneumonia (NSIP) pattern with a non-communicating cavity (a large necrobiotic nodule) with a soft tissue collection along its wall (Figure 3A) and collection of soft tissue in the cavity (Figure 3B). Chest x-ray taken 2 months later (tenth month since anti-tubercular treatment initiation) at the institute showed the presence of an air crescent in the same cavity (Figure 4). In view of his history of small joint pains, the patient was worked up for rheumatoid arthritis. Investigations revealed a strongly positive RF and ANA; however Anti-CCp was negative. Total IgE (543 IU/ml), serum specific IgE (3.29 KUA/L) and IgG(>80IU) for Aspergillus fumigatus were high. A diagnosis of RA with ILD with cavitating rheumatoid nodule containing an aspergilloma was made.

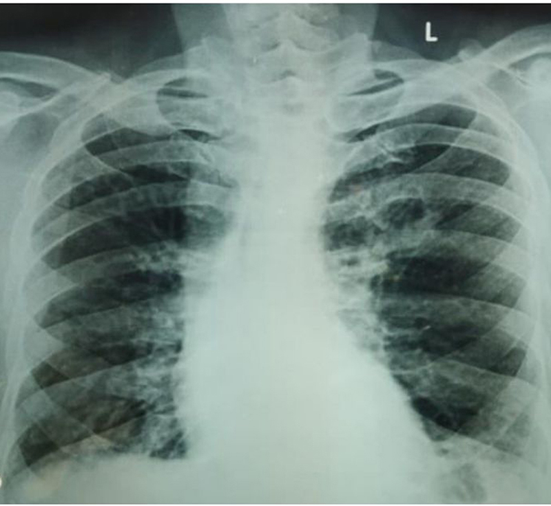
Figure 1

Figure 1. Cavity in left mid zone at time of ATT initiation.

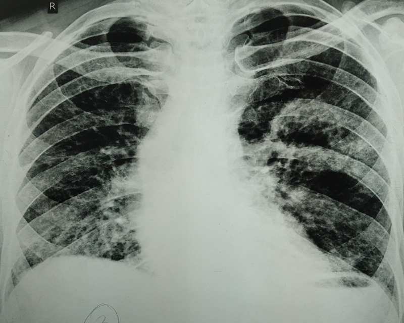
Figure 2

Figure 2. Enlargement and thickening of cavity at month 4 after ATT initiation.

Figure 3

Figure 3. (A) Arrow showing Mycelial fronds on cavity wall; (B) Arrow showing collection of fronds in cavity after detachment from wall at month 8 of ATT initiation.

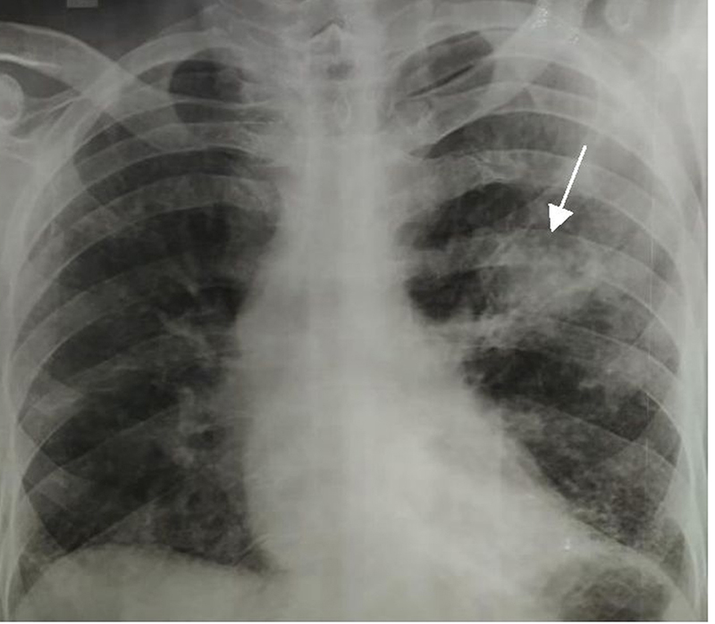
Figure 4

Figure 4. Arrow showing “Air-crescent” due to Fungal ball at month 10.

DISCUSSION

Occurrence of mycetoma/aspergilloma is well known almost exclusively in preexisting cavities, up to 91% in post-tubercular cases in countries in which tuberculosis is endemic.3 It may rarely be found in other conditions, such as a rheumatic cavitating nodule.

Rheumatoid arthritis affects 1% of the population in developed countries and about 0.92% of the adult population in India.4 It is known to involve the lungs, presenting as interstitial lung disease (ILD), rheumatoid nodules, and pleural effusions. Interstitial lung disease is the most common clinical manifestation of lung involvement in RA, with clinically evident disease occurring in about 10%. An additional 30% of individuals demonstrate evidence of subclinical disease on high-resolution computed tomography (HRCT) scans.5 A higher incidence of RA-ILD is associated with advanced age, males, smoking, increased severity of joint disease, high-titer RF, and elevated levels of anti-citrullinated protein antibodies (ACPAs).

Since our patient presented with fever, hemoptysis, and a lung cavity on x-ray, he was diagnosed with pulmonary tuberculosis in the absence of AFB in sputum. However, one very important element missed was the pain and swellings in his small joints. This led to a misdiagnosis of tuberculosis. Further, the absence of response to compliant ATT served as a flag to an alternative diagnosis.

Fungal colonization of pre-existing lung cavities is a known phenomenon. The common radiographic feature of such opportunistic infection is a rounded mass in a cavitary lesion separated from the rim of the cavity by air known as air-crescent, “meniscus,” “target,” “bull’s eye” and “peninsula.” Early colonization starts as mycelial fronds on the cavity wall, presenting as thickening of the cavity. Detachment of these fronds from the wall into the cavity with subsequent growth of the fungus gives the classical air-crescent and other patterns6 as is in our case. The most common fungal colonization is by Aspergellius species with the majority of patients having serum precipitating antibodies to Aspergillus antigens, which serves as a useful confirmatory test for suspected aspergilloma.7 The most common presentation of Aspergilloma is streaky to massive hemoptysis. This has been proposed due to the friction of the same against the hyper vascular cavity wall,8 localized hemorrhage from the fugal toxins9 or a type III inflammatory injury.10 Further, cavitating malignancy should be ruled out in case of smoking history.

CONCLUSION

Though rheumatic nodules are known to occur in rheumatic lung diseases, a large cavitating nodule is very rare and often confused with a tuberculous cavity. A detailed history, a cavity without surrounding infiltration, a smear/culture negative for AFB, and no response to antitubercular treatment should raise a suspicion of alternative diagnosis as in this case. Thickening of the cavity may be an early sign of fungal colonization and classical radiological aspergilloma may appear later in the course.


REFERENCES

  1. Petrie GR, Bloomfield P, Grant IWB, et al. Upper lobe fibrosis and cavitation in rheumatoid disease. Br J Dis Chest. 1980;74:263–7.
  2. British Thoracic and Tuberculosis Association. Aspergilloma and residual tuberculosis cavities: The results of a resurvey. Tubercle. 1970;51:227–45.
  3. Bopaka RG, Hasna J, Wiam EK, et al. Pulmonary aspergilloma. European Respiratory Journal. 2015;46:PA2650).11b.
  4. Arthritis – India Available at http://www.arthritis-india.com/rheumatoid-arthritis.html
  5. Doyle TJ, Lee JS, Dellaripa PF, et al. A roadmap to promote clinical and translational research in rheumatoid arthritis-associated interstitial lung disease. Chest. 2014;145:454–63.
  6. Roberts CM, Citron KM, Strickland B. Intrathoracic aspergilloma: role of CT in diagnosis and treatment. Radiology. 1987;165:123–8.
  7. Longbottom JL, Pepys J, Clive FT. Diagnostic precipitin test I Aspergillus pulmonary mycetoma. Lancet. 1964;1:588–9.
  8. Pimentel JC. Pulmonary calcification in the tumor-like form of pulmonary aspergillosis: Pulmonary aspergilloma. Am Rev Respir Dis. 1966;94:208–16.
  9. Campbell MJ, Clayton YM. Bronchopulmonary aspergillosis: A correlation of the clinical and laboratory findings in 272 patients investigated for bronchopulmonary aspergillosis. Am Rev Respir Dis. 1964;89:186–96.
  10. Hilvering C, Stevens EA, Orie NG. Fever in aspergillus mycetoma. Thorax. 1970;25:19–24.


Article citation: Jain AK, Vohra V, Chauhan D, Vohra R. Aspergilloma in a cavitary Rheumatic pulmonary nodule. The Southwest Journal of Medicine. 2026;14(58):58–61
From: National Institute of Tuberculosis and Respiratory Diseases, New Delhi, India (AKJ, VV, DC, RV)
Conflicts of interest: none
This work is licensed under a Creative Commons Attribution-ShareAlike 4.0 International License.