Methamphetamine-associated severe coronary artery ectasia presenting as ST-elevation myocardial infarction in young adult

Chanokporn Puchongmart MD, Natnicha Jakramonpreeya MD, Weerinth Puyati MD, Ben Thiravetyan MD

Corresponding author: Ben Thiravetyan
Contact Information: Ben.thi@gmail.com
DOI: 10.12746/swjm.v14i59.1565

ABSTRACT

While cocaine has been reported as a risk factor for coronary artery ectasia (CAE), the effects of other stimulants, such as methamphetamine, on CAE is inadequately described. We present a case of a mid-40s man with a history of hypertension, hyperlipidemia, and methamphetamine abuse who presented with acute-onset chest pain. His electrocardiogram indicated an inferior wall ST-elevation myocardial infarction (STEMI). Coronary angiography revealed diffuse and severe CAE with complete thrombotic occlusion of distal RCA and large thrombus burden in mid-RCA segment. Percutaneous coronary intervention was performed in the distal RCA. However, residual thrombus persisted in the mid-RCA segment. He was later discharged on dual antiplatelet therapy with a plan to initiate anticoagulation in the outpatient setting due to right groin hematoma. Prior studies regarding CAE and methamphetamine are still limited. In addition to his atherosclerotic risk factors, methamphetamine may have also contributed to the development of CAE.

Keywords: Coronary artery ectasia; Methamphetamine; Myocardial infarction

INTRODUCTION

Coronary artery ectasia is defined as an aneurysmal dilatation of the coronary artery more than 1.5 times the diameter of adjacent segments.1 CAE can be related to myocardial infarction in young individuals. Although CAE is mainly attributed to atherosclerosis, other nontraditional risk factors, such as substance abuse, may contribute to its development.2 Cocaine-associated CAE has been described in prior reports; however, the role of methamphetamine has not been extensively studied.3 We present a case of STEMI in a young man secondary to CAE with significant atherosclerotic risk factors and methamphetamine abuse.

CASE REPORT

A mid-40s obese man presented with sudden-onset and severe central chest pain. His medical history was notable for hypertension, hyperlipidemia, and chronic methamphetamine use. On arrival at the emergency department (ED), he was diaphoretic and visibly agitated. He denied any personal or family history of cardiovascular disease. Initial vital signs were temperature 98.0°F, heart rate 78 bpm, blood pressure 159/99 mmHg, respiratory rate 15 breaths per minute, and oxygen saturation 99% on room air. The cardiopulmonary examination was unremarkable, with clear breath and normal heart sounds. Notably, the patient received no analgesics or pain management during his ED stay.

The electrocardiogram showed inferior wall ST-segment elevation with reciprocal depressions in lead V2, consistent with inferior wall STEMI (Figure 1). Point-of-care echocardiography demonstrated a preserved left ventricular ejection fraction (55–59%) with regional wall motion abnormalities in the basal and septal segments. Chest X-ray findings at the ED were unremarkable.

Figure 1

Figure 1 Electrocardiogram indicated inferior wall ST-segment elevation with reciprocal V2 depression.

Code STEMI was activated. The patient received 324 mg of aspirin, 80 mg of atorvastatin, one nitroglycerin tablet, and an intravenous heparin drip prior to being transferred for emergent cardiac catheterization. Coronary angiography demonstrated diffuse, severe coronary artery ectasia (Figure 2) with complete (100%) thrombotic occlusion of the distal RCA and a large thrombus burden at the mid-RCA segment (Figure 2). PCI was performed with the placement of a drug-eluting stent in the distal RCA, resulting in the restoration of TIMI III flow to the right posterior descending artery. However, a residual thrombus remained in the mid-to-distal RCA, and occlusion of the right posterior ventricular branch persisted (Figure 3).

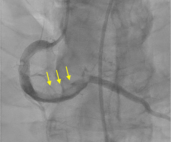
Figure 2

Figure 2 Left: Anterior oblique-caudal view demonstrating diffuse coronary ectasia involving the left anterior descending (LAD) and left circumflex (LCX) arteries, without significant obstructive lesions. Right: Severe dilation of the right coronary artery (RCA) with distal branch obstruction (yellow arrow).

Figure 3

Figure 3 Residual large thrombus in the mid-right coronary artery (RCA) segment following intervention (yellow arrow).

The patient developed a non-critical hematoma in the right groin the next morning. Initial troponin levels returned negative. Urine toxicology tested positive for methamphetamine and opioids. Given the post-procedural hematoma, anticoagulation was deferred at discharge. He was sent home with aspirin and ticagrelor. The initiation of anticoagulation therapy was scheduled for an outpatient setting once the hematoma had resolved. Strong recommendations were made for methamphetamine cessation.

DISCUSSION

CAE is known as a contributing factor to acute myocardial infarction in young individuals.2,4,5 It can also be discovered during angiography in both symptomatic and asymptomatic patients, with an overall prevalence of 1.2–4.8%.1,6 The mechanism of CAE thrombus formation results from the abnormal dilatation of coronary arteries, causing turbulent flow, reduced flow velocity, and promoting thrombus formation. Migration of these thrombi to distal coronary branches can lead to distal coronary artery obstruction and cause acute myocardial infarction.7

Atherosclerosis is one of the leading causes of CAE, accounting for 50% of the cases.2 CAE may also be congenital in around 20–30% of cases or secondary to specific conditions such as Kawasaki disease, connective tissue diseases, and drug-induced CAE.2,6 While many have reported CAE to be associated with cocaine abuse, the association with other stimulants, such as methamphetamine, is rarely stated.8

Methamphetamine causes significant cardiovascular changes in young individuals, such as cardiomyopathy, cardiac arrhythmias, atherosclerotic plaque formation, and pulmonary hypertension.9 It increases matrix metalloproteinase-9 activity,10 leading to extracellular matrix degradation, structural alterations of the vessel wall, and vascular remodeling.11 Currently, there is no definitive mechanism that fully explains the pathophysiology of coronary artery ectasia. The luminal dilatation observed in CAE is hypothesized to result from exaggerated expansive remodeling of the external elastic membrane, either through abnormal expansion or contraction.12 The principal pathogenesis of expansive remodeling and aneurysmal formation in CAE involves inflammatory and structural changes. Chronic inflammation leads to thinning of the tunica media, while matrix metalloproteinases and other lytic enzymes degrade the extracellular matrix, further contributing to the expansive remodeling process.12 Some studies have proposed that atherosclerotic processes and abnormal coronary hemodynamics, particularly low endothelial shear stress, may also lead to the development of CAE.13 This patient presents with multiple pre-existing metabolic risk factors; however, his methamphetamine use may have worsened underlying atherosclerosis and synergistically accelerated vascular injury, thereby increasing the risk of developing CAE.9

To the best of our knowledge, there are no established treatment guidelines for CAE, regardless of the presence of myocardial infarction. This lack of guidelines is largely attributed to its unclear pathophysiology, low prevalence, and unpredictable clinical course. These challenges hinder the feasibility of conducting large, high-quality, randomized controlled trials to evaluate treatment efficacy.14 Antiplatelet was found to help reduce the incidence of STEMI.15 Furthermore, DAPT is a more effective strategy for preventing major adverse cardiovascular events (MACE) in CAE patients.15

Despite the demonstrated benefits of DAPT in reducing MACE in CAE patients, the role of anticoagulants remains controversial due to inconsistencies across studies regarding MACE reduction.16 A systematic review of case reports indicated that patients with CAE who presented with myocardial infarction may experience greater benefit in preventing recurrent MI when treated with anticoagulants compared to those receiving DAPT alone. The authors suggested that anticoagulation should be considered on a case-by-case basis, depending on the risk of recurrent infarction versus bleeding, regardless of antiplatelet status.17

CONCLUSION

In conclusion, methamphetamine has been found to significantly contribute to the development of cardiovascular disease, particularly among younger populations. There appears to be a potential link between methamphetamine use and coronary structural abnormalities, such as coronary ectasia. However, further large-scale cohort studies are necessary to substantiate this relationship.


REFERENCES

  1. Eid MM, Mostafa MR, Alabdouh A, et al. Long-term outcomes of acute myocardial infarction in pre-existing coronary artery ectasia: a systematic review and meta-analysis. Curr Probl Cardiol. 2023;48(5):101626. DOI: 10.1016/j.cpcardiol.2023.101626.
  2. Li Y, Wu C, Liu W. Coronary artery ectasia presenting with thrombus embolization and acute myocardial infarction: A case report. Medicine (Baltimore). 2017;96(4):e5976. DOI: 10.1097/MD.0000000000005976.
  3. Satran A, Bart BA, Henry CR, et al. Increased prevalence of coronary artery aneurysms among cocaine users. Circulation. 2005;111(19):2424–9. DOI: 10.1161/01.CIR.0000165121.50527.DE.
  4. Barros G, Porto D, Rua Z, et al. Myocardial infarction with st-segment elevation in a young woman with coronary artery ectasia and aneurysm: a case repORT. JACC. 2024;83(13_Supplement):4363. DOI: 10.1016/S0735-1097(24)06353-8.
  5. Amin AS, Hoseyni Guyomi S, Buijs EM, et al. Coronary ectasia and repeated myocardial infarction in a young man. Int J Cardiol. 2014;171(3):e74–5. DOI: 10.1016/j.ijcard.2013.11.102.
  6. Devabhaktuni S, Mercedes A, Diep J, et al. Coronary artery ectasia-a review of current literature. Curr Cardiol Rev. 2016;12(4):318–323. DOI: 10.2174/1573403x12666160504100159.
  7. Aboeata AS, Sontineni SP, Alla VM, et al. Coronary artery ectasia: current concepts and interventions. Front Biosci (Elite Ed). 2012;4(1):300–10. DOI: 10.2741/377.
  8. Dendramis G, Paleologo C, Piraino D, et al. Relationship between coronary artery ectasia, cocaine abuse and acute coronary syndromes. World J Cardiol. 2016;8(5):351–5. DOI: 10.4330/wjc.v8.i5.351.
  9. Kevil CG, Goeders NE, Woolard MD, et al. Methamphetamine use and cardiovascular disease. Arterioscler Thromb Vasc Biol. 2019;39(9):1739–46. DOI: 10.1161/ATVBAHA.119.312461.
  10. Martins T, Baptista S, Goncalves J, et al. Methamphetamine transiently increases the blood-brain barrier permeability in the hippocampus: role of tight junction proteins and matrix metalloproteinase-9. Brain Res. 2011;1411:28–40. DOI: 10.1016/j.brainres.2011.07.013.
  11. Li T, Li X, Feng Y, et al. The role of matrix metalloproteinase-9 in atherosclerotic plaque instability. Mediators Inflamm. 2020;2020:3872367. DOI: 10.1155/2020/3872367.
  12. Ahmad M, Mungee S. Coronary ectasia. StatPearls Publishing. (https://www.ncbi.nlm.nih.gov/books/NBK541130/).
  13. Antoniadis AP, Chatzizisis YS, Giannoglou GD. Pathogenetic mechanisms of coronary ectasia. Int J Cardiol. 2008;130(3):335–43. DOI: 10.1016/j.ijcard.2008.05.071.
  14. Esposito L, Di Maio M, Silverio A, et al. Treatment and outcome of patients with coronary artery ectasia: current evidence and novel opportunities for an old dilemma. Front Cardiovasc Med. 2021;8:805727. DOI: 10.3389/fcvm.2021.805727.
  15. Azarboo A, Daneshvar MS, Abroy AS, et al. Antithrombotic therapy in adults with ectatic coronary artery disease: a systematic review and network meta-analysis. Egypt Heart J. 2025;77(1):13. DOI: 10.1186/s43044-025-00612-8.
  16. Araiza-Garaygordobil D, Gopar-Nieto R, Sierra-Lara Martinez JD, et al. A randomized trial of antithrombotic therapy in patients with acute coronary syndrome and coronary ectasia. Am Heart J. 2025;281:103–11. DOI: 10.1016/j.ahj.2024.11.012.
  17. Pranata R, Yonas E, Chintya V, Alkatiri AA. Is Anticoagulant necessary in patients with coronary artery ectasia presenting with acute coronary syndrome? A systematic review of case reports. Int J Angiol. 2019;28(4):231–6. DOI: 10.1055/s-0039-1692706.


Article citation: Puchongmart C, Jakramonpreeya N, Puyati W, Thiravetyan B. Methamphetamine-associated coronary artery ectasia presenting as ST-elevation myocardial infarction in a young adult. The Southwest Journal of Medicine. 2026;14(59):53–56
From: Texas Tech University Health Sciences Center, Lubbock, Texas (CP, NJ, WP, BT)
Conflicts of interest: none
This work is licensed under a Creative Commons Attribution-ShareAlike 4.0 International License.