Spontaneous pneumomediastinum: An uncommon presentation of anti-MDA5-positive dermatomyositis

Tulaton Sodsri MD, Ben Thiravetyan MD, Chanokporn Puchongmart MD, Nattanicha Chaisrimaneepan MD

Corresponding author: Tulaton Sodsri
Contact Information: Tulaton.Sodsri@ttuhsc.edu
DOI: 10.12746/swjm.v14i58.1575

ABSTRACT

Anti-MDA5 positive dermatomyositis (anti-MDA5+ DM) is a rare subtype of dermatomyositis, often associated with rapid-progressive interstitial lung disease (RP-ILD), leading to significantly higher mortality. Spontaneous pneumomediastinum, although rare, is a potentially fatal manifestation of this condition and could also be a predictor of RP-ILD and associated with worse outcomes. A 41-year-old man initially presented with spontaneous pneumomediastinum leading to desaturation, proximal muscle weakness, Gottron’s papules, and the “V sign” on his neck. Testing confirmed the presence of MDA5 antibodies, diagnosing anti-MDA5+ DM. He was treated conservatively for pneumomediastinum and started on immunosuppressive therapy. Long-term management includes regular adjustment of immunosuppressive medications and follow-up with High-Resolution Computed Tomography (HRCT) and pulmonary function tests due to the risks of RP-ILD and recurrent spontaneous pneumomediastinum. This case highlights the importance of thoroughly evaluating patients with spontaneous pneumomediastinum for signs of autoimmune disease and myositis profile. Early diagnosis and aggressive treatment are essential to reduce complications and improve outcomes in anti-MDA5+ DM patients.

Keywords: Spontaneous pneumomediastinum, anti-MDA5 positive dermatomyositis, RP-ILD

INTRODUCTION

The melanoma differentiation-associated protein 5 (MDA5) antibody-positive dermatomyositis (anti-MDA5+ DM) is a distinct form of DM with various clinical manifestations involving lungs, skin, and vascular predominance. The frequency of interstitial lung disease (ILD) in polymyositis (PM) and DM has been reported to range between 5–30%.1 More than one-third of anti-MDA5+ DM patients develop rapidly progressive interstitial lung disease (RP-ILD).2 Spontaneous pneumomediastinum (SPM) was developed in nearly one-tenth of anti-MDA5+ DM.3 Fungal infection is one of the risk factors for spontaneous pneumomediastinum development. However, spontaneous pneumomediastinum rarely happens as a presenting symptom of anti-MDA5+ DM. We report a case of a middle-aged man presenting with spontaneous pneumomediastinum and myopathy, which led to the diagnosis of anti-MDA5 positive DM.

CASE

A former smoking 41-year-old man with a past medical history of Valley fever presented with 6-day of progressive shortness of breathing. He denied a history of injury to his chest and neck. He had a history of biopsy from video-assisted thoracic surgery (VATS) to confirm a diagnosis of Valley fever in 2019, for which he completed fluconazole 200 mg daily for one year, but then he was lost follow-up.

Two weeks before the admission, he began experiencing progressive shortness of breath, accompanied by dyspnea within a short walking distance. He denied hemoptysis, orthopnea, and paroxysmal nocturnal dyspnea but endorsed having severe pressure-like chest pain with a pain score of 10/10 associated with deep inspiration. He also reported a 20-kilogram weight loss in the past 5 months and swelling in fingers, wrists, and elbow joints in the past month. In the emergency department, he was afebrile (97 F) and desaturated on ambient air (oxygen saturation 92%) with a mean arterial pressure of 101 mmHg. Oxygen saturation improved to 95% while on 2 liters of nasal cannula. On physical examination, he appeared mildly distressed. The cardiovascular examination was unremarkable. Respiratory examination revealed fine crepitation in both lower lungs. Subcutaneous emphysema was detected at the upper chest wall and neck. A V-shaped rash was observed on the chest, and Gottron’s papules were observed on bilateral hands. There was no Raynaud’s phenomenon and mechanic hands. Neurological examination revealed diminished hand grip strength and proximal bilateral upper extremity muscle power of 3/5. Other physical examinations yielded unremarkable results.

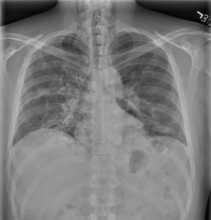
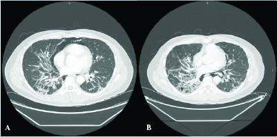
The initial investigation showed unremarkable complete blood count, elevated liver enzymes, and slightly elevated ESR (34 mm/hr). Rheumatoid factor was positive, and LDH level was high at 374 units/L. Ferritin was high at 2584 ng/ml. CK level, lactate level, and procalcitonin were within the normal ranges. Complete blood count and blood chemistries are summarized in Table 1. Initial chest x-ray revealed subcutaneous emphysema over the lower neck and upper chest with multifocal bilateral pulmonary infiltrates (Figure 1). A CT Chest was performed with a large pneumomediastinum with large patchy opacification in the right hilar and posterior lower lobes bilaterally with general fibrotic changes to both lungs (Figure 2A). As the etiology of pneumomediastinum was unclear, CT esophagography was pursued and was negative for extravasation but re-demonstrated extensive subcutaneous emphysema (Figure 3). The diagnosis of pneumomediastinum was established, and the cardiothoracic surgery team was consulted; there was no need for acute intervention.

Table 1. Laboratory Results

Investigation Reference Range On Admission At Discharge 2 Weeks Follow-up Visit
Complete blood count
WBC 4.3–11 K/uL 5.02 4.1 4.54
Neutrophils 37–80% 66.1
Lymphocytes 10–50% 26.3
Monocytes 2–9% 6.2
Eosinophils 0–4% 0.8
Basophils 0.1–1.2% 0.2
MCV 79.4–94.8 fL 88.4 89.3 90.4
Hemoglobin (Hgb) 12.0–16.0 g/dL 15.5 13.9 14.6
Hematocrit (Hct) 38.0–47.0% 44.1 39.3 41.6
Platelets 150–375 K/uL 243 240 239
Blood chemistry
Glucose 136–145 mmol/L 105 97 104
BUN 6–20 mg/dL 8 11 9
Creatinine 0.5–1.2 mg/dL 0.6 0.6 0.5
Sodium 136–145 mmol/L 138 139 138
Potassium 3.5–5.1 mmol/L 4.1 3.5 3.7
Chloride 97–197 mmol/L 102 102 102
Bicarbonate 20–30 mmol/L 22 26 24
AST 5–37 IU/L 94 87 92
ALT 5–41 IU/L 96 148 132
ESR 0–15 mm/hr 34 25
CRP 0.0–0.5 mg/dl <0.3 0.4
LDH 135–225 units/L 374
Lactate 0.5–2.2 mmol/L 1.6
Ferritin 30–400 ng/mL 2582
Creatinine kinase 26–308 IU/L 56 72
Aldolase <8.1 units/L 10.1

Figure 1

Figure 1. Chest X-rays on the initial visit show subcutaneous emphysema over the lower neck and upper chest with multifocal bilateral pulmonary infiltrates.

Figure 2

Figure 2. (A) Chest CT shows a large pneumomediastinum with large patchy opacification in the right hilar and posterior lower lobes bilaterally with general fibrotic changes to both lungs. (B) Chest CT at 12 weeks follow-up visit shows less extensive pneumomediastinum.

Figure 3

Figure 3. CT esophagography shows the retropharyngeal soft tissues dissecting through the myofascial plane, which communicate with the soft tissues of the base of the neck and supraclavicular region.

Conservative treatment was pursued with oxygen therapy and pain control for the treatment of pneumomediastinum with serial imaging. The patient was empirically treated with ceftriaxone 2 grams once daily and azithromycin 500 mg twice daily empirically for suspected pneumonia. Infectious disease specialists and pulmonologists were consulted due to previous Valley fever and possible active infection. The infectious panel showed positivity of Coccidioides antibody with a complement fixation less than a ratio of 1:2 (negative) (Table 2). The complement fixation antibody titer also confirmed non-active Coccidioidomycosis. Bronchoscopy yielded no bacterial and fungal growth and was negative for pneumocystis and legionella in bronchoalveolar lavage fluid. The result confirmed no active pulmonary infection. The antibiotic was discontinued after a 5-day course.

Table 2. Laboratory Results

Investigation Reference Range Result
Infection panel
Coccidioides Ab Negative Positive
Coccidioides Ab complement fixation <1:2 (not detected) <1:2
Antibody to TP antigen IgM Negative Negative
Antibody to F Antigen IgG Negative Positive
1–3 B D-glucan <60 pg/mL <31 (negative)
QuantiFERON TB Negative
Immunology
ANA Negative
Rheumatoid factor ≤14 IU/L 18
Anti-CCP ≤3.0 units/mL Negative
Antiproteinase-3 Ab <1.0 AI (negative) 0.2 (Negative)
Antimyeloperoxidase Ab <1.0 AI (negative) Negative
Myositis profile
Jo-1 Ab <11 <11
PL-7 Ab <11 <11
PL-12 Ab <11 <11
EJ Ab <11 <11
OJ Ab <11 <11
SRP Ab <11 <11
Mi-2 alpha Ab <11 <11
Mi-2 beta Ab <11 <11
MDA 5 Ab <11 91
TIF 1 gamma Ab <11 <11
NXP-2 Ab <11 <11

Due to the pertinent findings on examination, including proximal muscle weakness, Gottron’s papules, and the ‘V sign’ on his neck, dermatomyositis was most likely consistent with the patient’s clinical ppresentation. Rheumatology was consulted with an additional myositis profile. A 30-mg daily prednisolone and oral hydroxychloroquine (HCQ) were initiated. Muscle weakness and rashes significantly improved in one week after the treatment. The patient was discharged on prednisone 15 mg daily and HCQ 200 mg daily.

At a 2-week clinic follow-up, the MDA5 antibody was positive at 91 (<11), and he was diagnosed with anti-MDA5 dermatomyositis. Mycophenolate Mofetil (MMF) 500 mg twice daily was started. At the 6-week follow-up, his muscle power had greatly improved with the resolution of the rashes, and no side effects from MMF were noted. MMF dose was increased to 3 g daily to the target dose. A pulmonary function test was consistent with restrictive lung disease, FEV1 1.89 L (47%), FVC 2.32 (46%), and normal FEV1/FVC ratio. The patient was unable to perform DLCO. At 12-week follow-up, a repeat CT chest demonstrated less extensive pneumomediastinum than the prior exam (Figure 2B).

DISCUSSION

Spontaneous pneumomediastinum (SPM) can present as a complication of rheumatic disease. A higher frequency of SPM is reported in DM and PM. The prevalence of SPM in DM/PM ranges from 2.2–8.3% but is significantly more frequent in the anti-MDA5+ DM.4–6 It remains an uncommon and inadequately studied pulmonary consequence in anti-MDA5 positive DM.

Despite being reported in 1986, the mechanisms underlying SPM in anti-MDA5+ DM remain elusive. The proposed hypothesis suggests a vasculopathic phenomenon affecting the respiratory epithelium, resulting in alveolar rupture and/or the development of subpleural cysts, ultimately leading to SPM formation.5 It is important to note that SPM can occur before the classic manifestation of DM or at any time during the course of the disease.7 In our case, the patient presented with SPM together with clinical features of DM, which had not been diagnosed before.

Three clinical characteristics—amyopathic phenotype, interstitial lung disease (ILD), and the presence of anti-MDA5 antibodies—have demonstrated a potential association with the development of SPM in individuals with dermatomyositis.4,8 Other clinical features of anti-MDA5+ patients with SPM were studied by and summarized by Jin et al. The patients are more likely male and likely to develop fever, dyspnea, RP-ILD, periungual erythema, dysphagia, infection (fungal and CMV), higher CK level, and higher ferritin level when compared to patients with non-SPM.3

Recent studies highlight the association between DM and SPM, particularly indicative of poor prognosis.8 However, a study by Yoshida et al. proved otherwise; ILD and infection contributed to poor outcomes in these patients.9 Another study confirmed that rapidly progressive interstitial lung disease (RP-ILD) is an indicator of poor outcomes.10 A study by Abe et al. showed that the mortality of DM in the SPM group (34.8%) than in the non-SPM group (7.3%) (p = 0.001), while the study by Jin et al. did not show a significant difference in survival rate between the anti-MDA5+ DM with and without SPM.8 An interesting study indicated that reduced immunosuppressive agents were associated with a better outcome.8 This can be related to the fact that escalation of immunosuppressive agents poses a risk of infection, resulting in poorer outcomes.8

Anti-MDA5+ DM possibly aggravates the SPM in the presence of ILD. With the diagnosis of anti-MDA5+ DM, we highly recommend infectious tests before initiating a patient on an immunosuppressive agent as it will worsen the infection, and infection can also precipitate SPM in anti-MDA5+ DM.

No recommended guidelines are available for the treatment of SPM due to DM. Our patient was treated conservatively for pneumothorax, and immunosuppressive agents were indicated for treating anti-MDA5+ DM. He also retains ILD from the imaging, which may pose a poor outcome. This necessitates close monitoring to adjust immunosuppressive agents.

CONCLUSIONS

Patients with spontaneous pneumomediastinum should be evaluated for systemic and rheumatologic diseases, including anti-MDA5+ dermatomyositis. A thorough physical exam, including an assessment of cutaneous signs of rheumatic diseases, as well as muscle enzymes and myositis profiles are essential for diagnosis. Early immunosuppressive therapy is crucial to prevent progression, and CT thorax or HRCT should be used for long-term monitoring of interstitial lung disease.


REFERENCES

  1. Douglas WW, Tazelaar HD, Hartman TE, et al. Polymyositis–dermatomyositis-associated interstitial lung disease. American journal of respiratory and critical care medicine. 2001;164(7):1182–5.
  2. So J, So H, Wong VT-L, et al. Predictors of rapidly progressive interstitial lung disease and mortality in patients with autoantibodies against melanoma differentiation-associated protein 5 dermatomyositis. Rheumatology. 2022;61(11):4437–44.
  3. Jin Q, Lin S, Chen X, et al. Spontaneous pneumomediastinum in anti-MDA5-positive dermatomyositis: Prevalence, risk factors, and prognosis. Seminars in Arthritis and Rheumatism; 2024: Elsevier.
  4. Ma X, Chen Z, Hu W, et al. Clinical and serological features of patients with dermatomyositis complicated by spontaneous pneumomediastinum. Clinical rheumatology. 2016;35:489–93.
  5. Kono H, Inokuma S, Nakayama H, et al. Pneumomediastinum in dermatomyositis: association with cutaneous vasculopathy. Annals of the rheumatic diseases. 2000;59(5):372–6.
  6. Le Goff B, Chérin P, Cantagrel A, et al. Pneumomediastinum in interstitial lung disease associated with dermatomyositis and polymyositis. Arthritis Care & Research. 2009;61(1):108–18.
  7. Subki AH, Almani IM, Albeity A, et al. Spontaneous pneumomediastinum and subcutaneous emphysema in dermatomyositis: a case series and literature review. Journal of Inflammation Research. 2023:1431–41.
  8. Abe K, Furuta S, Kobayashi Y, et al. Prognosis of spontaneous pneumomediastinum occurring in dermatomyositis or polymyositis patients with interstitial lung disease according to antimelanoma differentiation-associated gene 5 antibody status: a retrospective cohort study. RMD open. 2023;9(1):e002770.
  9. Yoshida K, Kurosaka D, Kingetsu I, et al. Pneumomediastinum in dermatomyositis itself is not a poor prognostic factor: report of a case and review of the literature. Rheumatology international. 2008;28:913–7.
  10. Li C, Liang Me, Jiang H, et al. The long-term prognosis of pneumomediastinum associated with dermatomyositis: a two-centre retrospective cohort study. Rheumatology. 2021;60(5):2288–95.


Article citation: Sodsri T, Thiravetyan B, Puchongmart C, Chaisrimaneepan N. Spontaneous pneumomediastinum: An uncommon presentation of anti-MDA5-positive dermatomyositis. The Southwest Journal of Medicine. 2026;14(58):52–57
From: Texas Tech University Health Sciences Center, Lubbock, Texas
Conflicts of interest: none
This work is licensed under a Creative Commons Attribution-ShareAlike 4.0 International License.