Metastatic breast cancer presenting with pleural effusion and pulmonary nodules: A multimodal diagnostic approach

Cesar Peralta MD, Bhavana Yalamanchili MBBS, Andres Yepes, MD

Corresponding author: Cesar Peralta
Contact Information: Cesar.Peralta@ttuhsc.edu
DOI: 10.12746/swjm.v13i57.1597

ABSTRACT

We present the case of a 75-year-old female with a history of ductal carcinoma in situ (DCIS) of the right breast who later developed complications suggestive of metastatic disease. Through a coordinated multidisciplinary effort involving imaging, thoracentesis, pleuroscopy, and cryobiopsy, a diagnosis of metastatic adenocarcinoma was established. This case highlights the diagnostic importance of minimally invasive thoracic procedures in patients with suspected metastatic disease.

Keywords: Breast cancer, metastatic adenocarcinoma, pleuroscopy, cryobiopsy, pleural effusion, pulmonary nodules, double lumen intubation, Heimlich valve

CASE PRESENTATION

The patient is a 75-year-old woman with a past medical history of hypertension and recently treated DCIS of the right breast. Her cancer was ER/PR positive (ER 90%, PR 60%), treated with lumpectomy in March 2024 followed by adjuvant endocrine therapy (Arimidex initiated on 4/18/2024) and radiation (5005 cGy over 20 fractions). She presented in May 2025 after a fall and was reportedly confused. Outside hospital records suggested a malignant pleural effusion and possible bony metastasis; however, documentation was incomplete.

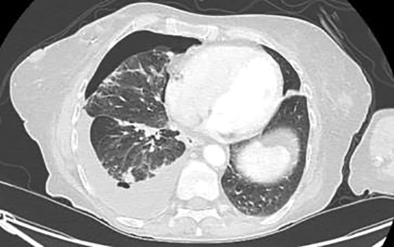
Initial thoracentesis performed on 05/08/2025 drained 2 L of pleural fluid. The pleural fluid analysis showed lymphocyte predominance, consistent with an transudative process (WBC 344, Protein 4.2, LDH 161, Glucose 103), and was negative for malignancy. Despite this, imaging (CT chest, abdomen, and pelvis) revealed a right-sided hydropneumothorax, diffuse bilateral pulmonary nodules (up to 8.9 mm), and air foci within the effusion, raising concern for empyema or metastatic disease (Figure 1).

Figure 1

Figure 1. CT Chest – Axial view showing a large right-sided hydropneumothorax with adjacent air-fluid levels. Multiple bilateral pulmonary nodules (up to 8.9 mm) are visible. The presence of air foci within the pleural space raised concern for empyema versus metastatic disease.

MRI brain showed subtle leptomeningeal enhancement in the left frontal and parietal lobes and right superior frontal convexity, with differential including subacute ischemic infarcts vs metastatic involvement.

Given these findings, the patient was referred to pulmonary medicine. The team opted for pleuroscopy and potential bronchoscopy to further investigate the pulmonary nodules and pleural abnormalities. The patient was intubated with a double lumen endotracheal tube, and pleuroscopy was performed first. Granular tumor-like lesions were noted along the pleura (Figures 2–3). Cryobiopsy specimens were obtained and sent for cytopathological analysis, which confirmed the presence of metastatic adenocarcinoma.

Figure 2

Figure 2. Pleuroscopy Image 1 – Endoscopic view of the parietal pleura showing multiple granular tumor-like lesions with a friable surface. These were noted during diagnostic pleuroscopy under general anesthesia with double-lumen intubation.

Figure 3

Figure 3. Pleuroscopy Image 2 – Close-up of pleural lesions demonstrating abnormal vascularity and nodularity consistent with metastatic involvement.

Robotic bronchoscopy was deferred. The procedure was tolerated well without complications. The patient was discharged home with a Heimlich valve, which was removed in the pulmonary clinic on 06/12 after confirming no residual air leak.

DISCUSSION

This case illustrates the critical role of advanced thoracic interventions such as pleuroscopy and cryobiopsy in establishing a tissue diagnosis when initial fluid analysis is non-diagnostic. The evolution from non-invasive imaging to minimally invasive pleural evaluation provided a timely and definitive diagnosis, allowing for appropriate oncologic follow-up.

CONCLUSION

In patients with a known history of breast cancer and new pleural or pulmonary abnormalities, early tissue diagnosis should be pursued. Multimodal diagnostic approaches involving pleuroscopy and biopsy remain invaluable tools in evaluating suspected metastatic disease.


REFERENCES

  1. Rivera MP, Mehta AC, Wahidi MM. Establishing the diagnosis of lung cancer: diagnosis and management of lung cancer. Chest. 2013;143(5_suppl):e142S–e165S.
  2. Sahn SA. Malignant pleural effusions. Semin Respir Crit Care Med. 2001;22(6):607–16.
  3. Ernst A, Herth FJF. Principles and Practice of Interventional Pulmonology. Springer; 2013.
  4. Loddenkemper R, Mathur PN, Lee P, et al. History and clinical use of thoracoscopy/pleuroscopy in respiratory medicine. Breathe (Sheff). 2011;8(3):180–93.
  5. Light RW. Pleural Diseases. 6th ed. Lippincott Williams & Wilkins; 2013.


Article citation: Peralta C, Yalamanchili B, Yepes A. Metastatic breast cancer presenting with pleural effusion and pulmonary nodules: A multimodal diagnostic approach. The Southwest Journal of Medicine 2025;13(57):69–71
From: Texas Tech University Health Sciences Center School of Medicine, Lubbock, Texas (MM) Department of Internal Medicine, Texas Tech University Health Sciences Center, Lubbock, Texas (CP, BY, AY)
Submitted: 9/3/2025
Accepted: 9/25/2025
Conflicts of interest: none
This work is licensed under a Creative Commons Attribution-ShareAlike 4.0 International License.