Dual-device transcatheter closure of a complex fenestrated atrial septal defect

Tara Talebi-Talghian DO, Sirisha Yarlagadda MD, Cihan Cevik MD

Corresponding author: Tara Talebi-Talghian
Contact Information: Tara.Talebi-Talghian@co.rvu.edu
DOI: 10.12746/swjm.v14i58.1609

ABSTRACT

Fenestrated atrial septal defects pose significant challenges for transcatheter closure due to their complex morphology and the frequent presence of multiple openings. We report a case of a 41-year-old man with cryptogenic stroke found intra-procedurally to have a large, fenestrated ostium secundum atrial septal defect. Successful closure was achieved using two Amplatzer septal occluders—a 24 mm standard and a 30 mm cribriform device. Advanced imaging had a critical role in delineating defect anatomy, guiding individualized device selection, and confirming complete closure. This case highlights the feasibility and safety of dual-device deployment in complex septal anatomies and underscores the importance of comprehensive imaging and flexible interventional strategies in optimizing outcomes.

Keywords: Atrial septal defect; Fenestrated ASD; Transcatheter closure; Amplatzer septal occluder; Cribriform Amplatzer device; Dual-device closure.

INTRODUCTION

Atrial septal defects (ASDs) represent approximately 10% of all congenital heart defects, with ostium secundum defects comprising nearly 70% of these cases.1 Among them, fenestrated ostium secundum ASDs, characterized by multiple openings within the interatrial septum, represent 4–10% of cases.2 While many ASDs remain asymptomatic into adulthood, closure is indicated in the presence of right ventricular volume overload, pulmonary hypertension, right heart failure, or prior paradoxical embolism and stroke.3 This report describes the intra-procedural identification of a large, fenestrated ostium secundum ASD in a 41-year-old man with a history of cryptogenic stroke. The case highlights the successful deployment of dual Amplatzer septal occluder devices, emphasizing the importance of comprehensive procedural evaluation and individualized device-based strategies in managing morphologically complex ASDs.

CASE

A 41-year-old man with no significant past medical history presented with a cryptogenic cerebrovascular accident (CVA). Brain magnetic resonance imaging (MRI) revealed small, multiple infarcts in the left frontoparietal white matter. Transthoracic echocardiography (TTE) demonstrated right heart enlargement, a large patent foramen ovale (PFO) with an atrial septal aneurysm (ASA) and high-risk features for paradoxical embolism. Planned percutaneous PFO closure was modified intra-procedurally when transesophageal echocardiography (TEE) revealed two distinct ostium secundum ASDs (Figure 1A–B). Right and left atrial pressures measured 10 mmHg and 18 mmHg, respectively. The 21 mm and 8 mm defects were consistent with a large fenestrated ASD with predominant left-to-right shunting. Dual-device closure was pursued to ensure complete occlusion. A 24 mm Amplatzer septal occluder (ASO) was deployed for the larger defect, and a 30 mm cribriform ASO for the smaller defect (Figure 1C–D). TEE confirmed stable device positioning and complete closure with no residual shunting. The patient tolerated the procedure well with no complications.

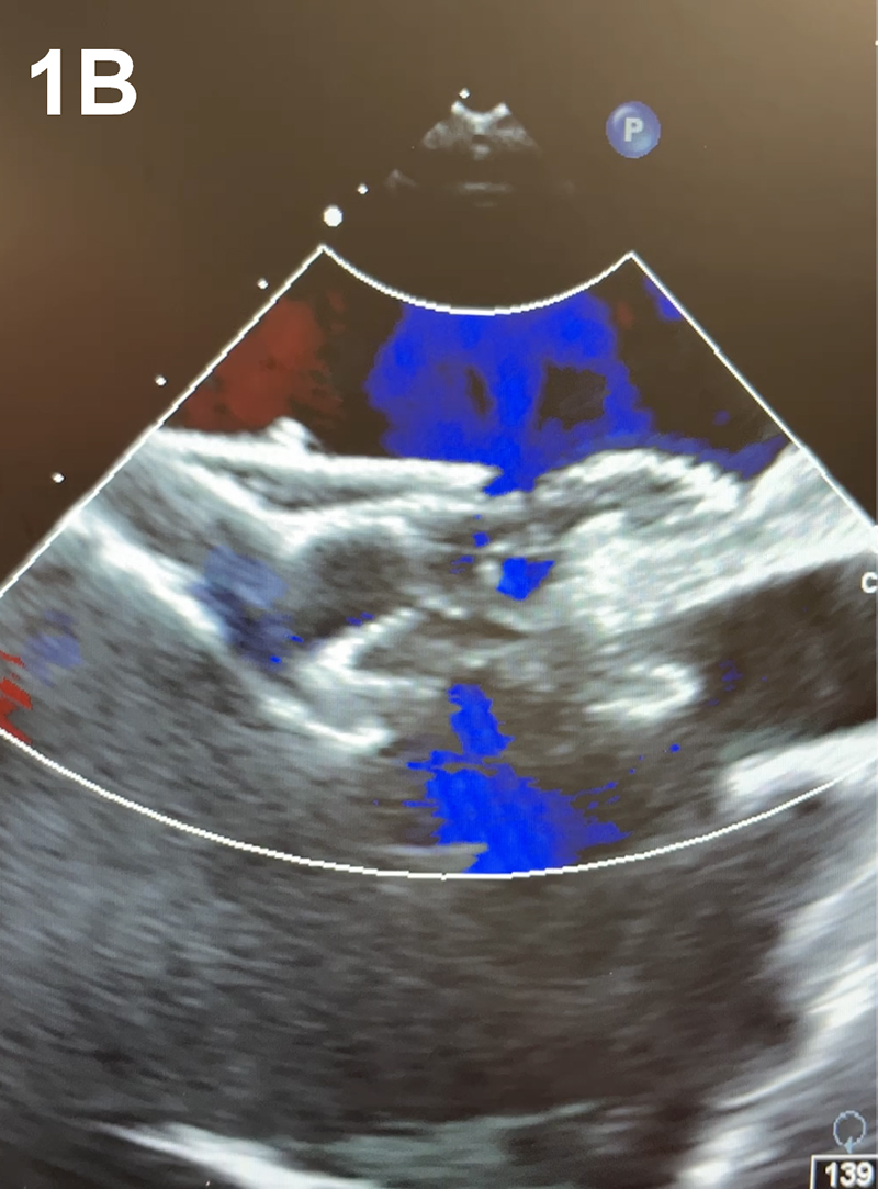
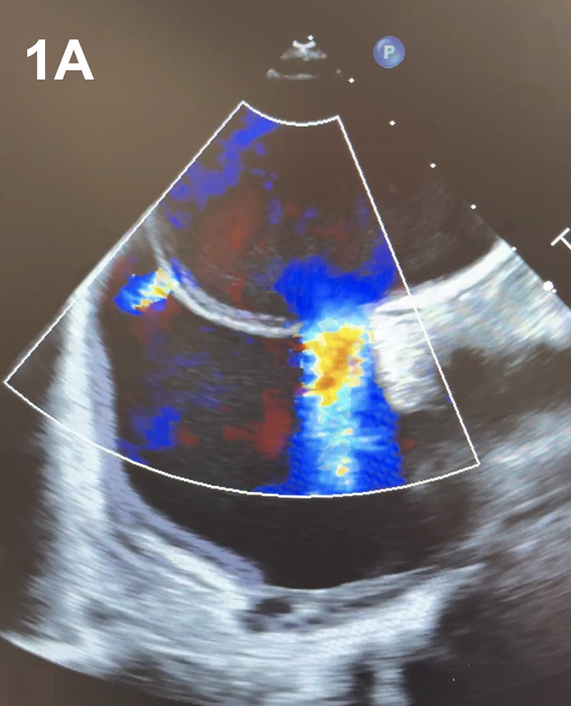
Figure 1Figure 1Figure 1Figure 1

Figure 1. (A–D) Two-dimensional transesophageal echocardiography (TEE) with color Doppler demonstrates two distinct atrial septal defects with left-to-right shunting (A). TEE confirms successful closure of both defects following implantation of dual Amplatzer septal occluder devices (C). Fluoroscopic imaging during the procedure shows the positioning of both occluder devices (D).

PROCEDURE

An 8F sheath was inserted retrograde via the right femoral vein. A 6F JR4 catheter was advanced through the right heart to measure right and left atrial pressures (10 mmHg and 18 mmHg, respectively). A multipurpose catheter was then advanced across the interatrial septum into the left atrium, and an exchange-length Amplatzer extra-stiff wire was positioned in the left superior pulmonary vein.

For defect sizing, a 24 mm Amplatzer sizing balloon was inflated across the interatrial septum. This revealed a primary defect measuring 21 mm. Additionally, a separate 8 mm ostium secundum ASD was identified. A 24 mm Amplatzer ASO was delivered via a 10F Torquevue sheath and deployed under TEE and fluoroscopic guidance. The second defect was crossed using a 6F multipurpose catheter, and a 30 mm cribriform ASO was deployed using the same technique, overlapping with the first device. Final imaging confirmed complete closure of both defects with no residual shunting.

DISCUSSION

Transcatheter closure of ostium secundum ASDs is a safe and effective alternative to surgical repair.4 However, morphologically complex defects—particularly fenestrated ASDs—pose unique challenges. These cases often involve multiple or large defects that cannot be fully addressed with a single occluder.2 As a result, successful closure may require the use of multiple devices. While single-device closure is well established for standard defects, data on dual-device strategies in fenestrated or extensive ASDs remain limited.5 Our case contributes to this evolving field by demonstrating successful multi-device closure of a large, fenestrated ASD, guided by intra-procedural imaging and individualized planning.

Accurate characterization of fenestrated ASDs is essential for procedural success, yet their complex morphology often evades detection by conventional TTE. In contrast, advanced imaging modalities such as TEE and fluoroscopy are pivotal in delineating defect morphology, spatial orientation, and inter-defect distances.6 In our case, intra-procedural TEE revealed two distinct defects, necessitating individualized device selection. Butera et al. reported that in 36 patients undergoing multi-device closure, advanced imaging facilitated safe deployment, with small residual shunts decreasing from 22% at three months to 12% at one year.6 Similarly, Awad et al. demonstrated 100% complete closure at six months in 33 patients using multiple Amplatzer devices.7 Cao et al. reported a 97.7% immediate closure rate in 22 patients using two Amplatzer devices guided by two- and three-dimensional TEE.8 Collectively, these findings reinforce that multi-device closure is not only feasible and safe but also dependent on meticulous imaging, proper sizing (typically 1–2 mm over the balloon-stretched diameter), and thoughtful procedural planning.

The cribriform Amplatzer ASO device provides distinct advantages in the closure of fenestrated ASDs, particularly when associated with atrial septal aneurysms. Its design—featuring large, equal-sized discs and a minimal connecting waist—enables adequate coverage of multiple adjacent defects. In a prospective series, Numan et al. reported 92% complete closure at six months and no significant complications.1 Their sizing approach, which selected devices approximately 5.5 mm larger than the steady rim or 1.4 times its diameter, proved effective in ensuring stability and complete defect coverage.1 In our case, an oversized cribriform device based on total septal area and defect distribution achieved complete closure with no residual shunt. Furthermore, careful device selection and deployment strategy are critical for procedural success. Sagar et al. found that single-device deployment may be sufficient for defects <7 mm apart, whereas wider separations require multiple devices.9 Song et al. emphasized the importance of individualized sizing, guided by echocardiographic assessment and balloon occlusion testing.10 Although immediate residual shunting can occur, it typically resolves over time due to endothelialization.

Concerns surrounding multi-device closure—such as increased atrial surface exposure, device interaction, altered septal mechanics, and thrombogenicity—are theoretically supported but appear clinically minimal. In a 12-year retrospective cohort, Sagar et al. reported a 28% immediate residual leak rate, most resolving within a year.9 Only one embolization occurred, attributed to under-sizing, and no late erosions or embolizations were observed during a median 5.5-year follow-up.9 More recently, a 2024 systematic review by Abdul Jabbar et al. found no significant differences between single- and multiple-device closure groups in terms of arrhythmia (4.1% vs. 5.2%), residual shunting (6.8% vs. 4.1%), or device-related complications (4.8% vs. 6.8%).5 These outcomes support multi-device closure’s safety and long-term durability in appropriately selected patients.

At the 3-month follow-up, our patient remained asymptomatic with no evidence of post-procedural complications, including arrhythmias, device embolization, residual shunting, thrombus formation, or device-related erosion. These findings reinforce the short-term safety and efficacy of dual-device closure in anatomically complex atrial septal defects. Our case further substantiates this approach, demonstrating the feasibility and effectiveness of dual-device deployment for a large, fenestrated ASD with complex anatomy.

CONCLUSION

This case highlights the feasibility and safety of dual-device transcatheter closure in managing a complex fenestrated ostium secundum ASD. Using two Amplatzer occluders underscores the importance of procedural adaptability and real-time imaging in addressing unexpected anatomical variations. Complete defect closure was confirmed on follow-up, supporting a favorable short-term outcome; however, continued surveillance is warranted to monitor for potential late complications, including arrhythmias, thromboembolism, and device-related erosion.

By contributing to the limited literature on multi-device closure strategies, this case reinforces the need for high clinical suspicion, detailed pre- and intra-procedural imaging, and individualized device selection, particularly in patients presenting with cryptogenic stroke and structurally complex septal anatomy.


REFERENCES

  1. Numan M, El Sisi A, Tofeig M, et al. Cribriform Amplatzer Device Closure of Fenestrated Atrial Septal Defects: Feasibility and Technical Aspects. Pediatr Cardiol. 200829(3):530–5. doi:10.1007/s00246-007-9079-x.
  2. Alvarez-Santana R, Escudero-Salamanca M, Garcia-Diaz JA, et al. Multi-hole Atrial Septal Defect: A diagnostic and therapeutic challenge. Clin Res Trial. 2020;6(2). doi:10.15761/CRT.1000300.
  3. Fraisse A, Latchman M, Sharma SR, et al. Atrial septal defect closure: indications and contraindications. J Thorac Dis. 2018;10(Suppl 24). doi:10.21037/jtd.2018.08.111.
  4. Akagi T. Current concept of transcatheter closure of atrial septal defect in adults. Journal of Cardiology. 2015;65(1):17–25. doi:10.1016/j.jjcc.2014.09.002.
  5. Abdul Jabbar A, Jaradat M, Hasan M, et al. Systematic review of multiple versus single device closure of Secundum atrial septal defects in adults. Cardiovascular Revascularization Medicine. 2024;58:90–7. doi:10.1016/j.carrev.2023.07.027.
  6. Butera G, Romagnoli E, Saliba Z, et al. Percutaneous closure of multiple defects of the atrial septum: Procedural results and long-term follow-up. Catheterization and Cardiovascular Interventions. 2010;76(1):121–8. doi:10.1002/ccd.22435.
  7. Awad SM, Garay FF, Cao QL, et al. Multiple Amplatzer septal occluder devices for multiple atrial communications: immediate and long-term follow-up results. Catheter Cardiovasc Inter. 2007;70(2):265–73. doi:10.1002/ccd.21145.
  8. Cao Q. Transcatheter closure of multiple atrial septal defects. Initial results and value of two- and three-dimensional transesophageal echocardiography. European Heart J. 2000;21(11):941–7. doi:10.1053/euhj.1999.1909.
  9. Sagar P, Sivakumar K, Chandrasekaran R, et al. Transcatheter closure of multiple secundum atrial septal defects using multiple occluder devices: A comparative experience between pediatric and adult patients. Ann Pediatr Cardiol. 2022;15(2):128–37. doi:10.4103/apc.apc_269_20.
  10. Song ZY, He GX, Shu MQ, et al. Clinical Efficiency and Safety Analysis of Transcatheter Closure of Multiple Atrial Septal Defects in Adults. Clinical Cardiolog. 2009;32(3):130–4. doi:10.1002/clc.20450.


Article citation: Talebi-Talghian T, Yarlagadda S, Cevik C. Dual-device transcatheter closure of a complex fenestrated atrial septal defect. The Southwest Journal of Medicine. 2026;14(58):77–81
From: University of Tennessee Health Science Center, Memphis, Tn (TTT) Department of Cardiology, Memorial Hospital Central, Colorado Springs, CO (SY, CC)
Conflicts of interest: none
This work is licensed under a Creative Commons Attribution-ShareAlike 4.0 International License.