Massive non-bacterial vegetation of aortic valve visualized by transesophageal echocardiogram in Libman-Sacks endocarditis

Christian Bell BS, Amanda Bell MD, Zhaunn Sly MD

Corresponding author: Christian Bell
Contact Information: Christian.Bell@ttuhsc.edu
DOI: 10.12746/swjm.v14i59.1621

CASE

A 54-year-old male with a history of systemic lupus erythematous (SLE) and antiphospholipid syndrome (APS) on apixaban presented to the ED with symptoms and preliminary workup consistent with an ongoing non-ST-elevation myocardial infarction (NSTEMI). Prior to planned left heart catheterization (LHC), transthoracic echocardiogram identified a large thrombus/vegetation on his aortic valve. In light of this finding, the LHC was aborted to prevent catheter embolization of the lesion (engagement of the coronary arteries requires close catheter articulation with the aortic valve leaflets), and transesophageal echocardiogram (TEE) was subsequently performed to better visualize/characterize the mass. By TEE imaging, it measured up to 2.7 cm, nearly the diameter of the left ventricular outflow tract (LVOT) itself (Figure 1). The turbulent forward flow caused by functional LVOT stenosis (due to partial obstruction resulting from the large size of the mass relative to the outflow tract) was also appreciated (Figure 2), with mild to moderate aortic regurgitation also seen. After negative blood cultures suggested sterility of the lesion, this patient underwent surgical resection of the mass and replacement of his aortic valve with a tissue valve. Lack of growth on bacterial and fungal tissue culture from samples of the valvular vegetation obtained during surgery, in addition to his clinical history, provided support for the diagnosis of Libman-Sacks endocarditis. He had an uneventful postoperative inpatient recovery course before eventual discharge to home on warfarin.

Figure 1

Figure 1 TEE of the massive (2.7-cm) Libman-Sacks AV vegetation, with its relation to the size of the LVOT appreciated in cross-sectional short-axis view of the outflow tract just below the level of the AV.

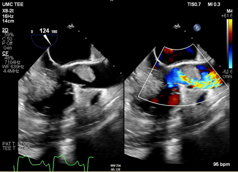
Figure 2

Figure 2 Long-axis TEE view with addition of color Doppler allows appreciation of the turbulent flow around the AV vegetation.

TEE, transesophageal echocardiogram. AV, aortic valve. LVOT, left ventricular outflow tract.

DISCUSSION

The valvular lesion in this patient reflected Libman-Sacks endocarditis (non-bacterial thrombotic endocarditis, NBTE), which is characterized by sterile vegetations, usually found on the left-sided valves. Although the etiologic pathophysiology is not fully understood, this condition is strongly associated with SLE and APS, and likely involves initial weakening of the valve by immune-complex deposits with subsequent accumulation of fibrin and platelets as the vegetation grows.1,2 These lesions are typically small (<1 cm), though they can occasionally be much larger like the case presented here.2 Because of its large size, this patient’s vegetation was successfully identified on TTE initially, which importantly changed the course of management for the NSTEMI with which he presented – his acute coronary syndrome itself was ultimately thought to be a result of embolism from the mass to the patient’s coronary arteries, which is not an altogether uncommon presentation of NBTE (up to 50% of patients will present due to symptoms of embolic phenomena3,4). However, literature suggests that by and large, TTE is overall inferior to TEE for NBTE detection, with a reported sensitivity as low as 6% in some cases.2,5 Thus, in patients with a history of SLE or APS presenting with cardiac symptoms, the possibility of Libman-Sacks vegetations should be carefully considered when deciding next steps in care.

Keywords: Lupus Erythematosus, Systemic, Antiphospholipid Syndrome, Endocarditis, Non-Infective, Aortic Valve, Echocardiography, Transesophageal, Heart Valve Diseases


REFERENCES

  1. Lee JL, Naguwa SM, Cheema GS, et al. Revisiting Libman-Sacks endocarditis: a historical review and update. Clin Rev Allergy Immunol. 2009;36:126–30.
  2. Ibrahim AM, Siddique MS. Libman-Sacks endocarditis. In: StatPearls [Internet]. Treasure Island (FL): StatPearls Publishing; 2023.
  3. el-Shami K, Griffiths E, Streiff M. Nonbacterial thrombotic endocarditis in cancer patients: pathogenesis, diagnosis, and treatment. Oncologist. 2007;12:518–23.
  4. Mazokopakis EE, Syros PK, Starakis IK. Nonbacterial thrombotic endocarditis (marantic endocarditis) in cancer patients. Cardiovasc Hematol Disord Drug Targets. 2010;10:84–92.
  5. Roldan CA, Qualls CR, Sopko KS, et al. Transthoracic versus transesophageal echocardiography for detection of Libman-Sacks endocarditis: a randomized controlled study. J Rheumatol. 2008;35:224–9.


Article citation: Bell C, Bell A, Sly Z. Massive non-bacterial vegetation of aortic valve visualized by transesophageal echocardiogram in Libman-Sacks endocarditis. The Southwest Journal of Medicine. 2026;14(59):67–68
From: Department of Internal Medicine, Texas Tech University Health Sciences Center, Lubbock, Texas (CB, AB, ZS)
Conflicts of interest: none
This work is licensed under a Creative Commons Attribution-ShareAlike 4.0 International License.