Abstract

A rare case of Rhodococcus osteomyelitis

Saria Tasnim MD, Dhara Dave MD, Noor Dweik MD, Sinan Yaqoob MD, Naguib Tarek MD

Corresponding author: Saria Tasmin
Contact Information: Saria.Tasmin@ttuhsc.edu
DOI: 10.12746/swrccc.v11i46.1059

ABSTRACT

Rhodococcus is a rare zoonotic infection that can cause cavitary pneumonia in immuno­compromised humans. There have been very few reported cases of Rhodococcus osteomyelitis. Our patient is a 27-year-old man with human immunodeficiency virus infection who was diagnosed with Rhodococcus osteomyelitis and bacteremia. He initially presented with right hip pain and was diagnosed with osteomyelitis and abscess based on a computed tomography scan. An interventional radiology guided drainage of the abscess was done and the culture yielded R. equi. He failed antibiotic treatment multiple times and later was managed with surgical intervention. Although this clinical presentation is uncommon, physicians should consider Rhodococcus equi as a potential pathogen, especially in immunocompromised patients, when making management decisions.

Keywords: Rhodococcus equi, osteomyelitis, HIV

INTRODUCTION

Rhodococcus equi, previously known as Cory­nebacterium equi, is a facultative, intracellular, nonmotile, non-spore-forming, Gram-positive, aerobic coccobacillus. It causes zoonotic infection mainly in horses and foals, which are important reservoirs of the bacteria. Exposure to domesticated animals and exposure to soil contaminated with herbivore manure may result in human infection. It infects mainly immunocompromised humans, including HIV-infected patients, transplant recipients, patients with malignancies, and patients on immunosuppressive treatment. The most common presentation is cavitary pneumonia, and there has been only a few case reports of osteomyelitis in an adult due to R. equi. Here we present a 27-year-old man with human immunodeficiency virus (HIV) infection, who was diagnosed with Rhodococcus bacteremia and osteomyelitis.

CASE

A 27-year-old man with history of HIV and hepatitis B infection initially presented with right hip pain and was diagnosed with osteomyelitis of the right femur with a right thigh abscess. He had interventional radiology guided drainage of the abscess, and cultures showed light growth of diphtheroid. Workup for tuberculosis and fungal infections was negative. The CD4 count on this admission was 60/mcL. He was discharged home on six weeks of oral amoxicillin and clavulanate and advised to follow up with the Infectious Disease clinic to re-initiate antiretroviral therapy. The patient completed his course of antibiotics; however, he did not have any follow up.

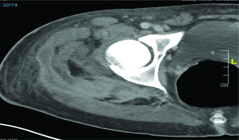
The patient returned to the emergency department about 4 weeks after completion of antibiotics with the same complaint of right hip pain and limited motion. Upon initial evaluation, he was hemodynamically stable but had features of sepsis. He was adequately resuscitated with fluid and started on broad spectrum antibiotics. A computed tomography (CT) scan of the hip on this admission showed an extensive osseous erosive lesion involving the right proximal femoral metaphysis. In addition, an extensive intramuscular organized enhancing fluid collection was present tracking along the fascial plane between the gluteus medius and gluteus maximus inferiorly into the lateral and posterior and medial deep compartments of the thigh. These results suggested osteomyelitis and abscess of the right hip.


Figure 1

Figure 1. Computed tomography scan of the hip of the patient showing features of osteomyelitis and abscess.


Antibiotics were held for about 24 hours prior to interventional radiology guided drainage of the fluid collection in order to increase the yield of cultures. The cultures initially showed growth of gram-positive cocci and Gram-positive rods, but it took almost 2 weeks to get confirmatory results showing growth of R. equi on both blood and fluid aspiration cultures. The patient remained on broad spectrum antibiotics until the culture results became available and was then started on azithromycin. The CD4 count during this admission was 5/mcL, and he was started on antiretroviral therapy and trimethoprim–sulfamethoxazole for prophylaxis prior to discharge.

However, the patient returned to the hospital again after 2 months with worsening pain and swelling of the hip extending to the thigh. A CT of the femur showed progression of the lytic lesions involving the proximal femur consistent with extensive osteomyelitis. He was treated with IV azithromycin, vancomycin, and rifampin. The CD4 count was 98/mcl on this admission, and antiretroviral therapy was resumed. Orthopedic surgery was consulted. Incision and drainage of the right posterior thigh abscess was performed with placement of an antibiotic spacer, and negative pressure wound therapy was applied. The decision was made to continue IV vancomycin for 4 weeks with oral trimethoprim-sulfamethoxazole and azithromycin for 6 to 8 months on discharge. The antibiotic spacer was removed, and a cephalo-medullary nail was placed after a month. He was then able to ambulate independently with assisted devices and was discharged home with home physical therapy.

DISCUSSION

R. equi was first reported in a 29-year-old man with autoimmune hepatitis receiving immunosuppressant medications.1 It is an important opportunistic pathogen in immunocompromised patients and is associated with profound impairment of cell-mediated immunity. Our patient was HIV positive, was not on medication, and had very low CD4 counts.

The primary hosts of R. equi are swine and foals, and exposure to soil contaminated with herbivore manure is likely the major route of acquisition for both animal and human infection.2 It is unclear what the source of infection might have been in our patient as he denied any contact with farm animals and did not have any trauma or infection that might have caused inoculation.

The clinical manifestations of R. equi infection are diverse; 80% of patients have some pulmonary involvement.3 Patients with HIV infection are more likely to have bacteremia, extrapulmonary infection, and simultaneous other opportunistic infections compared to patients without HIV infection. Bone and joint infections are relatively rare, and during our literature review we came across only a few cases of acute osteomyelitis caused by R. equi on immunosuppressed patients. Diagnosis is typically made by culturing the organism from a clinical specimen.4 The organism is easy to grow, but it can easily be dismissed as a contaminant in blood culture given its appearance as a diphtheroid, as in our patient.

For immunocompromised hosts, a combination therapy with at least two drugs is preferred due to concerns for emerging resistance. Typically, therapy is initiated with a macrolide or fluoroquinolone in combination with rifampin, or in combination with two of the following: vancomycin, imipenem, linezolid, or an aminoglycoside.5 After susceptibility data are available, two active agents should be continued for at least two months. Surgical evaluation for on-time resection for patients who do not respond adequately to antibiotic therapy is very important, in addition to efficient immune reconstitution with the adequate use of antiretroviral therapy. Our patient failed to improve with appropriate antibiotic regimen and required surgical intervention. Secondary prophylaxis is recommended for those with persistent immunocompromise despite full clinical remission of the R. equi infection.

CONCLUSION

Immunosuppressed individuals including HIV patients are prone to develop unusual opportunistic infections, including rare ones with Rhodococcus equi. Clinicians should consider this possibility when evaluating immunocompromised patients regardless of the primary site of infection.


REFERENCES

  1. Golub B, Falk G, Spink WW. Lung abscess due to Corynebacterium equi. Report of first human infection. Ann Intern Med. 1967;66:1174.
  2. Prescott JF. Rhodococcus equi: an animal and human pathogen. Clin Microbiol Rev. 1991;4:20.
  3. Lasky JA, Pulkingham N, Powers MA, et al. Rhodococcus equi causing human pulmonary infection: review of 29 cases. South Med J. 1991;84:1217.
  4. Drancourt M, Bonnet E, Gallais H, et al. Rhodococcus equi infection in patients with AIDS. J Infect. 1992;24:123.
  5. Yamshchikov AV, Schuetz A, Lyon GM. Rhodococcus equi infection. Lancet Infect Dis. 2010;10:350.


Article citation: Tasnim S, Dave D, Dweik N, Yaqoob S, Tarek N. A rare case of Rhodococcus osteomyelitis. The Southwest Respiratory and Critical Care Chronicles 2023;11(46):53–55
From: Department of Internal Medicine, Texas Tech University Health Sciences Center, Amarillo, Texas
Submitted: 6/9/2022
Accepted: 12/12/2022
Conflicts of interest: none
This work is licensed under a Creative Commons
Attribution-ShareAlike 4.0 International License.