Abstract

Relapsing polychondritis presenting as otitis externa

Benjamin Lee BS, Christopher J Peterson MD, MS, Joshua Peterson MD, Mark D. Lacy MD

Corresponding author: Christopher J Peterson
Contact Information: Cjpeterson1@carilionclinic.org
DOI: 10.12746/swrccc.v11i46.1087

ABSTRACT

Relapsing polychondritis remains a challenging diagnosis with cartilage inflammation being the hallmark of this disease. Typical presentations include inflammation of auricular cartilage and joints, although multiple sites can be affected. Symptoms often overlap with other diseases, and the diagnosis is often delayed. Neurologic symptoms are rare and are attributed to CNS vasculitis. Here we report a rare case of relapsing polychondritis with neurological symptoms. This case illustrates both the challenges of diagnosis and the need to consider relapsing polychondritis in cases of cartilaginous inflammation.

Keywords: Relapsing polychondritis; neurologic; central nervous system

INTRODUCTION

Relapsing polychondritis (RP) is an autoimmune condition that affects cartilaginous structures, often in the ears, nose, synovium, and trachea. Relapsing polychondritis primarily occurs in adults in their 4th and 5th decades.1 Its presentation and course of disease vary greatly among patients, making the diagnosis difficult with patients requiring 2–21 years (mean of 3.5 years) for final diagnosis.2 This case encourages clinicians to include RP in their differential diagnosis when encountering ear pain of unknown etiology, especially after an extensive workup has been performed without a definitive diagnosis.

CASE PRESENTATION

A 58-year-old woman with a past medical history of hypertension, obesity, post-traumatic stress syndrome (PTSD), and depression presented to the emergency department (ED) as an outside transfer for a cerebral vascular accident. A computed tomography (CT) scan performed at that time indicated the possibility of bilateral subacute basal ganglia infarcts. The patient was also complaining of left ear pain and drainage as well as right lower extremity numbness and weakness. She had recently presented to a different local ED a few days prior for ear pain, diagnosed with ear cellulitis, and prescribed ciprofloxacin/dexamethasone ear drops, although she did not take the medication as she could not afford it.

On admission to our facility, the patient reported a 1–2-month history of left-sided ear pain and discharge, a 3-month history of right-sided weakness progressing from right foot numbness to right lower extremity weakness and pain affecting mobility, 3 weeks of left lower extremity weakness, and intermittent right-sided facial droop. She also reported episodes of dizziness, vertigo, and abnormal balance for 2 months and daily headaches for 3–4 months. Neurological examination revealed intact reflexes bilaterally, 3/5 strength in the right lower extremity, 4/5 strength in the left lower extremity, and decreased sensation to the right face with intact facial movements bilaterally. Magnetic resonance imaging (MRI) head without contrast on hospital day (HD) 0 was consistent with ischemic encephalopathy with cytotoxic edema in the lentiform nucleus, thalamus, cerebral peduncles, pons, and medulla bilaterally. An MRI of the cervical spine with and without contrast showed enlargement of the brainstem, cervical cord, and upper thoracic cord, and an MRI of the head with contrast showed leptomeningeal and perivascular enhancement, both concerning for infection or inflammatory process, with the neurology consultant commenting that these findings were atypical for a stroke.

Her ear examination was consistent with severe otitis externa with purulent discharge, and the patient was given a presumptive diagnosis of malignant otitis externa (Figure 1). Otolaryngology consultants recommended ciprofloxacin/dexamethasone ear drops and placement of an ear wick, and the patient was started on meropenem (1g q8). Given concern for infectious or autoimmune processes, a lumbar puncture on HD 1 showed pleocytosis (153/mm3 with 72% lymphocytes) and elevated protein (608 mg/dL). Infectious disease (ID) was consulted on HD 4 and added acyclovir (550 mg q8) and fluconazole (800 mg q24) for empiric coverage. The patient also received a short 3-day course of trimethoprim-sulfamethoxazole.


Figure 1

Figure 1. Left ear inflammation on HD 8.


Rheumatological, bacterial meningitis antigen panel, and additional work-up for infection were all negative (Table 1). At this point (HD 5), the patient reported a 40-pound unintentional weight loss during the past year introducing the possibility of malignancy. Subsequent cerebral spinal fluid (CSF) cytology and whole body tagged WBC scan were negative; CSF flow cytometry was significant for lymphocytes and eosinophils with no malignant cells. On HD 6, the patient began experiencing hallucinations reportedly consistent with PTSD diagnosis. Repeat lumbar puncture on HD 11 showed worsening pleocytosis (WBC 219 cell/mm3) with 16% eosinophils, and elevated protein (499 mg/dL), consistent with eosinophilic meningitis. On HD 11, serum IgE elevated (424.90 IU/ml). All Gram stains and cultures remained negative. Neurosurgery was consulted for meningeal biopsy, which was delayed due to the patient’s being on aspirin. Corticosteroids continued to be held for concern of obscuring biopsy results. Repeat imaging was obtained on HD 14, with a CT of the head with and without contrast showing diffuse hypoattenuation in the periventricular and deep matter, indicating a possible infectious process, and an MRI of the cervical, thoracic, and lumbar spine showed diffuse abnormal enhancement within the spinal cord and punctate foci within the dorsal paraspinal muscle in the lumbar region. Given these findings, a paraspinal muscle biopsy was performed on HD 16. At this point, the patient had also experienced several episodes of mild to moderate confusion.


Table 1. Infectious and Rheumatological Diagnostic Assays Potentially Relevant in These Patients

Infectious Rheumatological
Bacterial meningitis panel* Rheumatoid factor
Hepatitis A/B/C Anti-nuclear antibody
Enterovirus Anti-ds DNA antibody
HSV 1/2 Anti-Nuclear antibody
Toxoplasmosis SS-A/SS-B antibody
B. Burgdorferi Antiproteinase-3 antibody
West Nile Antimyeloperoxidase antibody
Mycobacterium tuberculosis Aquaporin 4
Coccidoides
Histoplasma
Toxocara
HIV
Brucella
Cysticercus
Syphilis

*Haemophilus influenza B, Neisseria meningitides A/B/C/Y, E. coli, Streptococcus pneumonia, streptococcus Group B.


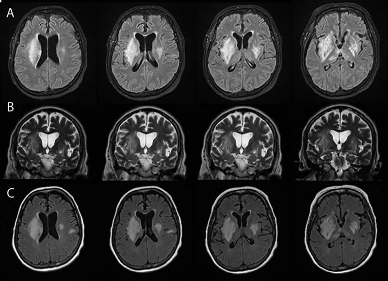
An ear biopsy was performed by dermatology on HD 15 after two previous refusals by the patient. Results showed spongiotic dermatitis with lymphocytes and plasma cells suggestive of relapsing polychondritis (HD 21). Paraspinal muscle biopsy also showed a focus of plasma cells in the connective tissue surrounding a vessel and suggested vasculitis. High-dose methylprednisolone (1g q24) were immediately started and the patient showed initial clinical improvement. However, the patient began declining on HD 23 with a worsening neurological examination, including new onset left upper extremity weakness. Paraspinal biopsy was suggestive of vasculitis. A repeat MRI showed new lesions in the right pons and midbrain (Figure 2). The patient continued to decline and became unresponsive to verbal stimuli. The patient also developed a fever of 103.2° F on HD 25. Given the patient’s declining condition and lack of additional treatment options, the patient’s family decided on comfort care, and the patient died on HD 26.


Figure 2

Figure 2. (A) and (B) Final MRI sequence (HD 23) and (C) Initial MRI (HD 2) of head.


DISCUSSION

PATHOGENESIS

The etiology of relapsing polychondritis, while almost certainly autoimmune, is poorly understood. It is thought that circulating antibodies against collagen II, IX, and XI are involved in the pathogenesis of RP, possibly with anti-CII, matrillin-1, and COMP antibodies.3 Several HLA alleles have been associated with RP, including HLA-DR4, which supports an autoimmune process.4 Cellular immunity may also have a role, with T cells demonstrating reactivity towards collagen.1 Reports of specific inciting events are rare; possible events include trauma to cartilaginous tissue exposing tissue antigens to the immune system, mimicry from bacterial infections, and exposures to toxins or glucosamine chondroitin, which contains components found in cartilage.5,6 Destruction of ear cartilage with infiltrating lymphocytes and antibody-complement deposits has been observed with immunofluorescence.5 A study of serum from 22 RP patients noted an increase in 3 serum cytokines (MCP-1, MIP-1β, and iL-8), which are associated with leukocyte activation, specifically monocytes, macrophages, and neutrophils.7

DIAGNOSIS

The diagnosis of RP can be challenging due to its rarity (estimated as low as a few cases per million)4,8 and a constellation of symptoms that are often attributable to other diseases. In fact, approximately 30% of patients with RP have an additional autoimmune disorder, which can both obscure the diagnosis of RP and require additional investigation to identify both autoimmune diseases.8 Dubey et al. identified 13 cases that were initially described as “difficult asthma” before being diagnosed with RP.9 Unfortunately, there are also no definitive tests for RP.4 Rheumatological markers, such as antinuclear antibodies, are present in a minority of patients.10,11 Diagnostic criteria for RP are therefore primarily clinical; histology is often confirmatory. Nevertheless, even this has limitations, as only about two-thirds of such biopsies may be diagnostic.8 Diagnostic imaging may also be useful.18 F-fluorodeoxyglucose positron emission tomography (18F-FDG-PET/CT) has been effective at identifying sites of inflammation12 and may be especially useful in patients without typical clinical signs, such as auricular inflammation.13

Classification criteria include the Damiani and Levine,14 McAdams,15 and Mitchet16 criteria. Although similar, the Damiani criteria may have the greatest sensitivity (Table 2).17 This patient meets Michet’s criteria with auricular inflammation and a non-specific history of balance issues. However, Lekpa and Chevalier note several limitations with these criteria, including development based on single-center cohorts with a low number of patients (as low as 10 for the Levine criteria) and lack of validation.4 Various subgroups of RP have also been proposed. Ferrada et al. propose three criteria grouped by tissue involvement-ear chondritis and nose/airway cartilage damage (Type 1), lower airway predominant (Type 2), and absence of obvious cartilage damage (Type 3).18 Dion et al. identified three clusters-hematologic, respiratory, and mild.19 However, the usefulness of this categorization may be limited in a disease that is already challenging to define and diagnose.


Table 2. Diagnostic Criteria for Relapsing Polychondritis20

McAdams Criteria Damiani Criteria Michet Criteria
3 of 6 of the following:
  • Recurrent chondritis of both auricles
  • Chondritis of respiratory tract
  • Cochlear and/or vestibular damage
  • Chondritis of nasal cartilages
  • Inflammation of ocular structures
  • Nonerosive inflammatory arthritis
3 of 6 McAdams’s criteria
OR
2 of 6 McAdams’s criteria + response to corticosteroids or dapsone
OR
1 of 6 McAdams’s criteria + histologic features
Inflammation in 2 of 3 following:
  • Auricular
  • Nasal
  • Laryngotracheal

OR
1 of the above AND 2 of the following:
  • Ocular inflammation
  • Hearing loss
  • Vestibular disfunction
  • Seronegative

inflammatory arthritis


Histopathological results, lack of response to antibiotics, and the positive response to corticosteroids also support this diagnosis. Unilateral ear involvement led to early suspicion of cellulitis. However, in infectious chondritis, the ear lobe is usually involved,21 whereas it was not involved in this case. Furthermore, other cases of unilateral ear involvement in RP have been reported.8,22 Nevertheless, auricular pathology is important as up to 90% of cases have auricular pathology during the disease course, though only 20% present with this.23 Other common areas of chondritis during the disease course include the nose (65%), larynx and tracheobronchial tree (50%), joints (80%), ocular (60%), skin (40%), and cardiovascular (30%), though these rates are often much lower at presentation.23

Delays in diagnosis are not uncommon. The mean time to diagnosis ranges from 1.2 to 3.2 years,2,24,25 but individual diagnoses have taken as long as 20 years.26 A study of 106 RP patients from 1990–2012 observed that throat/respiratory and ocular symptoms were the most common symptom present at least two years prior to diagnosis.27 A survey of 304 RP patients observed that 64% had symptoms of RP more than 5 years before diagnosis. Common misdiagnoses included asthma and ear infection. Absence of ear, nose, or joint involvement, and fibromyalgia were significantly associated with a diagnostic delay >1 year from symptom onset.28 Unsurprisingly, one study noted that rheumatologists were most frequently responsible for making the final diagnosis of RP.29

MANAGEMENT

Treatment of RP typically involves dapsone and glucocorticoids as a first line.30 Most cases require low-dose corticosteroids, but more serious cases may require IV corticosteroids. Proposed second-line treatments include cyclophosphamide, azathioprine, or methotrexate, alone or in conjunction with corticosteroids and dapsone, with weak evidence to support the use of immunomodulators, such as TNF-alpha inhibitors.30 Infliximab is one of the more studied biological drugs for RP management, although data come from case series and reports. Lepka, Kraus, and Chevalier noted that only 18 of 31 patients treated with infliximab responded.31 Kingdon et al. noted a higher rate of response (15/17) among patients with pulmonary involvement.32 However, surgical interventions have been needed for cases of airway compromise due to tracheobronchial and laryngeal chondritis.33 Continuous positive airway pressure has also been used successfully, albeit in a single case, to treat an RP patient with tracheobronchitis.34 A 1991 analysis of 62 cases of RP with severe airway complications found that 18 (29%) had tracheostomies.35 However, a 2019 study noted a decrease in RP patients with airway involvement, possibly due to the use of infliximab.36 Patients typically respond well to the medication with some patients continuing on low-dose corticosteroids in cases of organ damage.3 The disease course is often relapsing and remitting, with 10-year survival estimated at 91%.3 In 2012, the Relapsing Polychondritis Disease Activity Index (RPDAI) was developed by collaboration of 27 RP experts and is a weighted score composed of 27 clinical signs and laboratory values and can be used to monitor treatment progress.37

PROGNOSIS

Survival rates have significantly increased over the past few decades. A 2016 study of 142 patients found 5- and 10-year survival of 95% and 91%, respectively.19 A 1998 study of 30 patients observed a 94% survival rate.2 A 2016 study of 256 Hungarian patients noted a slightly lower 5- and 10-year survival rate of 88% (95% CI = 83.6–92.9) and 81% (95% CI = 75.0–88.3); this was comparable to the general Hungarian population.38 This compared to 74% and 55%, respectively, in 1986.16 This may due to more awareness and better availability of diagnostic imaging such as MRI and the availability of additional immunosuppressive agents, such as biologics. One study of 295 RP patients found that younger age was a risk factor for tracheostomy.39 In a small study of 35 patients, tracheal involvement, higher pre-treatment C-reactive protein levels, and initial prednisolone monotherapy were associated with recurrence.40 However, certain manifestations portend a worse prognosis. Dion et al. observed that male sex, concomitant hematological malignancy (66% of which had myelodysplastic syndrome), and cardiac involvement were associated with death.19

NEUROLOGICAL COMPLICATIONS

This patient complained of a complicated combination of neurological symptoms. A literature search shows evidence that vascular and neurologic symptoms are a less common and often overlooked symptom profile of RP, with neurologic involvement estimated to be less than 3% of cases.41 Interestingly, auricular and CNS involvement have been associated with RP syndrome. This may be due to a common autoantibody or other immune response to both tissues.42 Cranial nerve involvement, headaches, seizures, cerebellar dysfunction with ataxia, confusion, cerebral aneurysms, and aseptic meningitis have all been described.21 The etiology of these symptoms is presumed to be vasculitic,43 with common recommendations to use gadolinium contrast to identify active vasculitis on MRI.21 Histopathology of RP classically shows perichondral inflammation and invasion thought to involve an autoimmune attack on type II collagen.20 This patient’s pathology was consistent with this because vasculitic changes were seen on a paraspinal muscle biopsy. Pleocytosis with PMNs, high protein level, and occasionally high opening pressure have been noted with aseptic meningitis in some RP cases, suggesting bacterial meningitis.44,45

In this case, it is difficult to separate which symptoms were neurovascular in etiology and which were due to autoinflammatory meningoencephalitis associated with RP. The presence of hallucinations in this patient, though possibly explained by a PTSD diagnosis, along with confusion about place and time, focal neurological deficits, and daily headaches for two months prior could be explained by a meningoencephalitis etiology. Indeed, these symptoms align with those found in other reports of meningoencephalitis accompanying RP. Meningitis has been found present in at least 10 cases with symptoms, such as headache, confusion, dysarthria, and hallucination observed in these cases.46 Aseptic purulent meningitis was noted in 6 more cases,14 with clear CSF with a pleocytosis of lymphocytes on lumbar puncture as a common finding.15,47,48 Encephalitis has also been seen in the context of RP with at least 18 cases documented so far.49,50 Several other cases also document limbic encephalitis, meningitis, and characteristic atrophy of the hippocampi seen on MRI imaging.49,51–53 It has been proposed that when CNS symptoms are present that hippocampal and other white matter changes on MRI imaging have a crucial role in monitoring the disease progression.54 Studies suggest that dementia and mental changes associated with RP were reversible with treatment,55–57 as was meningitis.58

Evidence of infarcts in the basal ganglia that were found on MRI imaging, along with vasculitic changes seen on paraspinal muscle biopsy raises the question whether the neurologic changes seen in our patient were due to a vasculopathy. Stroke due to vasculitis has also been reported in cases of RP, with vasculitic changes in the medium and small vessels with segmental stenosis causing ischemic infarcts to the brain.54,59 Reports of stroke in RP are less frequent than encephalitis, and the presence of vasculitis contributing to both etiologies may make this distinction less important. However, had this patient been diagnosed and started on treatment sooner, we might have prevented her rapid decline and determined whether her neurological deficits were permanent (suggesting ischemia) or reversible (suggesting encephalitis).

CONCLUSIONS

Diagnosing RP continues to be challenging, especially given symptom overlap with other pathologies, the high incidence of concomitant autoimmune diseases, and lack of definitive serologic testing. This case illustrates how, even with a “classic” auricular chondritis, diagnosis may still be challenging and delayed. The development of neurologic signs is a rare complication, but the presence of these should not exclude RP from the differential diagnosis list. Early consultation with rheumatology in the setting of possible chondritis reduce the time to diagnosis.


REFERENCES

  1. Sharma A, Gnanapandithan K, Sharma K, et al. Relapsing polychondritis: a review. Clin Rheumatol. 2013;32(11):1575–1583.
  2. Trentham DE, Le CH. Relapsing polychondritis. Ann Intern Med. 1998;129(2):114–122.
  3. Borgia F, Giuffrida R, Guarneri F, et al. Relapsing polychondritis: an updated review. Biomedicines. 2018;6(3).
  4. Lekpa FK, Chevalier X. Refractory relapsing polychondritis: challenges and solutions. Open Access Rheumatol. 2018; 10:1–11.
  5. Arnaud L, Mathian A, Haroche J, et al. Pathogenesis of relapsing polychondritis: A 2013 update. Autoimmunity Reviews. 2014;13(2):90–95.
  6. Cañas CA, Bonilla Abadía F. Local cartilage trauma as a pathogenic factor in autoimmunity (one hypothesis based on patients with relapsing polychondritis triggered by cartilage trauma). Autoimmune Diseases. 2012; 2012:453698.
  7. Stabler T, Piette J-C, Chevalier X, et al. Serum cytokine profiles in relapsing polychondritis suggest monocyte/macrophage activation. Arthritis & Rheumatism. 2004;50(11):3663–3667.
  8. Rednic S, Damian L, Talarico R, et al. Relapsing polychondritis: state of the art on clinical practice guidelines. RMD Open. 2018;4(Suppl 1):e000788–e000788.
  9. Dubey S, Gelder C, Pink G, et al. Respiratory subtype of relapsing polychondritis frequently presents as difficult asthma: a descriptive study of respiratory involvement in relapsing polychondritis with 13 patients from a single UK centre. ERJ Open Research. 2021;7(1):00170–02020.
  10. Piette J-C, El-Rassi R, Amoura Z. Antinuclear antibodies in relapsing polychondritis. Annals of the Rheumatic Diseases. 1999;58(10):656–657.
  11. Papo T, Piette JC, Le Thi Huong D, et al. Antineutrophil cytoplasmic antibodies in polychondritis. Ann Rheum Dis. 1993;52(5):384–385.
  12. Zhou H, Su M, Li L. 18F-FDG PET/CT imaging of relapsing polychondritis: A case report. Medicine (Baltimore). 2016;95(33):e4496.
  13. Okuda S, Hirooka Y, Itami T, et al. FDG-PET/CT and auricular cartilage biopsy are useful for diagnosing with relapsing polychondritis in patients without auricular symptoms. Life. 2021;11(9):956.
  14. Damiani JM, Levine HL. Relapsing polychondritis–report of ten cases. Laryngoscope. 1979;89(6 Pt 1):929–946.
  15. McAdam LP, O’Hanlan MA, Bluestone R, et al. Relapsing polychondritis: prospective study of 23 patients and a review of the literature. Medicine (Baltimore). 1976;55(3):193–215.
  16. Michet CJ, Jr., McKenna CH, Luthra HS, et al. Relapsing polychondritis. Survival and predictive role of early disease manifestations. Ann Intern Med. 1986;104(1):74–78.
  17. Rose T, Schneider U, Bertolo M, et al. Observational study and brief analysis of diagnostic criteria in relapsing polychondritis. Rheumatol Int. 2018;38(11):2095–2101.
  18. Ferrada M, Rimland CA, Quinn K, et al. Defining clinical subgroups in relapsing polychondritis: a prospective observational cohort study. Arthritis Rheumatol. 2020;72(8):1396–1402.
  19. Dion J, Costedoat-Chalumeau N, Sène D, et al. Relapsing polychondritis can be characterized by three different clinical phenotypes: analysis of a recent series of 142 patients. Arthritis & Rheumatology. 2016;68(12):2992–3001.
  20. Longo L, Greco A, Rea A, et al. Relapsing polychondritis: A clinical update. Autoimmune Rev. 2016;15(6):539–543.
  21. Chopra R, Chaudhary N, Kay J. Relapsing polychondritis. Rheumatic Disease Clinics of North America. 2013;39(2):263–276.
  22. Arora A, Aldaghlawi F, Salloum E, et al. Relapsing polychondritis presenting as recurrent otitis externa. Br J Hosp Med (Lond). 2015;76(11):667.
  23. Puéchal X, Terrier B, Mouthon L, et al. Relapsing polychondritis. Joint Bone Spine. 2014;81(2):118–124.
  24. Lin D-F, Yang W-Q, Zhang P-P, et al. Clinical and prognostic characteristics of 158 cases of relapsing polychondritis in China and review of the literature. Rheumatology International. 2016;36(7):1003–1009.
  25. Mathew SD, Battafarano DF, Morris MJ. Relapsing polychondritis in the Department of Defense population and review of the literature. Seminars in Arthritis and Rheumatism. 2012;42(1):70–83.
  26. Dreher A, Aigner J, Fuchshuber S, et al. Relapsing polychondritis: a course over 20 years with cerebral involvement. Archives of Otolaryngology–Head & Neck Surgery. 2000;126(12):1495–1498.
  27. Hazra N, Dregan A, Charlton J, et al. Incidence and mortality of relapsing polychondritis in the UK: a population-based cohort study. Rheumatology. 2015;54(12):2181–2187.
  28. Ferrada MA, Grayson PC, Banerjee S, et al. Patient Perception of Disease-Related Symptoms and Complications in Relapsing Polychondritis. Arthritis Care Res (Hoboken). 2018;70(8):1124–1131.
  29. Zhang L, Wu T-G, He Y-J, et al. Diagnosing relapsing polychondritis remains a common challenge: experience from a Chinese retrospective cohort. Clin Rheumatol. 2020;39(7):2179–2184.
  30. Ellis RJ, Mbizvo GK, Jacob A, et al. Relapsing polychondritis complicated by cognitive dysfunction: two distinct clinical phenotypes? Int J Neurosci. 2017;127(2):124–134.
  31. Kemta Lekpa F, Kraus VB, Chevalier X. Biologics in relapsing polychondritis: a literature review. Seminars in Arthritis and Rheumatism. 2012;41(5):712–719.
  32. Kingdon J, Roscamp J, Sangle S, et al. Relapsing polychondritis: a clinical review for rheumatologists. Rheumatology. 2017;57(9):1525–1532.
  33. Chauhan K, Surmachevska N, Hanna A. Relapsing polychondritis. In: StatPearls. Treasure Island (FL): StatPearls Publishing; Copyright © 2022, StatPearls Publishing LLC.; 2022.
  34. Adliff M, Ngato D, Keshavjee S, et al. Treatment of diffuse tracheomalacia secondary to relapsing polychondritis with continuous positive airway pressure. Chest. 1997;112(6):1701–1704.
  35. Eng J, Sabanathan S. Airway complications in relapsing polychondritis. The Annals Thoracic Surgery. 1991;51(4):686–692.
  36. Shimizu J, Yamano Y, Kawahata K, et al. Nationwide cross-sectional survey of patients with relapsing polychondritis in 2019 demonstrates reduction of airway involvement compared with that in 2009. Scientific Reports. 2022;12(1):465.
  37. Arnaud L, Devilliers H, Peng SL, et al. The Relapsing Polychondritis Disease Activity Index: Development of a disease activity score for relapsing polychondritis. Autoimmunity Reviews. 2012;12(2):204–209.
  38. Horváth A, Páll N, Molnár K, et al. A nationwide study of the epidemiology of relapsing polychondritis. Clin Epidemiol. 2016; 8:211–230.
  39. Chen N, Zheng Y. Characteristics and clinical outcomes of 295 patients with relapsing polychondritis. The J Rheumatology. 2021;48(12):1876–1882.
  40. Yoshida T, Yoshifuji H, Shirakashi M, et al. Risk factors for the recurrence of relapsing polychondritis. Arthritis Research & Therapy. 2022;24(1):127.
  41. Ducci RD, Germiniani FM, Czecko LE, Paiva ES, Teive HA. Relapsing polychondritis and lymphocytic meningitis with varied neurological symptoms. Rev Bras Reumatol. 2016.
  42. Cao X, Zhu L, Li H, et al. Comparison of relapsing polychondritis patients with and without central nervous system involvement: A retrospective study of 181 patients. International J Immunopathology and Pharmacology. 2021;35:20587384211000547.
  43. Stewart SS, Ashizawa T, Dudley AW, Jr., et al. Cerebral vasculitis in relapsing polychondritis. Neurology. 1988;38(1):150–152.
  44. Shen K, Yin G, Yang C, Xie Q. Aseptic meningitis in relapsing polychondritis: a case report and literature review. Clin Rheumatol. 2018;37(1):251–255.
  45. Yaguchi H, Tsuzaka K, Niino M, et al. Aseptic meningitis with relapsing polychondritis mimicking bacterial meningitis. Intern Med. 2009;48(20):1841–1844.
  46. Choi HJ, Lee HJ. Relapsing polychondritis with encephalitis. J Clin Rheumatol. 2011;17(6):329–331.
  47. Ragnaud JM, Tahbaz A, Morlat P, et al. Recurrent aseptic purulent meningitis in a patient with relapsing polychondritis. Clin Infect Dis. 1996;22(2):374–375.
  48. Cao J, Zhang M. Pleocytosis in a patient with relapsing polychondritis accompanied by meningoencephalitis: a case report. BMC Neurol. 2018;18(1):53.
  49. Zhu Z, Tian D, Ren N, et al. Limbic encephalitis with relapsing polychondritis: persistent white matter lesions and brain atrophy. J Int Med Res. 2018;46(12):5297–5302.
  50. Nara M, Komatsuda A, Togashi M, et al. Relapsing polychondritis with encephalitis: a case report and literature review. Intern Med. 2015;54(2):231–234.
  51. Matsumoto H, Tokimura R, Fujita Y, et al. Meningoencephalitis in relapsing polychondritis: A case report. Medicine (Baltimore). 2021;100(24):e26315–e26315.
  52. Sampaio L, Silva L, Mariz E, et al. Central nervous system involvement in relapsing polychondritis. Joint Bone Spine. 2010;77(6):619–620.
  53. Berg AM, Kasznica J, Hopkins P, et al. Relapsing polychondritis and aseptic meningitis. J Rheumatol. 1996;23(3):567–569.
  54. Hsu K-C, Wu Y-R, Lyu R-K, et al. Aseptic meningitis and ischemic stroke in relapsing polychondritis. Clin Rheumatol. 2006;25(2):265–267.
  55. Swen SJ, Leonards DJ, Swen WA, et al. [Reversible cognitive decline in a patient with relapsing polychondritis]. Tijdschr Gerontol Geriatr. 2009;40(5):203–207.
  56. Hosford I, Glass J, Baker N. Relapsing polychondritis–an unusual but potentially treatable cause of cognitive impairment. N Z Med J. 2003;116(1175):U463.
  57. Ismail FS, Enzi B, Boy C, Kowoll A, et al. Relapsing polychondritis as an unusual cause of multiple cranial nerve palsies-A Case report. Muscle Nerve. 2017;56(1):E3–e4.
  58. Requena MA, Palma DA, Popescu BM. [Neurologic involvement in relapsing polychondritis]. Medicina (B Aires). 2007;67(2):156–158.
  59. Bouton R, Capon A. Stroke as initial manifestation of relapsing polychondritis. Ital J Neurol Sci. 1994;15(1):61–63.


Article citation: Lee B, Peterson CJ, Peterson J, Lacy MD. Relapsing polychondritis presenting as otitis externa. The Southwest Respiratory and Critical Care Chronicles 2023;11(46):44–52
From: School of Medicine (BL, JP), Texas Tech University Health Sciences Center, Lubbock, TX; College of Engineering (BL), Texas Tech University, Lubbock, TX; Department of Internal Medicine (CJP), Virginia Tech School of Medicine, Roanoke, VA; Department of Internal Medicine (MDL), School of Medicine, University of New Mexico, Albuquerque, NM
Submitted: 9/21/2022
Accepted: 1/3/2023
Conflicts of interest: none
This work is licensed under a Creative Commons
Attribution-ShareAlike 4.0 International License.