Abstract

Milky fluid from where? you are about to find out…

Cesar Peralta MD, Jose Ramos MD

Corresponding author: Jose Ramos
Contact Information: Jose.Ramos@ttuhsc.edu
DOI: 10.12746/swrccc.v11i47.1155

ABSTRACT

Traumatic chylothorax most commonly occurs after thoracic surgeries with a few cases reported in patients after abdominal surgery. Effusions usually are caused by a pleural reaction during the postoperative period. However, this can also occur from disruption of the thoracic duct during the surgical procedure. The initial approach is conservative with supportive measures, including drainage by ultrasound-guided thoracentesis and diet modification, and surgery is rarely needed. Having a medical history preceding abdominal surgery is always important to consider the possibility of a pancreatic pleural fistula, which can be excluded by an abdominal computed tomography. Lymphangiography is considered the gold standard diagnostic tool, but its use is limited to cases unresponsive to conservative measures. In this patient, a lymphangiography or surgical intervention was not performed since the patient improved after initial management with no recurrent pleural effusion. A new pleural effusion after abdominal surgery must include chylothorax in the differential diagnosis.

Keywords: Traumatic chylothorax, hiatal hernia repair, thoracic duct, lymphangiography, abdominal computed tomography

INTRODUCTION

Chyle is the body fluid normally drained by the thoracic duct; it has a milky white appearance due to the lymph and emulsified fats in the fluid. The presence of chyle in the pleural space is associated with high morbidity and mortality; the most common cause is disruption of the thoracic duct during surgery.1 The thoracic duct, situated anterior to the second lumbar vertebra between T12 and L1, transports chyle from the intestine, the lower extremity, and retroperitoneal lymphatics to the circulation, typically into the left jugular and subclavian vein junction. The thoracic duct also collects lymph from lymphatic branches that drain regions of the pulmonary and pleural space.2 If rupture or damage of the tributaries occurs, chyle can accumulate in the surrounding tissue. It is believed that if rupture occurs below T5 to T6, the chylothorax is usually right-sided. If a rupture occurs above T5 to T6, the chylothorax is usually left-sided.

CASE

A 54-year-old woman presented with worsening dyspnea 12 days following hiatal hernia repair. Dyspnea started shortly after the surgical procedure. The surgical procedure otherwise appeared uncomplicated during post-operative evaluation. The patient denied any fever, chills, cough, phlegm, nausea, vomiting, or diarrhea. Past medical history was significant for hypothyroidism, GERD, and depression. Upon arrival at the emergency department, the patient’s vital signs showed a temperature 98.3°F, respiratory rate 20 respiration per minute, blood pressure 135/92 mmHg, oxygen saturation (SpO2) 92%, a weight 90.95 kg, and body mass index 32.22 kg/m2. Physical examination was significant for decreased breath sounds on the right side, especially at the base.

Laboratory tests revealed a white blood cell count 6.88 K/µL, hemoglobin 12.1 g/dl, sodium 141 mmol/L, potassium 3.8 mmol/L, bicarbonate 19 mmol/L, anion gap 16, serum glucose 111 mg/dL, blood urea nitrogen 9 mg/dL, creatinine 1.1 mg/dL, LDH 232 units/L, cholesterol 185 mg/dL, triglycerides 122 mg/dL, and high-sensitivity troponin 6.2 ng/L. Chest x-ray (Figure 1) showed a large right-side pleural effusion with no evidence of a pneumothorax. Computed tomography (CT) of the chest (Figure 2) was significant for a large right-sided pleural effusion. Other windows (not shown) revealed compressive atelectasis and air bronchograms; there was no evidence of ascites or retroperitoneal fluid on a CT of the abdomen.


Figure 1

Figure 1. Chest radiograph revealing a large right-sided pleural effusion.


Figure 2

Figure 2. Computed tomography of the thorax revealing a large right-sided pleural effusion and clear lung fields.


A pulmonary specialist performed an ultrasound-guided thoracentesis and removed 1.7 liters of milky fluid (Figure 3). Pleural fluid analysis revealed triglycerides of 5,136 mg/dL (Table 1). The patient was monitored for two days in the hospital with serial chest x-rays and bedside ultrasound to evaluate for fluid accumulation, and she remained asymptomatic without recurrence of the pleural effusions. The patient was discharged home with instructions to eat a high-protein, low-fat (<10 g fat/day) diet to minimize the flow of chyle through the thoracic duct, because decreasing fat intake decreases fat absorption from the gut and therefore the flow of chyle. The patient was educated about the expected progression of the problem, the schedule for monitoring, and dietary modification. Other diagnostic and therapeutic options like a lymphangiogram or pleurodesis would be considered if the conservative management failed and the chylothorax recurred.3,4


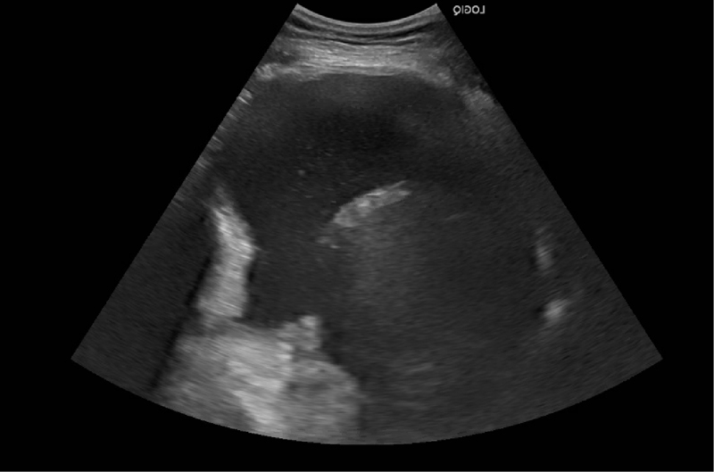
Figure 3

Figure 3. Ultrasound of the right chest revealing a large right-sided pleural effusion.


Table 1. Pleural Fluid Analysis

Pleural Fluid Analysis
Body Fluid Clarity Turbid
Body Fluid RBC Count 2105/mm3
Body Fluid WBC Count 6240/mm3
Body Fluid Neutrophils 4%
Body Fluid Lymphocytes 92%
Body Fluid Monocytes 0%
Body Fluid Eosinophils 0%
Body Fluid Basophils 0%
Body Fluid Bands 0%
Body Fluid Macrophages 4%
Body Fluid Cells Counted in Differential 100
Body Fluid Type Albumin 2.7 gm/dL
Body Fluid Type Amylase 36 U/L
Body Fluid Type Glucose Level 222 mg/dL
Body Fluid Type LD 337 U/L
Body Fluid Type Protein 5.4 gm/dL
Body Fluid Cholesterol 160 mg/dL
Body Fluid Triglycerides 5136 mg/dL


DISCUSSION

Diagnostic thoracentesis is essential to making a diagnosis of chylothorax. The diagnosis is usually obvious from the gross appearance of the pleural fluid. Lipid studies are not usually ordered for the evaluation of pleural fluid and must be specifically requested. Elevated triglyceride level can make the diagnosis if the gross appearance is not obvious.

Traumatic chylothorax most commonly occurs after thoracic surgery with few cases reported after abdominal surgery. When the abdominal portion of the thoracic duct is affected, chyle may go through the diaphragm and into the chest presenting as pleural effusion. Thoracic surgical interventions can inadvertently disrupt the thoracic duct or tear lymphatic tributaries which results in accumulation of chyle in the pleural space.1 Penetrating injury (including surgery) in proximity to the thoracic duct has the potential to disrupt the flow of chyle immediately after the injury, but may occur a few days after the traumatic event in patients whom accumulation is slower as happened in this case.

The chyle is rich in lipids and proteins; it also has lymphocytes and immunoglobulins. Continuous leakage of the chyle may worsen the patient’s postoperative condition with hypoproteinemia altering immune responses, making patients more susceptible to infections.

In patients with previous abdominal surgery, it is important to consider computed tomography of the abdomen to evaluate them for the possibility of pancreatic-pleural fistula. Lymphangiography is considered the gold standard diagnostic tool, but given its limitations and potential adverse effects, its use is limited to cases unresponsive to conservative measures. Lymphangiography was not performed in this patient due lack of diagnostic or therapeutic value for our patient plus limited availability.

Surgical intervention can be performed using thoracotomy, thoracoscopy, or video-assisted thoracotomy, but these interventions are reserved for chylothorax refractory to conservative management or when clinical deterioration occurs due to malnutrition or a metabolic disorder. Other therapeutic options include ligation of the thoracic duct, pleurodesis, and pleurectomy if pleurodesis fails.5

CONCLUSION

To the best of our knowledge, this is the first case of pleural effusion reported in the medical literature following an elective hiatal hernia repair. Evaluation of any pleural effusion following abdominal surgery should always include chylothorax in the differential diagnosis. Attention to pertinent negatives in the clinical presentation and critical thinking in reference to a recent procedure should be implemented as strategies to help avoid early anchoring and diagnostic delays. A multidisciplinary approach including surgery and pulmonary medicine can also help successfully diagnose and treat patients with chylothorax.


REFERENCES

  1. Terzi A, Furlan G, Magnanelli G, et al. Chylothorax after pleuro-pulmonary surgery: a rare but unavoidable complication. Thorac Cardiovasc Surg 1994;42(2):81–4.
  2. Weidner WA, Steiner RM. Roentgenographic demonstration of intrapulmonary and pleural lymphatics during lymphangiography. Radiology 1971;100(3):533–9. doi: 10.1148/100.3.533.
  3. Takuwa T, Yoshida J, Ono S, et al. Low-fat diet management strategy for chylothorax after pulmonary resection and lymph node dissection for primary lung cancer. J Thorac Cardiovasc Surg 2013;146(3):571–4.
  4. Griffo S, De Luca G, Stassano P. Chylothorax after abdominal surgery. Gen Thorac Cardiovasc Surg 2010;58(3):159–62.
  5. Schild HH, Strassburg CP, Welz A, et al. Treatment options in patients with chylothorax. Dtsch Arztebl Int. 2013 Nov 29;110(48):819–26.


Article citation: Peralta C, Ramos J. Milky fluid from where? you are about to find out… The Southwest Respiratory and Critical Care Chronicles 2023;11(47):38–41
From: Department of Internal Medicine, Texas Tech University Health Sciences Center, Lubbock, Texas
Submitted: 10/31/2022
Accepted: 3/26/2023
Conflicts of interest: none
This work is licensed under a Creative Commons
Attribution-ShareAlike 4.0 International License.