Abstract

Nasopharyngeal adenoid cystic carcinoma metastasis to the liver

Wooyoung Jang BS, Akshay Raghuram BA, Dauod Arif MD

Corresponding author: Wooyoung Jang
Contact Information: Wooyoung.Jang@ttuhsc.edu
DOI: 10.12746/swrccc.v11i48.1173

ABSTRACT

Adenoid cystic carcinoma (ACC) is a malignancy of the secretory epithelial cells of the salivary glands and constitutes less than 1% of all head and neck tumors. Metastasis occurs frequently and most commonly affects the lungs at a rate of 35 to 50%. In this case report, we present a rare case of nasopharyngeal ACC with distant metastasis to the liver. Our patient initially presented to the hospital with dental and sinus pain with initial imaging suggesting nasopharyngeal carcinoma invading the temporal lobe laterally and the cavernous sinus and clivus medially. The foramen ovale and the optic nerve were also involved, leading to loss of vision bilaterally. Immunohistochemical staining of the biopsy eventually led to the correct diagnosis of high-grade ACC, solid type. The patient’s hospital course was complicated, with pulmonary thrombosis eventually leading to hypoxic respiratory failure and death. Although this patient was initially diagnosed with nasopharyngeal carcinoma, thorough pathologic investigations allowed for a clearer understanding of the disease, primarily ACC’s eventual distal metastasis in the patient. In the future, providers should continue to keep ACC in their differential diagnosis list when evaluating patients with head and neck tumors, with the goal of maintaining locoregional control of the tumor.

Keywords: adenoid cystic carcinoma, liver metastasis, nasopharyngeal salivary glands, head and neck cancer

INTRODUCTION

Adenoid cystic carcinoma (ACC) is a malignancy of the secretory epithelial cells of salivary glands constituting less than 1% of all head and neck tumors and accounting for approximately 10% of all salivary neoplasms.1,2 These tumors arise in a variety of locations, with 60% originating in the minor salivary glands and 25% in the parotid gland.1 Adenoid cystic carcinoma has a slow and insidious course and is usually advanced by the time a diagnosis is made.1 As a result, overall survival rates at 5, 10, and 15 years are 71%, 54%, and 37%, respectively, with a mean overall survival of 11.2 years.3 The survival rates decrease further once the tumor has spread to distant sites, with the mean survival time at 4.7 years after the lungs, liver, or bone are involved.3 Due to this steep drop in survival rates, it is vital to maintain locoregional control of the tumor. However, studies have demonstrated that metastasis occurs frequently and independently of local treatment outcomes.3 As a consequence, there are no current optimal guidelines for ACC treatment; surgical resection and adjunctive radiation therapy are usually used.1 No survival benefit has been demonstrated with such a method.1 In conclusion, the prognosis of ACC patients depends largely on the presence/absence of distant metastasis, which most commonly affects the lung and occurs at a rate of 35 to 50%.1,3

While surgical treatment and radiation therapy have proved to increase locoregional control of adenoid cystic carcinoma, the development of distant metastasis is predicted mostly through histologic subtype and site of tumor origin.2 According to a study analyzing the clinicopathologic predictors and impact of distant metastasis from ACC, solid tumors led to more frequent development of metastasis compared to tubular or cribriform tumors.2 Furthermore, the rate of distant metastasis was increased in tumors originating from major salivary glands than from minor salivary glands. The lungs, followed by the bone, constituted the majority of distant metastasis observed in patients.2 In contrast, metastasis of ACC to the liver is rare and constitutes only 12% of all distant metastasis.4 Although cases of ACC liver metastasis have been noted in the literature, most have originated from the parotid or submandibular glands.5,6 A retrospective review found ACC with liver metastasis originating from the nasopharynx, but it did not include any clinical descriptions of the cases.7 In our case study, we describe an uncommon presentation of a patient who developed adenoid cystic carcinoma of the nasopharyngeal salivary glands that ultimately metastasized to the liver.

CASE

A 64-year-old woman with a history of systemic lupus erythematosus with anemia, fever, and joint pain presented to the clinic with sudden vision loss in the left eye. The patient had been reporting jaw pain and underwent a root canal one month before presentation to the hospital. The left sided jaw and tooth pain persisted, and her symptoms began to increase in conjunction with new onset left sinus and left eye pain. She was prescribed antibiotics by her dentist but showed no improvement in pain and was eventually admitted to University Medical Center hospital in Lubbock, TX. Physical examination showed loss of vision and non-intact extraocular motion in the left eye. She denied any drainage from the eye or sinuses, fevers, chills, nausea, vomiting, diarrhea, constipation, shortness of breath, or chest pain.

INVESTIGATION

Ophthalmology and otolaryngology services were consulted and recommended magnetic resonance imaging of the brain with contrast for further evaluation. On imaging, the patient was found to have a left nasopharyngeal mass suggestive of nasopharyngeal carcinoma with incidental finding of an ophthalmic artery aneurysm measuring 2.6 × 1.5 mm (Figure A). The mass was seen extending into the temporal lobe laterally and up to the cavernous sinus and clivus medially. The foramen ovale and the optic nerve were involved with the mass, and imaging displayed opacification in both sphenoid sinuses. On her third day of admission, the vision in her left eye was completely lost. She underwent a biopsy of the left nasopharyngeal mass on hospital day 5, with findings including a bulging left nasopharyngeal mass originating around the Rosenmuller fossa and obstructing the eustachian tube on the left. Three separate tissues measuring 2 mm × 2 mm each were obtained from various depths, and fresh tissue was sent for permanent pathology.


Figure A

Figure A. Computed tomography showing left nasopharyngeal mass involving the sphenoid sinuses (arrow).


The biopsy showed a biphasic tumor, composed of ductal and myoepithelial cells in a solid pattern with basaloid appearance, high mitotic rate and marked nuclear atypia, supporting high grade transformation (Figure B&C). The tumor was strongly and diffusely positive for immunohistochemical stains CK7 (Figure D) and CD117 (Figure E). Molecular studies were also performed, and the tumor showed t (6;9) MYB-NFIB fusion which is characteristic and diagnostic for adenoid cystic carcinoma in 60–90% of the cases. Overall, the findings were consistent with high-grade adenoid cystic carcinoma, solid type.


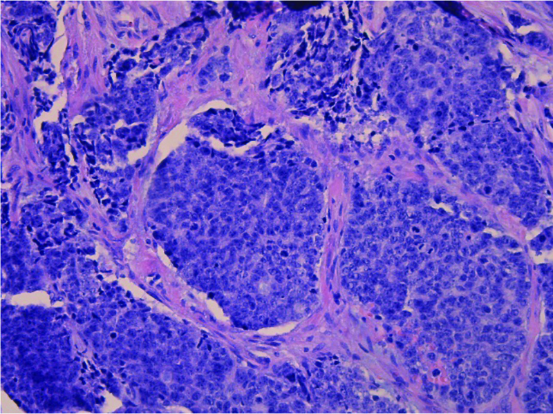
Figure B
Figure C

Figure B and C. Histologic images (Figure B, 10x and Figure C, 20x) displaying biphasic tumor in sheets and clusters, composed of ductal and myoepithelial cells in solid pattern with basaloid appearance and showing marked nuclear atypia and high mitotic rate; high grade transformation.


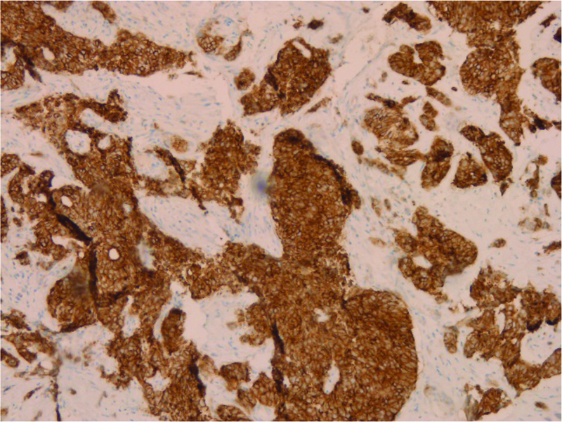
Figure D

Figure D. Positive for immunohistochemical stain CK7, highlighting the ductal component of the tumor.


Figure E

Figure E. Positive for immunohistochemical stain CD117, frequently seen in adenoid cystic carcinoma.


Two weeks later, the patient presented again to the clinic for a follow-up with worsening sinus pain and pressure, congestion, and loss of vision in the right eye. Labs showed leukocytosis with thrombocytopenia and elevated liver enzymes. Computed tomography of the chest/abdomen/pelvis noted prominent mediastinal lymph nodes, pulmonary nodules, liver lesions, thyroid nodules, and a heterogeneous uterus. On hospital day 25, a liver biopsy of the right hepatic lobe showed adenoid cystic carcinoma metastatic to the liver (Figure F).


Figure F

Figure F. Histologic image showing adenoid cystic carcinoma metastatic to the liver, Arrows show metastatic tumor deposits in sheets and clusters.


TREATMENT

The patient was started on her first treatment of radiation with no troubles. The radiation therapy continued for six days utilizing a three-dimensional conformal technique. A dose of 2000 cGy was delivered in 5 fractions of 400 cGy each using nominal energies of 6MV photons prescribed to the 100% isodose line. Custom multileaf collimator blocking was used to shield uninvolved tissue. No concurrent chemotherapy was administered, and the treatment was tolerated well, with palliation of pain but with no improvement in vision loss. On hospital day 32, the patient started chemotherapy with gemcitabine and cisplatin and was discharged from the hospital.

OUTCOME

The patient presented to the emergency department two months later due to increased weakness, dyspnea, and swelling of both hands and lower extremities. Subsequently, a CT with angiography of the chest revealed an acute pulmonary embolus within the distal right main pulmonary artery with extension to the right middle lobe and right lower lobe branches. In addition, multiple bilateral lung nodules measuring 16 mm and hepatic steatosis and hepatomegaly with multiple hypoattenuating lesions throughout the liver measuring 2 cm were noted. Furthermore, on an abdominal ultrasound, she had an enlarged and heterogeneous liver measuring 21.6 cm in length and a decompressed gallbladder, gallbladder wall thickening, and pericholecystic fluid. Her chemotherapy cycle was halted due to elevated liver enzymes. Two days later, the patient was placed on supplemental oxygen due to hypoxic respiratory failure secondary to pulmonary thrombosis. She was then transitioned to comfort care and did not consent to further treatment. Within a week, her systolic pressures dropped into the 80s, and the family opted to take her home to hospice for end-of-life care, where she died the next day.

DISCUSSION

This case study outlines the unique presentation of adenoid cystic carcinoma in a previously healthy 64-year-old woman. Although ACC only comprises 1% of all head and neck tumors, its survival rate is relatively low, with a mean survival of 11.2 years.1,3 This calls for further investigation to evaluate the prognostic and pathologic markers that allow for an efficient diagnosis of this malignancy. In this case, the patient’s symptoms of loss of vision and extraocular movements called for an MRI, which initially suggested a nasopharyngeal carcinoma with involvement of the ophthalmic artery, optic nerve, foramen ovale, and both sphenoid sinuses. However, biopsies of the tumor revealed a high-grade, solid-type ACC. Prior studies have reported liver metastasis of solid-type ACC, but no case described a clinical course similar to the one seen in this patient, with initial misdiagnosis as nasopharyngeal carcinoma.6–9 The patient initially received six days of radiation therapy, which seemed to mitigate her pain with no changes in her vision loss. Despite this improvement, her course again became complicated with unusual findings on a CT of the chest/abdomen/pelvis. A liver biopsy performed 25 days into her hospital stay revealed metastasis of ACC. The patient started chemotherapy 7 days later and was discharged from the hospital but would return 67 days later with metastasis of ACC to the lung (multiple bilateral 16 mm lung nodules) and an acute pulmonary embolus. She then developed hypoxic respiratory failure, and it was decided to place the patient on comfort care.

CONCLUSION

Adenoid cystic carcinoma is a malignancy of the secretory epithelial cells and constitutes approximately 10% of all salivary neoplasms.1,2 This case report emphasizes the importance of analyzing pathologic markers in diagnosing malignancies. Understanding the rarity of this outcome is paramount, as the unusual metastasis of ACC to the liver could cause physicians to misdiagnose the malignancy. Although this patient was initially diagnosed with nasopharyngeal carcinoma, thorough pathologic investigations provided a better understanding of the disease, primarily ACC’s eventual distal metastasis in the patient. In the future, providers should continue to keep ACC in their differential list when evaluating patients with head and neck tumors, with the goal of maintaining locoregional control of the tumor.


REFERENCES

  1. Coca-Pelaz A, Rodrigo JP, Bradley PJ, et al. Adenoid cystic carcinoma of the head and neck–An update. Oral Oncol 2015;51(7):652–661.
  2. Sung MW, Kim KH, Kim JW, et al. Clinicopathologic predictors and impact of distant metastasis from adenoid cystic carcinoma of the head and neck. Arch Otolaryngol Head Neck Surg 2003;129(11):1193–1197.
  3. Kokemueller H, Eckardt A, Brachvogel P, et al. Adenoid cystic carcinoma of the head and neck–a 20 years experience. Int J Oral Maxillofac Surg 2004;33(1):25–31.
  4. Ferrarotto R, Mitani Y, Diao L, et al. Activating NOTCH1 mutations define a distinct subgroup of patients with adenoid cystic carcinoma who have poor prognosis, propensity to bone and liver metastasis, and potential responsiveness to NOTCH inhibitors. J Clin Oncol 2017;35(3):352–360.
  5. Balducci G, Sagnotta A, Muroni M, et al. An unusual case of exclusive liver metastases from adenoid cystic carcinoma of the submandibular gland: a role for surgery? Report of a case. Surg Today 2011;41(4):596–599.
  6. Harish K, Mangala Gouri SR. Adenoid cystic carcinoma of the parotid metastasizing to liver: case report. BMC Cancer 2004;4:41.
  7. Zheng Y, He Y, Wu F, et al. Possible local treatment for liver metastases of adenoid cystic carcinoma (ACC): single-centre experience and literature review. Transl Cancer Res 2020;9(8):4573–4582.
  8. Li JY, Liu P, Lei YL, et al. Liver metastasis from adenoid cystic carcinoma of the submandibular gland: a case report. Int J Clin Exp Pathol 2020;13(3):550–555.
  9. Li XH, Zhang YT, Feng H. Liver metastasis as the initial clinical manifestation of sublingual gland adenoid cystic carcinoma: A case report. World J Clin Cases 2021;9(19):5238–5244.


Article citation: Jang W, Raghuram A, Arif D. Nasopharyngeal adenoid cystic carcinoma metastasis to the liver. The Southwest Respiratory and Critical Care Chronicles 2023;11(48):46–50
From: Texas Tech University Health Science Center School of Medicine (WJ, AR); Department of Pathology (DA), Lubbock, Texas
Submitted: 4/16/2023
Accepted: 6/30/2023
Conflicts of interest: none
This work is licensed under a Creative Commons
Attribution-ShareAlike 4.0 International License.