Abstract

Late presentation of Noonan syndrome as atrial flutter in an adult

Ola Al-Jobory MD, Anass Dweik MD, Anees Muhammed MD, Waqas Rasheed MD, Ibrahim Mohammed MD, Kelly McMaster MD, Rajeev Gulati MD

Corresponding author: Ola Al-Jobory
Contact Information: Ola.h.aljobory@gmail.com
DOI: 10.12746/swrccc.v11i48.1191

ABSTRACT

Noonan syndrome is a rare genetic disease with multisystemic manifestations, typically diagnosed in infancy and childhood. This case report presents a 53-year-old woman with no significant medical history who presented with shortness of breath and was subsequently diagnosed with Noonan syndrome. The patient exhibited characteristic facial dysmorphology, including a narrow face, low set ears, and pectus excavatum. Physical examination revealed a crescendo-decrescendo ejection murmur and bilateral lower limb edema. Atrial flutter with rapid ventricular response was detected, and further investigations revealed a large secundum atrial septal defect (ASD) and other cardiac abnormalities consistent with Noonan syndrome. The patient was transferred to a tertiary center for evaluation and management by adult congenital disease specialists. This case highlights the atypical presentation of Noonan syndrome in adulthood and emphasizes the importance of recognizing this condition in patients with cardiac anomalies, as it can impact perioperative management and necessitates genetic counseling.

Keywords: Noonan syndrome, genetic disease, multisystemic manifestations, atrial septal defect, adult presentation.

INTRODUCTION

Noonan syndrome is a rare genetic disease that is predominantly diagnosed in early infancy and childhood.1 It is characterized by distinct facial features and systemic manifestations that tend to become less pronounced with age.1 Common clinical features of Noonan syndrome include failure to thrive, pectus excavatum/carinatum, hearing loss, visual impairment, coagulation disorders, and intellectual disability. Cardiovascular involvement is a significant aspect of this syndrome, often presenting as pulmonary stenosis and hypertrophic cardiomyopathy, and occasionally as atrial septal defect (ASD), A-V septal defect, Tetralogy of Fallot, left-sided obstructive lesions, or patent ductus arteriosus.2

The prevalence of Noonan syndrome ranges from 1:1000 to 1:2500 live births.2 Atrial septal defect, which occurs in approximately 30% of individuals with Noonan syndrome3, can progress and rarely presents with arrhythmias. In this report, we describe a 53-year-old woman who presented to the hospital with shortness of breath. Subsequent evaluation revealed the presence of atrial flutter, leading to the diagnosis of Noonan syndrome.

CASE

A 53-year-old Hispanic woman, without any significant medical history, presented to the hospital with a two-week history of shortness of breath and bilateral lower limb swelling. She denied experiencing orthopnea, cough, fever, chills, chest pain, or paroxysmal nocturnal dyspnea. On physical examination, she had a short stature and a petite figure, typical of a middle-aged female, with a narrow face and low-set ears. Notably, her daughter displayed similar facial and body characteristics. The patient also presented with pectus excavatum and a crescendo-decrescendo ejection murmur in the second intercostal space at the upper left sternal border. An S4 sound was heard around the left 4th substernal space. In addition, bilateral lower limb edema was observed, graded as 2+. Vital signs revealed a heart rate of 120 beats per minute, and an atrial flutter with rapid ventricular response was identified on the rhythm assessment. The patient maintained normal oxygen saturation levels on room air; however, she exhibited tachypnea in the range of 30 breaths per minute.

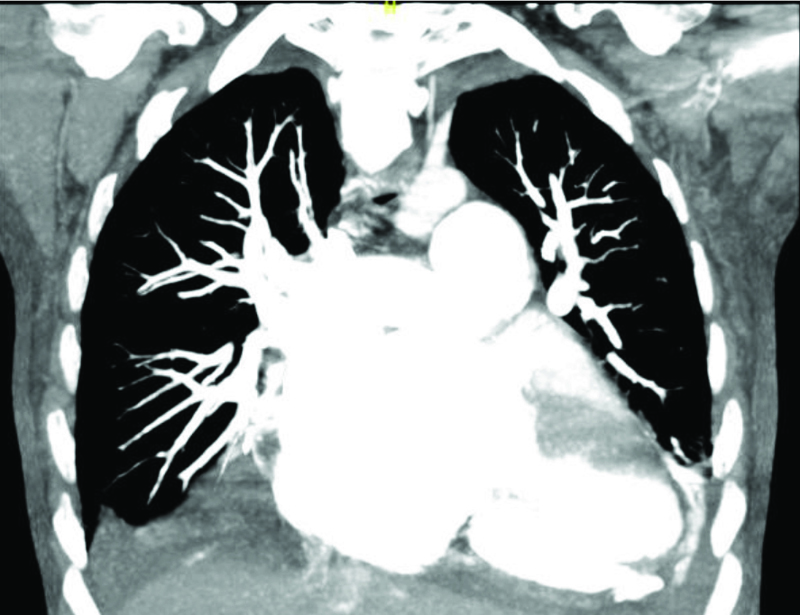
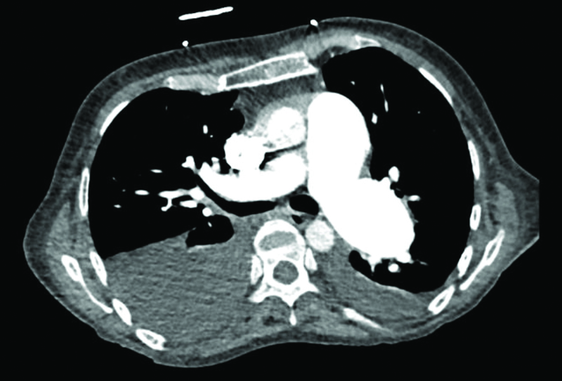
Laboratory results showed markedly elevated D-dimer levels at 10.5 mg/L (reference range: 0.19–0.50 mg/L). A chest x-ray indicated cardiomegaly with changes suggestive of pulmonary edema. Computed tomography with angiography revealed cardiomegaly with bilateral pleural effusions and diffuse dilatation of the pulmonary arteries, indicating significant pulmonary hypertension or overcirculation (Figure 1 and Figure 2). A transthoracic echocardiogram (TTE) identified a large secundum ASD with elevated right ventricular pressure measuring 70–74 mmHg. Flattening of the interventricular septum was also observed, further supporting the diagnosis of elevated right ventricular pressure. The TTE also revealed severe muscular and dynamic right ventricular outflow obstruction and pulmonary valvar stenosis. The patient was started on a diltiazem drip, and the cardiology service was consulted for transesophageal echocardiogram (TEE) guided cardioversion. The TEE confirmed the presence of a large ASD, and the bubble study indicated primarily left-to-right shunting, with a possible ventricular septal defect (VSD). Both atria appeared enlarged, but no intracardiac thrombus was detected. The patient underwent electrical cardioversion and successfully returned to sinus rhythm.


Figure 1

Figure 1. Transverse view of the thorax demonstrating markedly dilated pulmonary arteries and bilateral pleural effusion, with greater effusion observed on the right hemithorax.


Figure 2

Figure 2. Coronal view of the thorax once again showing the diffuse enlargement of the pulmonary arteries.


Consultation with cardiothoracic (CT) surgery was sought, and they recommended performing right and left heart catheterization to further assess the anatomy, evaluate pulmonary vascular resistance, rule out Eisenmenger’s syndrome, and check for coronary artery disease. Left heart catheterization revealed no evidence of coronary artery disease, and left ventricular function was normal, with a left ventricular ejection fraction (LVEF) of 65%.

Saturation testing confirmed the presence of the ASD; however, there was no step-up at the ventricular level to suggest a VSD, and a VSD was not observed on ventriculogram. The right ventricular pressure was elevated at 80/46 mmHg, with an LV pressure of 132/3 mmHg. A peak gradient of 50 mmHg and a mean gradient of 20 mmHg were measured across the right ventricular outflow tract and pulmonic valve. Pulmonary artery pressure was mildly elevated at 30/24 mmHg. Saturation testing indicated pulmonary overcirculation, but the Qp/Qs ratio was only 1.3–1.8. Pulmonary vascular resistance (PVR) was within the normal range at 157 dynes × seconds/cm5. The patient also responded positively to nitric oxide and 100% oxygen. Consequently, there was no indication of Eisenmenger’s syndrome, and repair seemed feasible. However, due to the overall complexity of the patient’s condition, CT surgery recommended transferring her to a tertiary center with adult congenital disease specialists. Accordingly, the patient was transferred as per the request of the CT surgery team.

DISCUSSION

Noonan syndrome is an autosomal dominant disease with a multisystemic presentation. It occurs secondary to a mutation in the RAS/Mitogen Activate Protein Kinase pathway (RAS/MAPK), which activates genes involved in cell growth, division, and differentiation. In addition, this pathway is associated with cell cycle regulation, wound healing, cell migration, and angiogenesis. Consequently, Noonan syndrome affects multiple systems throughout the body.4 It can occur in both genders and may also result from de novo mutations. The mutation affects several genes, including PTPN11 (more than 50% of patients with this mutation have cardiac manifestations), KRAS, NRAS, SOS1, and RAF1.5

The diagnosis of Noonan syndrome relies primarily on clinical features and genetic studies, as there is no known confirmatory test available. In 1994, Vander Burget developed a diagnostic scoring system6 that incorporates both major and minor features. To definitively diagnose a patient with Noonan syndrome, he or she must exhibit typical facial features and one feature from categories 2A–6A, or two features from categories 2B–6B. Alternatively, if suggestive facial features are present, the patient should present with two features from categories 2A–6A, or three features from categories 2B–6B, as shown below.

  1. Facial: Typical facial dysmorphology (A) or suggestive facial dysmorphology (B)
  2. Cardiac syndrome: Pulmonary valve stenosis, hypertrophic cardiac myopathy, or electrocardiographic results (A) or other cardiac defects associated with Noonan syndrome (B)
  3. Height: Less than the 3rd percentile (A) or less than the 10th percentile (B)
  4. Chest wall: Pectus carinatum/excavatum (A) or broad thorax (B)
  5. Family history: First-degree relative with definite Noonan syndrome (A) or suggestive Noonan syndrome (B)
  6. Other: Mental retardation, cryptorchidism, and lymphatic dysplasia (A) or one of mental retardation, cryptorchidism, or lymphatic dysplasia (B)

The typical facial dysmorphology in Noonan syndrome consists of a wide forehead, hypertelorism, ptosis, down-slanting palpebral fissures, micrognathia, seemingly low-set, posteriorly angulated ears with a thick helix, and a wide short neck.7 Our patient met the criteria as she had the typical facial features with pectus excavatum and short stature. Genetic testing was not performed prior to her transfer.

Our patient’s case is unusual in that she presented at an advanced age and experienced relatively acute dyspnea due to new-onset atrial flutter. Atrial septal defect is one of the more common cardiac anomalies seen in Noonan syndrome, occurring in 30% of cases, and right ventricular outflow tract obstruction and pulmonic stenosis are often observed.8 The late presentation of our patient and her relative longevity despite having a large ASD is likely attributed to the limitation of pulmonary overcirculation by the right ventricular outflow tract obstruction and pulmonic stenosis. This limitation restricted the QP/QS and pulmonary pressures, thereby protecting the pulmonary vasculature and preventing the development of Eisenmenger’s syndrome. The dilation of the atria, caused by the chronic overcirculation, predisposed her to atrial flutter or fibrillation.

Given that the pulmonary vasculature has been preserved, she should be considered a candidate for surgical repair. Hematologic testing may be necessary before surgery, and special attention to hemostasis will be required as coagulation abnormalities are common in Noonan syndrome.

CONCLUSION

Noonan syndrome is a rare genetic disease characterized by a broad range of multisystemic manifestations. While it is typically diagnosed in infancy and early childhood, our patient’s case demonstrates that it can also present in later adulthood with cardiac involvement. Screening for common serious manifestations, such as septal diseases, intellectual disability, and visual disturbance, is crucial in managing patients with Noonan syndrome. Extensive counseling is provided to both patients and their families, including prenatal counseling to address the possibility of transmission to offspring.

Recognizing Noonan syndrome in patients with cardiac anomalies requiring surgery is essential, as it has important implications for perioperative hematologic management. The risk of associated coagulopathies necessitates special attention and precautions during the surgical process. By raising awareness and understanding of Noonan syndrome, healthcare providers can optimize the care and outcomes of affected individuals.


REFERENCES

  1. Mondal E, Chanda PK, Musabber NA, et al. Noonan syndrome presenting with stunted growth: a case report. Mymensingh Med J 2022 Jan;31(1):263–266.
  2. Digilio M, Marino B. Clinical manifestations of Noonan syndrome. Images Paediatr Cardiol 2001 Apr;3(2):19–30.
  3. Eskedal LT, Hagemo PS, Eskild A, et al. A population-based study relevant to seasonal variations in causes of death in children undergoing surgery for congenital cardiac malformations. Cardiol Young 2007 Aug;17(4):423–31. doi: 10.1017/S1047951107000881.
  4. Roberts AE, Allanson JE, Tartaglia M, et al. Noonan syndrome. Lancet. 2013 Jan 26;381(9863):333–42. doi: 10.1016/S0140-6736(12)61023-X
  5. Molina JR, Adjei AA. The Ras/Raf/MAPK pathway. J Thorac Oncol 2006 Jan;1(1):7–9.
  6. van der Burgt I, Berends E, Lommen E, et al. Clinical and molecular studies in a large Dutch family with Noonan syndrome. Am J Med Genet 1994 Nov 1;53(2):187–91. doi: 10.1002/ajmg.1320530213.
  7. van der Burgt I. Noonan syndrome. Orphanet J Rare Dis 2007 Jan 14;2:4. doi: 10.1186/1750-1172-2-4.
  8. Williams MR, Perry JC. Arrhythmias and conduction disorders associated with atrial septal defects. J Thorac Dis 2018 Sep;10(Suppl 24):S2940–S2944. doi: 10.21037/jtd.2018.08.27.

Article citation: Al-Jobory A, Dweik A, Muhammed A, Rasheed W, Mohammed I, McMaster K, Gulati R. Late presentation of Noonan syndrome as atrial flutter in an adult. The Southwest Respiratory and Critical Care Chronicles 2023;11(48):51–54
From: Department of Internal Medicine, Texas Tech University Health Sciences Center, Amarillo, Texas
Submitted: 6/22/2023
Accepted: 7/1/2023
Conflicts of interest: none
This work is licensed under a Creative Commons
Attribution-ShareAlike 4.0 International License.