Subacute inferior vena cava occlusion after treatment for advanced colorectal cancer: presentation and management

Letisha Mirembe MD, Devin Bird MD, Robyn Tapp MD, Bailey Gutierrez MD, Haven Ward MD, Izi Obokhare MD

Corresponding author: Letisha Mirembe
Contact Information: Letisha.Mirembe@ttuhsc.edu
DOI: 10.12746/swrccc.v12i52.1287

ABSTRACT

Thrombosis of the inferior vena cava is an uncommon condition and may not be recognized until the affected patient develops severe symptoms. It is associated with a higher risk of complications than other locations of deep venous thrombosis. Here we present a case of a 72-year-old man with bilateral occlusion of the external iliac veins and inferior vena cava.

Keywords: Inferior vena cava, thrombosis, management

INTRODUCTION

Thrombosis of the inferior vena cava (IVC) is a relatively uncommon condition and may not be recognized until the affected patient develops severe symptoms. It is associated with a higher risk of complications than other locations of deep venous thrombosis (DVT).1 Long term, patients can suffer from recurrent lower extremity venous thrombosis, extensive extremity edema, and post-phlebitic syndrome.2 Combined thrombosis of the iliocaval venous conduit is a rare condition with few reports in the medical literature. The clinical presentation is similar to Leriche syndrome with chronic lower extremity pain, intermittent ischemia, and weakness.

We present a case of a 72-year-old man with bilateral occlusion of the external iliac veins and IVC successfully treated with mechanical thrombectomy.

CASE

A 72-year-old man with a history of metastatic colorectal carcinoma and recent abdominal surgery was transferred from an outside hospital for treatment of DVT involving the left lower extremity. The patient had a previous episode of bilateral lower extremity edema that occurred nine months prior after starting a new chemotherapeutic regimen. He was prescribed furosemide, which improved his symptoms.

He tested positive for COVID-19 and due to worsening symptoms, he was placed on enoxaparin and then apixaban and transferred to our tertiary medical center for further care. On arrival, he showed signs of severe bilateral limb, scrotal, and pelvic edema. The edema extended up to the umbilicus. He was no longer able to ambulate and complained of early satiety and ileus-type symptoms. He denied shortness of breath. An ultrasound report noted a thrombosis involving the left external iliac vein. Interventional radiology was consulted, and the patient was scheduled to undergo mechanical thrombectomy. Pre-procedure labs showed increased values for platelet counts (513 k/µL [reference: 130–400]) and aPTT (65 sec [reference: 22–41]), and decreased levels of hemoglobin (8.9 g/dL [reference: 14–18]) and hematocrit (27% [reference: 42–52]).

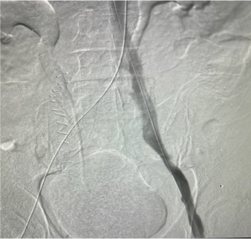
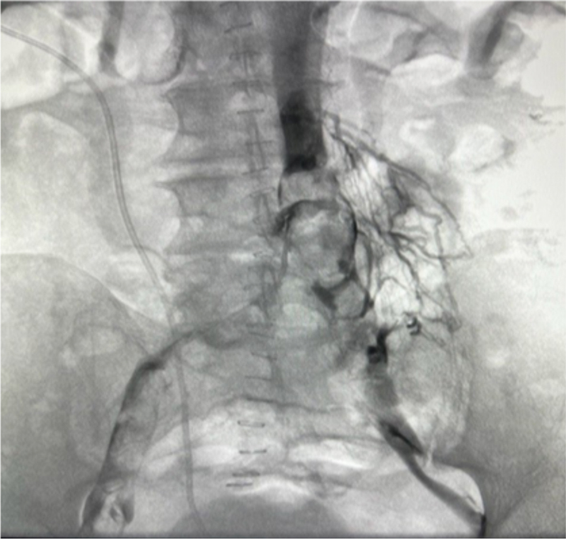
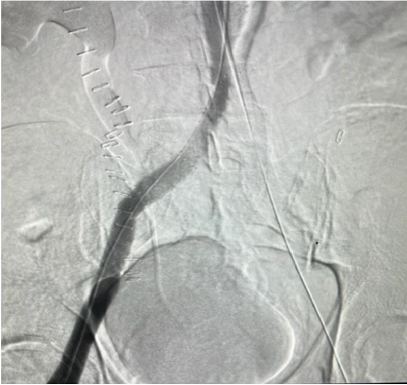
During the mechanical thrombectomy, the patient was placed in the prone position. Bilateral popliteal veins were accessed under ultrasound. Venogram confirmed extensive thrombus in the right and left iliac veins, as well as in the IVC (Figures 1 and 2). Due to IVC involvement, extra-large discs were deployed from the left popliteal vein and above the IVC thrombus for embolic protection. A 13Fr clot retrieving device was inserted on the right. Six passes were made with the clot retriever basket, removing all available IVC and right sided thromboses, which were sub-acute and chronic (Figure 3). The 13Fr clot retriever sheath was then moved to the left popliteal, where five passes were made removing the left-sided thrombi, which also were found to be extremely compacted and likely chronic (Figure 4). The complete thromboses removed are pictured in Figure 5. The patient then received bilateral stents and flow was restored. The patient was discharged two days later on anticoagulation with significant improvement of the lower extremity and pelvic edema.

Figure 1

Figure 1. Left external iliac vein pre-thrombectomy venogram.

Figure 2

Figure 2. Right external iliac vein and IVC pre-thrombectomy venogram.

Figure 3

Figure 3. Post right external iliac vein and IVC thrombectomy.

Figure 4

Figure 4. Post left external iliac vein thrombectomy.

Figure 5

Figure 5. Right and left thrombus retrieved.

DISCUSSION

Inferior vena cava thrombosis refers to the formation of a thrombus, or accumulation of clotted blood that impedes flow in the IVC. The most common causes are the extension of a clot from the deep veins of the lower extremities that propagates into the IVC.1 Hypercoagulable states, such as genetic factors (e.g., Factor V Leiden mutation), antiphospholipid syndrome, malignancies like this patient, and COVID-19 can predispose individuals to IVC thrombosis.2 The pathophysiology of IVC thrombosis involves Virchow’s triad, which includes stasis, endothelial injury, and hypercoagulability. Statistics specific to IVC thrombosis are limited due to its relative rarity. Incidence rates are often reported in conjunction with other venous thromboembolic events, such as DVT or pulmonary embolism. Patients may experience abdominal pain, often described as dull, crampy, or discomfort, localized to the upper abdomen, and ileus-like in the above case. Edema of the lower limbs, either unilateral or bilateral, may occur, and patients may be treated for fluid overload with furosemide, as in this patient. Some individuals may have leg pain, warmth, or redness, especially if there is concurrent DVT. An IVC thrombosis can sometimes be asymptomatic and detected incidentally during imaging studies.

Doppler ultrasound is often the initial imaging modality of choice to visualize blood flow and detect thrombus in the IVC or its tributaries. Computed tomography (CT0 scans with intravenous contrast provide detailed images of the IVC and are also commonly used for diagnosis. Magnetic resonance imaging can also be used to visualize IVC thrombosis, particularly when CT is contraindicated, or additional detail is needed. Management strategies for IVC thrombosis typically include anticoagulation therapy, using heparin initially followed by long term administration of oral anticoagulants, such as warfarin or direct oral anticoagulants. This patient was initially placed on enoxaparin and apixaban which is the primary treatment approach to prevent clot extension and embolization.3 In severe cases or when there is a high risk of clot embolization, as in this case, surgical or catheter-based thrombectomy is considered.4

Thrombosis of the IVC and bilateral iliac veins is a rare condition. A case reported by Gordan et al. described an otherwise healthy 28-year-old male solider who presented with thrombosis of the IVC and bilateral femoral veins secondary to dehydration and venous webbing. He was successfully treated with anticoagulation and placement of bilateral drug eluting stents. However, he continued to have persistent lower extremity pain and edema four months post stent placement and required additional stents and lifelong use of anticoagulation.5 This case was similar to the patient in this report in that he presented with bilateral DVT and continued to have symptoms of ischemia and edema despite treatment with anticoagulation. One complication associated with IVC thrombosis is pulmonary embolism. Another potential complication is post-thrombotic syndrome-chronic venous insufficiency in the affected limb, which may present with symptoms of leg pain, swelling, and skin changes. There is also a risk of recurrent thrombosis even after treatment, especially in individuals with underlying hypercoagulable states.

CONCLUSION

Inferior vena cava thrombosis is a relatively rare but serious vascular condition that necessitates prompt diagnosis and treatment. Understanding its causes, pathophysiology, clinical presentation, diagnostic methods, management strategies, and potential complications is essential for healthcare professionals to provide effective care to affected individuals. Extensive occlusion of the IVC and both external iliac veins as seen in our patient is a rare but highly morbid condition if left untreated. It may take years to develop and may present initially with vague symptoms. A delay in diagnosis and failure to escalate treatment to invasive methods can lead to catastrophic outcomes, such as bilateral lower extremity amputations, mesenteric ischemia, or even death. This case emphasizes the need for prompt diagnosis in patients with supporting symptoms and risk factors for thrombosis to prevent complications. It also underscores the importance of follow up care post DVT treatment due to the likelihood of recurrence, and the improvement in both treatment modalities and interventional possibilities that exponentially decrease complications, morbidity, and mortality.


REFERENCES

  1. Kearon C, Akl EA, Ornelas J, et al. Antithrombotic therapy for VTE disease: CHEST guideline and expert panel report [published correction appears in Chest. 2016 Oct;150(4):988]. Chest 2016;149(2):315–352.
  2. Kujovich JL. Thrombophilia and venous thromboembolism. Blood 2011;117(3):697–711.
  3. Stein PD, Matta F. Thrombolytic therapy in unstable patients with acute pulmonary embolism: saves lives but underused [published correction appears in Am J Med 2012 Jul;125(7): e13]. Am J Med. 2012;125(5):465–470.
  4. Comerota AJ, Bokros JC. Venous thrombectomy. The Surgical Clinics of North America 1990;70(4):843–859.
  5. Kaufman LB, Yeh BM, Breiman RS, et al. Inferior vena cava filling defects on CT and MRI. Am J Roentgenol 2005;185(3):717–726.


Article citation: Mirembe L, Bird D, Tapp R, Gutierrez B, Ward H, Obokhare I. Subacute inferior vena cava occlusion after treatment for advanced colorectal cancer: presentation and management The Southwest Respiratory and Critical Care Chronicles 2024;12(52):33–36
From: School of Medicine (DB, RT), Department of Internal Medicine (LM), Department of Surgery (BG, Lubbock); Department of Surgery (IO); Texas Tech University Health Sciences Center, Amarillo, Texas; Adventhealth Orlando (IO), Orlando, Florida
Submitted: 2/2/2024
Accepted: 1/15/2024
Conflicts of interest: none This work is licensed under a Creative Commons Attribution-ShareAlike 4.0 International License.