Failed bioprosthetic tricuspid valve replacement treated with transcatheter valve in valve repair

Tara Talebi-Talghian BS, Cihan Cevik MD, Peter Lee Walinsky MD

Corresponding author: Tara Talebi-Talghian
Contact Information: Tara.Talebi-Talghian@co.rvu.edu
DOI: 10.12746/swrccc.v12i51.1297

ABSTRACT

Tricuspid bioprosthetic valve failure may lead to right-sided heart failure and is traditionally managed with surgical valve replacement. However, the substantial mortality risk associated with reoperation for failed tricuspid bioprosthesis prompts the need for less invasive alternatives. Transcatheter valve-in-valve (TViV) implantation presents a promising minimally invasive option for patients with failing bioprosthetic valves. This case involves a 32-year-old man with a history of recurrent failed bioprosthetic tricuspid valves who underwent successful percutaneous TViV implantation using a 29 mm Edwards Sapien S3 valve, resulting in marked clinical and hemodynamic improvement. This case contributes essential insights to the limited literature on TViV in the tricuspid position, particularly in patients with complex surgical histories. The high procedural success rate and substantial improvement in valve function underscore the potential of TViV as an effective alternative to surgical replacement for failed tricuspid bioprosthetic valves.

Keywords: Transcatheter tricuspid valve replacement; tricuspid valve-in-valve; bioprosthetic tricuspid valve; tricuspid valve stenosis

INTRODUCTION

Surgical tricuspid valve replacement (TVR) has been the standard treatment for failed bioprosthetic tricuspid valves. However, TVR carries significant risks and is associated with high reoperation rates due to valve degeneration.1 In recent years, transcatheter valve-in-valve (TViV) implantation has emerged as a promising alternative, especially for patients with failed bioprosthetic valves. This case report describes a novel application of TViV in a 32-year-old patient with multiple failed bioprosthetic tricuspid valves and provide information on the potential use of this technique in managing complex tricuspid valve disease.

CASE

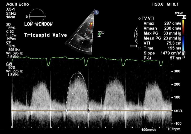
A 32-year-old man presented with worsening symptoms of right heart failure, including fatigue, dyspnea, abdominal swelling, and lower extremity edema. He has a history of tricuspid valve replacement in 2016. He underwent two other sternotomies due to bioprosthetic tricuspid valve failures in 2017 and 2020. Transesophageal echocardiography (TEE) revealed severe stenosis of the bioprosthetic tricuspid valve with a mean gradient of 23 mmHg and mild regurgitation (Figure 1). His left ventricular size, systolic function, and wall motion were preserved. Given his complex surgical history of three sternotomies and decompensated right heart failure, a transcatheter approach was chosen by the heart team. The patient underwent a successful transcatheter TViV procedure using a 29 mm Edwards Sapien S3 valve. This resulted in significant hemodynamic improvement, with the mean gradient across the tricuspid valve decreasing from 23 mmHg to 8 mmHg without paravalvular leak.

Figure 1

Figure 1. Transesophageal echocardiography (TEE) with continuous wave Doppler demonstrating a mean gradient of 23 mmHg of the tricuspid valve.

PROCEDURE

Access was obtained in the right femoral vein using a 6F sheath. The sheath was then upsized to 16F. A pigtail catheter was advanced through the venous sheath to the tricuspid valve and into the right ventricular cavity over a J-wire, which was then exchanged for a stiff wire. The 29 mm Edwards Sapien S3 valve was placed across the bioprosthetic tricuspid valve, and its position was confirmed with fluoroscopy (Figure 2). The transcatheter valve balloon was manually inflated, and the valve was deployed. The wire was removed from the valve, and TEE confirmed no paravalvular or central regurgitation. Subsequently, the femoral venous delivery sheath was removed, and the Perclose suture was deployed to close the venotomy.

Figure 2

Figure 2. Fluoroscopic transcatheter TViV placement and deployment of the Edward 3 Sapien valve in the tricuspid position.

DISCUSSION

This case report highlights a unique application of transcatheter TViV implantation in a patient with a history of multiple failed bioprosthetic tricuspid valves. The successful use of TViV in this complex case adds valuable information to the limited literature on transcatheter interventions for tricuspid valve disease, particularly in patients with prior valve replacements.

Tricuspid valve stenosis is a rare valvular defect that results in retrograde blood flow back into the right atrium, overloading the liver and causing lower extremity edema. This results in reduced cardiac output, vascular congestion, and ultimately, right-sided heart failure.2 Surgical tricuspid valve replacement is considered the standard of care. However, redoing tricuspid valve replacement for a failed tricuspid bioprosthesis is considered one of the highest-risk cardiac valve operations compared to other single-valve open procedures.3

Bioprosthetic valves are preferred due to the lower risk of thrombosis, thus preventing the need for lifelong anticoagulation. However, in the tricuspid position, bioprosthetic valves are vulnerable to structural degeneration, primarily due to leaflet atrophy and calcification leading to valve failure.3 The rates of bioprosthetic failure necessitating reoperation range from 10–22% over a follow-up period of five to nine years.3 While offering better durability, mechanical valves require lifelong anticoagulation to prevent thromboembolic complications and are not used often.

Reoperation for failed tricuspid bioprosthesis carries a high risk of mortality, prompting the consideration of less invasive alternatives like TViV. However, the number of TViV procedures has been relatively limited due to the rarity of patients with tricuspid bioprosthetic valves. The largest cohort reported in this field was from the multicenter Valve-in-Valve International Data (VIVID) registry, with 284 TViV implantation cases over ten years.4 Retrospective data collection conducted by the VIVID registry showed a high technical success rate and significant improvements in tricuspid valve inflow gradients and regurgitation grades.4 A study conducted by Chen and colleagues further demonstrated the potential of this technique. The TViV procedures were successfully performed in their study without any immediate post-replacement paravalvular leak or intra-procedural complications.5 All patients had significant improvement in symptoms and functional status post-procedure.5 These findings suggest that TViV is a safe and effective treatment option for patients with degenerative tricuspid bioprosthesis.

Furthermore, the FDA-approved Edward 3 Sapien valve for high-risk aortic and mitral valve-in-valve procedures has shown encouraging results in off-label use for the tricuspid position. A study involving 58 patients undergoing the Sapien TViV procedure for failed bioprosthetic valves demonstrated its safety and effectiveness across various valve sizes,6 underscoring the potential of transcatheter technologies in complex tricuspid valve cases. For our patient, TViV placement of the Edward valve was selected based on anatomy, size of the surgical prosthesis (≥29 mm), and poor surgical candidacy.

CONCLUSION

Transcatheter TViV for failed bioprosthesis is a promising strategy for selected cases, such as our patient. Currently, no data support the longevity of redoing tricuspid valve replacement using TViV. Longitudinal research will be essential to compare the risks and benefits between TViV and surgical tricuspid valve replacement, especially in younger patients. This case report can help guide clinical outcomes assessment for future studies.

Consent: Informed, written consent was obtained from the patient for publication of this case report, including accompanying images.

 

REFERENCES

1.     Zoltowska DM, Maaliki N, Al-Turk B, et al. A valve-in-valve approach to manage severe bioprosthetic tricuspid valve stenosis. J Geriatr Cardiol 2021;18(5):400–402.

2.     Barker CM, Goel K. Transcatheter tricuspid interventions: past, present, and future. Methodist Debakey Cardiovasc J. 2023;19(3):57–66.

3.     Chen S, Dershowitz L, George I. Transcatheter valve implantation for degenerated tricuspid bioprosthesis and failed tricuspid ring. Ann Cardiothorac Surg 2021;10(5):651–657.

4.     Chen J, Yang Y, Song W, et al. Transcatheter tricuspid valve-in-valve implantation for degenerated surgical bioprosthesis. Catheter Cardiovasc Interv 2023;101(2):442–448.

5.     Panaich SS, Eleid MF. Tricuspid valve-in-valve implantation for failing bioprosthetic valves: an evolving standard of care. Ann Transl Med 2016;4(20):410.

6.     McElhinney DB, Cabalka AK, Aboulhosn JA, et al. Transcatheter tricuspid valve-in-valve implantation for the treatment of dysfunctional surgical bioprosthetic valves: an international, multicenter registry study. Circulation 2016;133(16):1582–1593.

 

Article citation: Talebi-Talghian T, Cevik C, Walinsky PL. Failed bioprosthetic tricuspid valve replacement treated with transcatheter valve in valve repair. The Southwest Respiratory and Critical Care Chronicles 2024;12(51):18–20
From: Rocky Vista University College of Osteopathic Medicine (TTT), Parker, CO; Department of Cardiology (CC), Memorial Hospital Central, Colorado Springs, CO; Department of Cardiac Surgery (PLW), Memorial Hospital Central, Colorado Springs, CO
Submitted: 4/1/2024
Accepted: 4/15/2024
Conflicts of interest: none
This work is licensed under a Creative Commons Attribution-ShareAlike 4.0 International License.