Percutaneous transcatheter closure of a large saphenous vein graft aneurysm with Amplatzer vascular plug

Takuya Nagasawa BA, Tomokazu Nagasawa RCIS, John Elliott BS, Cihan Cevik MD

Corresponding author: Takuya Nagasawa
Contact Information: Ntakuya76@gmail.com
DOI: 10.12746/swrccc.v12i53.1353

ABSTRACT

A saphenous vein graft (SVG) aneurysm is a rare complication seen in coronary artery bypass grafts (CABG). While the sternotomy for surgical correction is used in most of these patients, depending on the patient’s condition, an alternative method may be required. This case is a 64-year-old man who developed SVG aneurysm more than 10 years after CABG and underwent a successful percutaneous transcatheter exclusion of SVG aneurysm using 10 mm Amplatzer Vascular Plug 2, resulting in prevention of blood flow into the aneurysm and future rupturing. This case illustrates the potential of noninvasive treatment with flexible procedures based on the patient’s anatomy and risk for complicated surgery.

Keywords: Amplatzer vascular plug, saphenous vein graft, saphenous vein graft aneurysm, coronary artery bypass graft

INTRODUCTION

Coronary artery bypass grafting (CABG) is done in patients who present with high-grade blockages in any of the major coronary arteries and have failure to clear the blockage with non­surgical techniques. While this procedure can have complications, such as atrial fibrillation, renal failure, and stroke, the frequency of aneurysms in the grafts is low. Common invasive open-heart surgery can have multiple complications and creates significant surgical stress in patients. This case report describes a patient with rare saphenous vein graft aneurysm treated with a transcatheter vascular plug.

CASE

A 64-year-old man with chronic systolic heart failure with an EF of 35–40% had a CABG done in 2001. In 2015, he had a non-ST segment elevation myocardial infarction (NSTEMI) with an occluded saphenous vein graft to circumflex artery (SVG-Cx graft), an occluded saphenous vein graft to right coronary artery (SVG-RCA graft), a patent left internal mammary artery to left anterior descending artery (LIMA-LAD graft), and a 2.2 cm aneurysm in the right coronary artery. The cardiac surgery consultant chose to closely monitor the aneurysm and postponed immediate surgery out of concern for damaging the grafts more, with the hope it would close spontaneously. In 2016, an implantable cardioverter-defibrillator (ICD) was placed for his heart failure. He also had moderate carotid stenosis bilaterally and had a stent placed for peripheral vascular disease (PVD) in bilateral iliac arteries and a stent for abdominal aortic aneurysm (AAA). In addition, the patient has a history of hyperlipidemia, hypertension, and emphysema, and currently smokes.

In 2019 during the patient’s surveillance with computed tomography (CT) for AAA and thoracic aortic aneurysm (TAA), an aneurysm measuring 5.4 × 5.2 cm was found on the CT (Figure 1). This aneurysm was thought to be the aneurysm found during the NSTEMI in 2015 and had progressively increased in size. As a result, the patient was referred to cardiac surgery. However, due to his prior sternotomy, ongoing tobacco use, emphysema, low ejection fraction, and a patent LIMA, the patient was not considered a good surgical candidate. He was returned to the cardiologist and after careful discussion, the heart team decided to proceed with a transcatheter exclusion of his SVG aneurysm.

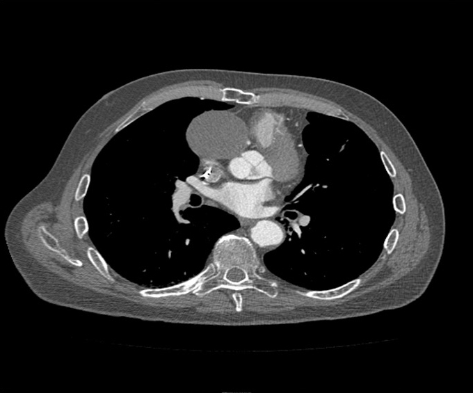
Figure 1

Figure 1. Surveillance computed tomography taken for thoracic aortic aneurysm; the brighter area shows blood flow into the aneurysm.

During the transcatheter exclusion, the patient was placed in the supine position. An 8Fr sheath was used to access the right femoral artery, and a guide wire was advanced to the SVG aneurysm located by the marker (Figure 2). An 8Fr multipurpose guide catheter with an 8Fr Guideliner was advanced by the balloon-assisted tracking for the better placement of the plug (Figure 3). An Amplatzer Vascular Plug II (10 mm) was placed at the SVG ostium to prevent the blood flow into the aneurysm. The pig tail catheter angiogram was performed for the evaluation showing clear blocking of the blood flow. This was confirmed with both an angiogram and a CT scan (Figures 4 and 5).

Figure 2

Figure 2. Aneurysm shape is seen through the contrast.

Figure 3

Figure 3. 8Fr MP and Guideliner in the SVG.

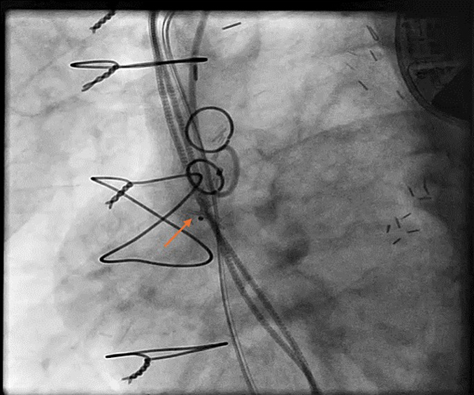
Figure 4

Figure 4. Angiogram using pigtail wire confirming the placement of plug and blocking of blood flow.

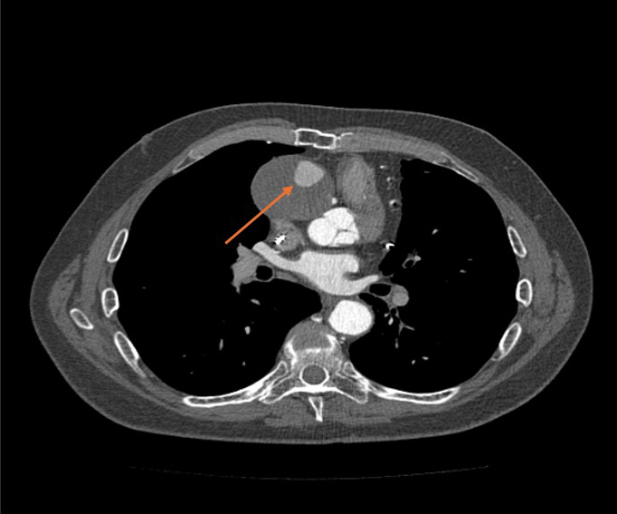
Figure 5

Figure 5. A thoracic computed tomography scan shows that blood flow is prevented by the uniform brightness throughout the aneurysm.

DISCUSSION

Patients who have >70% occlusion in three coronary vessels frequently require coronary artery bypass grafting using a saphenous vein from the leg to bypass the occluded artery. As a result, patients develop completely different pathways to supply the blood to their hearts. The most common complications are atrial fibrillation, stroke, and renal failure. It is unusual to develop an aneurysm in the grafted vessel.

The reason for the development of an SVG aneurysm may depend on the patient’s medical condition.1 Some patients have hyperlipidemia, atherosclerosis, and intimal calcifications which influence aneurysm formation. An SVG aneurysm develops in less than 0.07% of patients following a CABG over 10–20 years after the procedure.2,3 In this case, the patient developed occlusion of the SVG 14 years after a CABG but had no complications. The occlusion of the SVG ultimately led to the patient’s circumflex and right coronary artery being dysfunctional. While 2 of 3 vessels were occluded, the left main artery remained patent and required no attention. The bigger issue was the SVG aneurysm that was confirmed on the SVG-RCA and had slowly grown to the size of 5.4 cm × 5.2 cm.

Common treatment for the SVGA requires open heart surgery to ligate and revascularize the graft.4 While the surgery was proposed for the patient, due to his medical background of peripheral vascular disease and prior sternotomy, the ligation was rejected by the surgeon. To manage this, a noninvasive method was taken to stop further growth of the aneurysm. A procedure coiling or graft master placement was discussed. Commonly, the coiling of the aneurysm prevents further bleeding; however, this is an expensive approach, and the size of the aneurysm made the physicians question this choice. In addition, the blood vessel was fully occluded, so the placement of graft master would not effectively prevent the growth of an aneurysm. As a result, the placement of a plug to stop the whole blood flow toward that vessel was chosen.

Due to its rarity, an SVG aneurysm exclusion by catheterization requires a self-expanding device. The Amplatzer Vascular Plug made from nitinol wire mesh seemed ideal for the situation.5,6 Following the Abbott cardiovascular guideline, a device that was more than 50% larger than the aneurysm was chosen. From the different types of Amplatzer Vascular plug, and the aneurysm being in the graft and requiring complete sealing led the physician to choose Amplatzer Vascular Plug 2.7 The compression of the three lobes allowed the placement in varying sizes of vessels and short distances. After the deployment, the immediate change was seen in the blood flow and showed the successful exclusion of the blood flow toward the aneurysm.

In patients who are medically complex or cannot have surgical removal of a saphenous vein graft aneurysm, a non-invasive transcatheter closure method can be used as in this case. This approach represents a potential for alternative treatment for the SVG aneurysm without disrupting the patient’s quality of life. While surgery with sternotomy is still common, this noninvasive method provides a good alternative approach to managing these aneurysms in certain cases.


REFERENCES

  1. Liang BT, Antman EM, Taus R, et al. Atherosclerotic aneurysms of aortocoronary vein grafts. Am J Cardiol 1988;61:185–8.
  2. Sugimoto T, Yamamoto K, Yoshii S, et al. Large saphenous vein graft aneurysm with a fistula to the right atrium. Ann Thorac Cardiovasc Surg 2006 Nov;12:435–7.
  3. Riahi M, Vasu CM, Tomatis LA, et al. Aneurysm of saphenous vein bypass graft to coronary artery. J Thoracic Cardiovasc Surg 1975 Aug;70(2):358–9.
  4. Ghosh B, Slbi Krishna T, Boini A, et al. Risk factor associated with saphenous vein graft aneurysm after coronary artery bypass graft. Ann Med Surg (Lond) 2023 Nov;85(11):5604–10.
  5. Klementowicz P, Giblett JP, Agrawal SKB, et al. J Am Coll Cardiol Case Rep 2019 Dec;1(5):727–31.
  6. Lopera JE. The Amplatzer vascular plug: review of evolution and current applications. Semin Intervent Radiol 2015 Dec;32(4):356–69.
  7. Mylonas I, Sakata Y, Salinger MH. Successful closure of a giant true saphenous vein graft aneurysm using the Amplatzer vascular plug. Catheterization and Cardiovascualr Interventions 2006 Mar;67(4):611–16.


Article citation: Nagasawa T, Nagasawa T, Elliott J, Cevik C. Percutaneous transcatheter closure of a large saphenous vein graft aneurysm with Amplatzer vascular plug. The Southwest Respiratory and Critical Care Chronicles 2024;12(53):67–70
From: Arkansas College of Osteopathic Medicine (TN, JE), Fort Smith, AR; UC Health Memorial Hospital Central (TN, CC), Colorado Springs, CO
Submitted: 8/2/2024
Accepted: 10/2/2024
Conflicts of interest: none
This work is licensed under a Creative Commons Attribution-ShareAlike 4.0 International License.