Intraluminal duplication cyst of the terminal ileum imitating acute appendicitis: A rare clinical case presentation

Devin Bird BS, Vishaal Kondoor MBA, Dylan Murray, Jason Nirgiotis MD, Richard Murray MD

Corresponding author: Devin Bird
Contact Information: Devin.Bird@ttuhsc.edu
DOI: 10.12746/swrccc.v13i54.1373

ABSTRACT

Duplication cysts are rare congenital cystic lesions that form along the gastrointestinal tract at various locations. They may be asymptomatic, present with ambiguous symptoms, or mimic other clinical presentations, such as acute appendicitis. We present a unique case of an 11-year-old boy with a preliminary diagnosis of acute perforated appendicitis and abdominal abscess; however, the patient’s appendix was unremarkable during surgery, and he was later found to have an intraluminal duplication cyst within the distal ilium extending into the ileocecal valve. Follow-up imaging with abdominal ultrasound helped guide the diagnosis, and an ileocecal resection proved to be curative.

Keywords: Enteric duplication cyst, intraluminal duplication cyst, appendicitis, ultrasound, case report

INTRODUCTION

Gastrointestinal (GI) tract duplication cysts are rare congenital malformations along the GI tract and can present with a variety of symptoms. These cysts are categorized based on their embryonic origin and include esophageal, gastric, small bowel, and large bowel origins, and present more frequently in children than in adults. They can be visualized directly on imaging by ultrasound, computed tomography (CT), or magnetic resonance imaging (MRI), and indirectly by barium contrast studies of the GI tract. They can also be visualized directly with endoscopic ultrasound when they occur within reach of the endoscope. A duplication cyst can present on CT as a low-density cystic structure with a well-defined wall adjacent to a loop of bowel, or on ultrasound as a cystic structure with an anechoic or hypoechoic center surrounded by a hyperechoic or isoechoic wall. Some duplication cysts may be asymptomatic and only be found incidentally.1 They can also present with vague symptoms or mimic some other pathology, such as appendicitis.2

Appendicitis refers to the acute inflammation of the appendix and is the most common surgical emergency in children.3 It is believed that the pathogenesis of this condition involves intraluminal obstruction (e.g., fecalith, lymphoid hyperplasia, or neoplasm) and subsequent inflammation. Acute appendicitis is extremely common, but there are other conditions that can imitate it. These include pseudoappendicitis (e.g., Yersinia enterocolitica, Campylobacter infection),4 Meckel’s diverticulitis, gastroenteritis, psoas abscess, urolithiasis, and on very rare occasions, enteric duplication cysts.2

Literature on duplication cysts is limited, and providing case-based knowledge on the clinical presentation and management of these cysts is important to clinicians. Here we present a rare case of an 11-year-old boy who presented with signs and symptoms of acute perforated appendicitis but was found to have an enteric duplication cyst located within the distal ileal lumen.

CASE

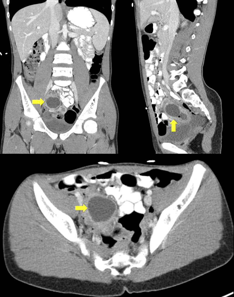
An 11-year-old boy with no significant past medical history presented to his primary care provider complaining of nausea, vomiting, and severe right lower quadrant (RLQ) abdominal pain. Out of concern for acute appendicitis, the patient was sent to the emergency department (ED) for further workup. During evaluation in the ED, the patient was found to be afebrile and mildly hypertensive, and he had a normal white blood cell count. He endorsed RLQ pain, nausea, and vomiting. His physical examination revealed localized tenderness to the right lower quadrant with rebound and guarding consistent with peritonitis. Computed tomography (CT) of the abdomen and pelvis with oral and intravenous contrast was performed and was significant for a 3.6 cm rim-enhancing fluid collection in the RLQ (Figure 1). The appendix could not be discretely visualized on CT, and the patient was presumed to have an abdominal abscess secondary to a ruptured appendix. The presumptive abscess was inaccessible by interventional radiology, and the patient was taken to surgery the following day for appendectomy and drainage of the abscess.

Figure 1

Figure 1. CT abdomen and pelvis with oral and intravenous contrast. Visualization of a low-density cystic structure with enhancing margin, located within the distal ileum (yellow arrows).

The surgery was performed laparoscopically and upon entering the abdomen the appendix was immediately identified and appeared unremarkable. There were no signs of gangrene perforation or definite appendicitis. The appendix was then removed for pathology to evaluate. Following appendectomy, the large and small bowel were extensively inspected and were considered normal. The distal ileum was normal with no masses or signs of inflammation and there was no Meckel’s diverticulum. There were no signs of infection, pus, inflammation, or any other intra-abdominal pathology throughout the abdomen.

Post-op, the CT scan was reviewed again with a radiologist who suggested that the abdominal mass could be in the mesentery near the sigmoid colon. Abdominal ultrasound was ordered and showed a 3.1 cm thick-walled intraluminal cystic mass in the distal ileum, suggestive of a duplication cyst (Figure 2). The following day, the patient was taken back to the operating room for an exploratory laparotomy. The bowel was examined from the ligament of Treitz all the way to the ileocecal valve where a mass was palpated in the distal ileum. The bowel itself showed no signs of inflammation or any other lesions. The terminal ileum was opened and the mass excised. The mass contained clear fluid but no pus. The mass extended directly into the ileocecal valve and the valve could not be preserved. Resection of the distal ileum and a portion of the ileocecal valve region was performed, followed by anastomosis of the ileum and cecum, and the patient was closed.

Figure 2

Figure 2. Abdominal ultrasound of a 3.1 cm intraluminal cystic structure. The structure has an anechoic center (asterisk) surrounded by a hyperechoic wall (yellow arrow) and lies within a bowel lumen (red arrow). The bowel wall is also observed (white arrows).

Pathologic evaluation of the excised appendix showed no significant evidence of inflammation, perforation, or malignancy. Furthermore, pathologic evaluation of the small bowel specimen reported an intraluminal cyst measuring 3.5 × 3.2 × 1.9 cm with enteric-type epithelium, ulceration, and acute inflammation – consistent with the diagnosis of an enteric duplication cyst.

DISCUSSION

Duplication cysts are rare congenital cystic lesions that arise during embryogenesis and can present anywhere along the gastrointestinal tract. They have a reported incidence of 1 in 4,500 live births, with symptoms most frequently presenting during infancy and early childhood.5 The etiology of this condition is unclear, but some possibilities include partial/incomplete twinning, split notochord, and aberrant luminal recanalization.6

While they can occur anywhere along the gastrointestinal tract, they are most commonly found in the small intestine, particularly in the ileum.5 Other frequent locations include the esophagus, stomach, and colon. These cysts typically have a well-developed smooth muscle layer and are lined with gastrointestinal mucosa. They may or may not communicate with the adjacent bowel lumen. Irrespective of the etiology, duplication cysts can have diverse clinical presentations depending on size and location of the cyst. Duplication cysts within the oral cavity and esophagus can present with dysphagia, dyspnea, or retrosternal chest pain. Patients with duplication cysts in the stomach or bowels may experience abdominal pain, nausea, vomiting, bleeding, intussusception, or obstruction.5 Given the variety of possible symptoms, diagnosis of duplication cysts can be difficult as they may easily be mistaken for other disorders, such as acute appendicitis.7

Evaluation for duplication cysts typically involves imaging with CT, which may show a low-density cystic structure with a well-defined wall adjacent to a loop of bowel. Abdominal ultrasound would reveal a cystic structure with an anechoic or hypoechoic center surrounded by a hyperechoic or isoechoic wall. Additional modalities, such as MRI or endoscopic ultrasound, can also be useful in individual cases to diagnose and locate the cyst. Definitive treatment involves surgical resection and can be done through an open or minimally invasive approach. Long-term prognosis is excellent for those who undergo optimal surgery.8

We report a rare case of an enteric duplication cyst originating from the distal ileum and ileocecal valve in an 11-year-old boy that mimicked acute appendicitis. Acute appendicitis is a surgical emergency and should always be considered when a pediatric patient presents with RLQ abdominal pain. However, a high index of clinical suspicion should also be taken for any etiology that could mimic acute appendicitis, such as enteric duplication cysts. Unfortunately, data and literature on this subject are not extensive. This case demonstrates that enteric duplication cysts can mimic acute appendicitis and that abdominal imaging with ultrasound is an effective option for diagnosing and locating said cyst. Surgical resection is the preferred treatment of choice for symptomatic duplication cysts.

CONCLUSION

Duplication cysts are rare congenital cystic malformations that grow along the gastrointestinal tract. There is limited literature available regarding the etiology, clinical presentation, and management of these cysts. This case report provides additional knowledge on the subject by emphasizing that duplication cysts can present in a variety of ways and may mimic other disorders, such as acute appendicitis. Computed tomography and abdominal ultrasound are the imaging modalities most frequently used in establishing the diagnosis; MRI and endoscopic ultrasound may also provide additional diagnostic benefit in individual cases. Management includes complete surgical resection of the cyst, which provides excellent long-term patient outcomes.


REFERENCES

  1. Ipek H, Doğan G, Yılmaz D, et al. A case of asymptomatic ileal duplication cyst associated with acute appendicitis. J Pediatric Surgery Case Reports 2017;22:25–27. doi: 10.1016/j.epsc.2017.04.013
  2. Islah MA, Hafizan T. Perforated ileal duplication cyst presenting with right iliac fossa pain mimicking perforated appendicitis. Med J Malaysia 2008;63(1):63–64.
  3. Gadiparthi R, Waseem M. Pediatric Appendicitis. [Updated 2023 Jul 3]. In: StatPearls [Internet]. Treasure Island (FL): StatPearls Publishing; 2024 Jan-. Available from: https://www.ncbi.nlm.nih.gov/books/NBK441864/
  4. Jones MW, Godana I, Hoilat GJ, et al. Pseudoappendicitis. [Updated 2023 Jul 20]. In: StatPearls [Internet]. Treasure Island (FL): StatPearls Publishing; 2024 Jan-. Available from: https://www.ncbi.nlm.nih.gov/books/NBK499946/
  5. Sangüesa Nebot C, Llorens Salvador R, Carazo Palacios E, et al. Enteric duplication cysts in children: varied presentations, varied imaging findings. Insights Imaging 2018;9(6):1097–1106. doi:10.1007/s13244-018-0660-z
  6. Sharma S, Yadav AK, Mandal AK, et al. Enteric duplication cysts in children: a clinicopathological dilemma. J Clin Diagn Res 2015;9(8):EC08–EC11. doi:10.7860/JCDR/2015/12929.6381
  7. Sreelekshmi SN, Lillykutty Pothen, Sankar S. Ileal duplication cyst: a case report. Saudi J Pathol Microbiol 2021;6(3): 116–118.
  8. Anand S, Aleem A. Duplication Cyst. [Updated 2022 Oct 24]. In: StatPearls [Internet]. Treasure Island (FL): StatPearls Publishing; 2024 Jan-. Available from: https://www.ncbi.nlm.nih.gov/books/NBK564347/


Article citation: Bird D, Kondoor V, Murray D, Nirgiotis J, Murray R. Intraluminal duplication cyst of the terminal ileum imitating acute appendicitis: A rare clinical case presentation. The Southwest Respiratory and Critical Care Chronicles 2025;13(54):31–34
From: Texas Tech University Health Sciences Center School of Medicine (DB, VK), Lubbock, Texas; Department of Pediatrics (JN), Texas Tech University Health Sciences Center, Amarillo, Texas; Department of Surgery (RM), Texas Tech University Health Sciences Center, Amarillo, Texas; University College Dublin (DM), Dublin, Ireland
Submitted: 9/18/2024
Accepted: 12/13/2024
Conflicts of interest: none
This work is licensed under a Creative Commons Attribution-ShareAlike 4.0 International License.