Abstract

Pulmonary artery aneurysm secondary to congenital pulmonic valve stenosis

Audra Schwalk MD, Gilbert Berdine MD

Corresponding author: Audra Schwalk
Contact Information: Audra.fuller@ttuhsc.edu
DOI: 10.12746/swrccc.v5i21.425

ABSTRACT

Pulmonary artery (PA) aneurysms are uncommon and often diagnosed post-mortem. They are characterized by a PA/aorta diameter ratio greater than 2 on transthoracic echocardiography or a pulmonary artery diameter greater than 4 or 5 cm on computed tomography. The most common conditions associated with pulmonary artery aneurysm are congenital heart defects with left-to-right shunts and pulmonic valve abnormalities. There are also numerous causes of acquired pulmonary artery aneurysms, including infection, vasculitis, pulmonary arterial hypertension, trauma, neoplasm and pulmonary embolism. Symptoms of PA aneurysm are usually non-specific, and physical examination findings are variable depending on the underlying cause. Work-up includes various imaging modalities, transthoracic echocardiography, and right heart catheterization. The gold standard treatment is surgery, but in select patients, conservative management with close monitoring can be pursued.

Keywords: Pulmonic valve stenosis, pulmonary artery aneurysm, hilar mass

INTRODUCTION

Pulmonary artery aneurysm is a relatively uncommon clinical finding. Several clinical conditions can lead to enlargement of the pulmonary artery but rarely to aneurysmal proportions. A few cases of pulmonary artery aneurysm secondary to congenital pulmonic valve stenosis have been reported. Most cases of pulmonary artery aneurysm are associated with congenital heart defects with left-to-right shunts.1 In this report we present a case of pulmonary artery aneurysm secondary to congenital pulmonic valve stenosis. Careful monitoring and conservative management were initially practiced, but definitive treatment with a surgical intervention was eventually needed.

CASE

A 79-year-old woman was initially referred to the pulmonary clinic for lower extremity edema and concerns about pulmonary hypertension. At that time, she was having increasing shortness of breath and functional limitation. She could walk one block on level ground but was unable to climb a flight of stairs. She was, however, able to make her bed at home and perform other activities of daily living. She would occasionally feel lightheaded, but she had never had an episode of syncope. She intermittently had chest pain, but she recently had a negative cardiac stress test. She had a long history of significant fatigue and would regularly take naps in the afternoons. She also had a 30 pack-year history of tobacco use but had stopped smoking over 15 years prior to her evaluation.

She was hospitalized for lower extremity edema just prior to her pulmonary evaluation, and work-ups for lower extremity deep vein thrombosis and congestive heart failure were completed. Her left ventricular ejection fraction was greater than 60%, all cardiac chambers were reported as within normal limits, the right ventricular systolic pressure (RVSP) was estimated at 64 mmHg, and mild regurgitation of both the mitral and tricuspid valves was present. The pulmonic valve was not well visualized on that study. She had a chest x-ray showing an opacity in the left hilar region (Figure 1). Physical examination revealed a systolic murmur in the left upper sternal border, a split S2, clear lungs, and peripheral edema worse in the left lower extremity than the right.


Figure 1

Figure 1. Chest x-ray shows a well-defined opacity in the left hilar region, later determined to be a large pulmonary artery aneurysm.


Upon further questioning the patient reported being told she had a heart murmur at age 16. At that time, she had a cardiac catheterization revealing pulmonary artery aneurysm, probably secondary to congenital pulmonic valve stenosis. Additional tests in our clinic included a low probability V/Q scan, a negative ANA, and normal thyroid function tests. Pulmonary function tests revealed a mild ventilatory impairment that was not consistent with obstructive or restrictive disease, and a significant decrease in her diffusion capacity. She then underwent a right heart catheterization (RHC) which revealed a pulmonary artery aneurysm, mild pulmonary hypertension, pulmonic stenosis with significant gradient (approximately 12 mmHg), but no evidence of right ventricular systolic dysfunction.

She opted for more conservative management and deferral of pulmonic valve replacement. Her beta blocker was replaced by a calcium channel blocker, and she was started on ambrisentan. She did relatively well for about one year after these changes, but then her symptoms worsened. Chest computed tomography (CT) revealed a slight increase in the size of her main pulmonary artery aneurysm (5.4 cm × 4.75 cm in coronal and 4.8 cm in axial images) with a stable left pulmonary artery aneurysm (Figure 2). Transthoracic echocardiogram (TTE) demonstrated an increase in RVSP compared to previous values (73 mmHg) as well as enlargement of the right atrium and ventricle. A repeat RHC was performed which revealed progression in her pulmonic valve gradient (22 mmHg). She underwent pulmonic valve replacement and had an uneventful post-operative course. She was slowly able to increase her physical activity and was walking over a mile in 30 minutes two months after her surgery, with further increases in distance and speed over the next year. She continued on her diuretics and calcium channel blocker, but ambrisentan was discontinued. Her pulmonary artery aneurysm is monitored yearly with a chest x-ray.


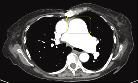
Figure 2

Figure 2. CT Chest axial view reveals a significantly enlarged main pulmonary artery (4.8 cm) as highlighted by the yellow rectangle.


DISCUSSION

Pulmonary artery aneurysms are uncommon and often diagnosed post-mortem. A study published in 1947 by Deterling and Claggett reported the incidence of proximal pulmonary artery aneurysms was 1 in 14,000 post-mortem examinations at their center. 1,2 Congenital pulmonic valve stenosis is associated with pulmonary artery dilation, but true pulmonary artery aneurysm formation in this clinical situation is rarely reported in the literature.3 Proximal pulmonary artery aneurysm is usually defined by one of two main criteria: the PA/aorta diameter ratio greater than 2 as seen on transthoracic echocardiography3,2 or a pulmonary artery diameter of greater than either 4 cm4,5 or 5 cm3. On CT scans of adults, the upper limit of normal for the main PA diameter is 2.9 cm, which is another measurement used as the cutoff for pulmonary artery aneurysm.1 The above definition is an empiric or imaging definition. There is no single mechanistic or explanatory definition. As a result, pulmonary artery aneurysm is a heterogeneous entity, and not all aneurysms will behave the same way.

The most common conditions associated with pulmonary artery aneurysm, accounting for over 50%, are congenital heart defects with left-to-right shunts causing increased volume and pressure in the right heart and pulmonary vasculature.1,6 These defects include persistent ductus arteriosus, ventricular septal defects, and atrial septal defects in decreasing order of frequency.1 Acquired causes of pulmonary artery aneurysm include diverse disorders. Infections, such as untreated syphilis, advanced tuberculosis, pyogenic bacteria, septic emboli, and fungal pneumonia, have all been associated with pulmonary artery aneurysm.1 Other conditions linked with pulmonary artery aneurysm include vasculitis, pulmonary arterial hypertension, chronic pulmonary embolism, pulmonary neoplasm, trauma, and iatrogenic injury to the pulmonary artery.1 In this case, the patient had pulmonary arterial hypertension, but the pulmonary artery aneurysm preceded the onset of pulmonary hypertension.

There are a few case reports of pulmonary artery aneurysm secondary to congenital pulmonic valve stenosis, but this is a relatively rare finding. Pulmonary valve stenosis causes pulmonary artery dilation as a result of turbulent blood flow through the vessel distal to the stenotic region.5 The clinical manifestations of pulmonary artery aneurysm are usually nonspecific and often include dyspnea, chest pain, palpitations, and syncope.1 The physical examination usually reveals a systolic murmur that may be combined with a diastolic murmur.1

Investigation for pulmonary artery aneurysm is relatively simple. Pulmonary artery aneurysm often presents as mediastinal or hilar enlargement on plain chest x-ray, as seen in our patient. Chest CT is usually the next step and provides precise measurement of the pulmonary vasculature. An echocardiogram should then be performed to estimate the pulmonary artery pressure and to evaluate cardiac chambers and valves. Measurements of the aorta and pulmonary artery can often be obtained during echocardiogram, depending on image clarity. A RHC may be performed to obtain a more accurate measurement of PA pressure and to guide pulmonary hypertension therapy.

Surgery is usually the preferred treatment for pulmonary artery aneurysm, but this is not always feasible due to comorbid conditions.5 Surgery can potentially reverse the cause of pulmonary artery aneurysm and also repair the aneurysm itself. If surgery is considered too risky or if the patient is asymptomatic with no significant PAH and a stable aneurysm size, conservative management can be used.1 If a left-to-right shunt is present, or if valvular abnormalities are found, or if PAH is discovered, surgery should be considered since there will be continued vascular stress with risk of aneurysm enlargement, dissection, and rupture.1 When PAH is present, the usual PAH treatment should be started.1 If patients are treated with observation rather than intervention, then regular monitoring of the pulmonary artery aneurysm and symptoms should be scheduled with a plan to change treatment if the clinical status significantly changes.

Pulmonary artery aneurysm is a relatively rare finding, and these patients often present with non-specific symptoms. Work-up generally follows the typical pattern for investigation of any pulmonary pathology. The gold standard treatment is surgery, but in select patients, conservative management can be pursued with close monitoring of the pulmonary artery aneurysm. If PAH is present, it should be treated based on current guidelines.

REFERENCES

  1. Kreibich M, et al. Aneurysms of the pulmonary artery. Circulation 2015;131:310–316.
  2. Lopez-Candales A, et al. Pulmonary artery aneurysm: review and case report. Clinical Cardiology 1995;18:12:738–740.
  3. Tami L, McElderry M. Pulmonary artery aneurysm due to severe congenital pulmonic stenosis. Angiology May 1994;45:5;383–389.
  4. Shankarappa R K, et al. Giant pulmonary artery aneurysm secondary to primary pulmonary hypertension. Texas Heart Institute Journal 2010;37:2;244–245.
  5. Shafiq A, Bokhari A, Nahin I, et al. Extreme dilation of pulmonary artery: a literature review. BMJ Case Rep 2014 casereports.bmj.com/content/2014/bcr-2013-202223.full.
  6. Shindo T, et al. Aneurysmal dilatation of the pulmonary trunk with mild pulmonic stenosis. Internal Medicine1995;34:199–202.


Article citation: Schwalk A, Berdine G. Pulmonary artery aneurysm secondary to congenital pulmonic valve stenosis. Southwest Respiratory and Critical Care chronicles 2017;5(21):32–35
From: Department of Internal Medicine, Texas Tech University Health Sciences Center, Lubbock, Texas
Submitted: 9/19/2017
Accepted: 10/11/2017
Reviewer: Cynthia Jumper MD
Conflicts of interest: none